2021年12月22日,四川大学华西医院心脏内科陈茂、冯沅教授联合心脏外科蒙炜教授、麻醉科朱涛、陈果教授等组成的多学科团队完成了HighLife TSMVR技术的亚洲首例临床应用。手术过程顺利,人工瓣膜植入位置理想,术后即刻二尖瓣返流完全消失,无左室流出道梗阻,患者恢复良好。该例手术亦是亚洲地区开展的首例经房间隔二尖瓣置换术!
经导管二尖瓣置换是近年来结构性心脏病介入治疗领域中备受关注的热点话题,早期探索性研究已证明了该技术的安全性和可行性。相比于经导管二尖瓣修复,其具有独特的先天优势:能覆盖更多二尖瓣返流解剖类型,能更大程度减少甚至完全消除返流,治疗效果耐久性能被可靠地预测。相比于传统外科开胸手术,其创伤小,适合更多老年或高危人群。
然而,经导管二尖瓣置换面临诸多技术难题,例如二尖瓣解剖复杂性与异质性所带来的入路挑战、人工瓣膜锚定和密封困境、左室流出道梗阻风险等。现有经导管二尖瓣置换系统大多数是基于经心尖入路设计和/或主要依靠径向支撑力锚定或密封人工瓣膜,但经心尖入路因其创伤程度相对较大可能减少患者获益,径向支撑力锚定或密封机制可能使得人工瓣膜尺寸设计得较大,导致器械输送困难和潜在影响远期心肌逆重构。
患者基线资料
该例患者为74岁女性,因劳力性呼吸困难就诊,近期反复发作急性左心衰竭住院治疗,并伴有持续性房颤、高血压、糖尿病等疾病。超声心动图评估提示二尖瓣中重度返流、轻中度主动脉瓣返流与轻度三尖瓣返流,LVEDD 52mm,LVESD 40mm,LVEF 47%。二尖瓣返流机制为Carpentier I+IIIa型,有效返流口面积为0.31cm2,返流量47mL,瓣口面积为3.7cm2。因考虑外科手术风险高危,同时由于二尖瓣瓣口面积较小不适宜经导管二尖瓣缘对缘修复术,多学科团队讨论后决定使用Peijia HighLife TSMVR系统行经房间隔二尖瓣置换术。
术前筹备
手术策略
术前,陈茂教授带领团队基于详尽的CT评估测量,判断评估患者术中风险并选择适合的手术策略。通过CT影像分割三维二尖瓣瓣环、测量其径线、计算二维投影径线并模拟植入HighLife TSMVR瓣膜,判断人工瓣膜与毗邻组织贴靠位置良好且无左室流出道梗阻风险。但该例患者二尖瓣装置结构较为特殊,存在风湿性病变所致腱索增粗、短缩、融合,为导丝成环步骤带来挑战,术中输送器需要始终保持合适深度,且导丝成环过程中需始终保持高位(靠近二尖瓣环底部位置)环绕腱索形成通路,以避免植入固定环时位置靠下导致瓣膜释放时移位。
手术过程
该例手术过程得到Nicolo Piazza教授团队的在线远程支持,与陈茂教授团队共同为手术保驾护航。
手术采用左侧股动脉入路与右侧股静脉入路,由股动脉入路将环形放置导管送至术前评估深度,在高位开始导丝成环步骤。多学科团队紧密协作,在术前规划的DSA投射体位和梁玉佳、魏薪医师的超声引导配合下,术者精细操控,导丝顺利按预期路径环绕腱索,仔细评估完成导丝成环这一关键的手术步骤,过程顺利,建立固定环植入的重要轨道。



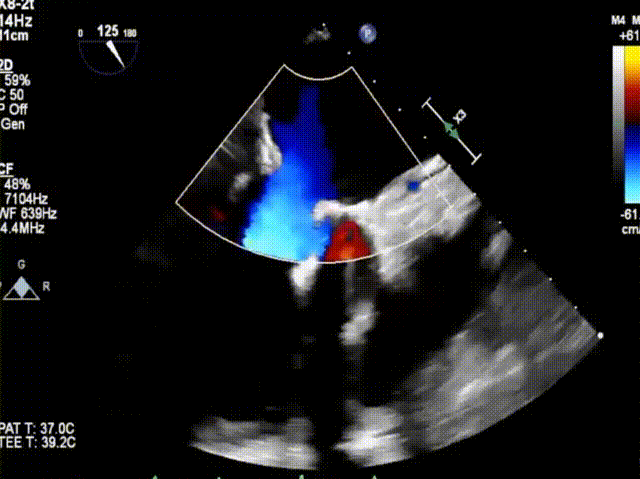
瓣膜释放流入端
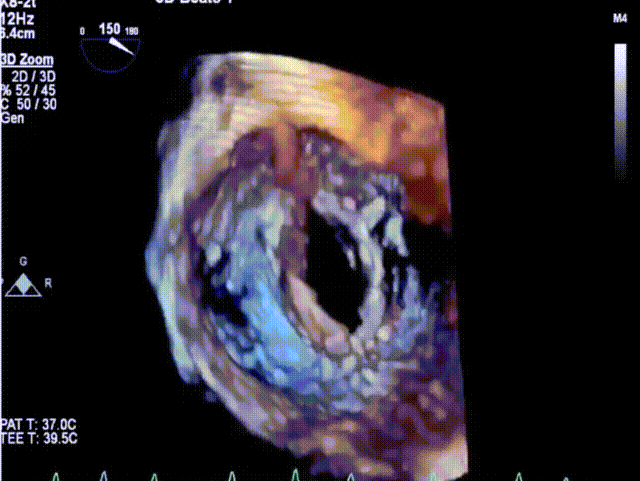
瓣膜最终形态
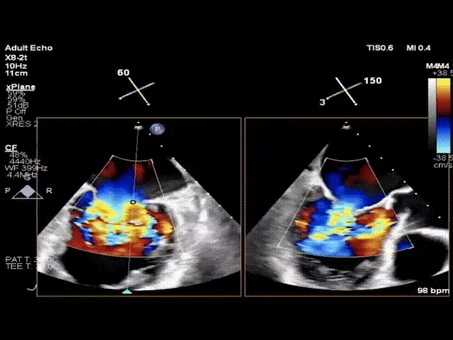
术后即刻超声评估
术后评价
未来的展望
专家简介
陈茂
四川大学华西医院
四川大学华西医院心内科主任,教授、博士研究生导师,国家“万人计划”科技创新领军人才、四川省卫生健康首席专家、四川省卫生计生领军人才、四川省卫生厅学术技术带头人、四川省卫生厅“有突出贡献中青年专家”以及首届“国之名医”荣誉称号获得者。FCSC,FACC,FESC,中华医学会心血管病分会常委,中国医师协会心血管内科医师分会常委,中华医学会心血管病分会结构心脏病学组组长,中国医疗保健国际交流促进会心血管健康医学分会副主任委员,四川省国际医学促进会副会长,四川省医学会心血管病专委会前任及候任主任委员,长城国际心脏病学组委员会县域心血管医师联盟副理事长。PCR—CIT China Chengdu Valves会议、中国中西部心血管病会议执行主席,London Valves会议、Tokyo Valves会议联合国际主席,ESC、PCR、TCT、CSI等会议的专家会员。
研究方向:经导管心脏瓣膜病介入治疗相关基础、应用基础及临床研究。
研究成果发表在European Heart Journal、Nature Review of Cardiology、Radiology、JACC: Cardiovascular Interventions等国际高水平学术期刊上,现以第一作者或通讯作者发表SCI论文148篇。主持国家十三五、十二五、国家自然科学基金等国家级、省部级科研项目多项。获四川省科技进步一等奖、中华医学科技二等奖、四川省医学科技一等奖、四川省科学技术进步二等奖等奖项。主刀完成我国西部地区第一例经导管主动脉瓣置换术(TAVR),TAVR完成例数居全国领先水平。在全国率先开展经导管二尖瓣、三尖瓣及肺动脉瓣介入治疗,完成例数居全国前列。
冯沅
四川大学华西医院
主任医师,研究生导师,华西医院先心病亚专业组长,一级专家,中华医学会心血管病分会结构性心脏病学组委员,中国医师协会结构性心脏病学组委员,中华医学会儿科学心血管学组新生儿心脏协作组副组长,中华医学会心血管病分会第10届委员会肺血管病学组委员,四川省心脏瓣膜联盟副主任委员,亚洲心脏瓣膜病学会中国分会心脏瓣膜病介入治疗技术学术委员会常委。临床经验丰富,诊疗技术水平突出,擅长结构性心脏病(先心病、瓣膜病、肺血管病、肺动脉高压)介入诊疗。领先开展多项新技术和挑战、危重症介入手术,高质量完成从新生儿到超高龄患者的各种心脏、肺血管介入手术6000台。发表SCI文章38篇(IF180+),受邀在国内外数十家著名心脏中心指导开展结构性心脏病介入手术。获得2019年四川省科技进步一等奖。
2020年12月,沛嘉医疗与法国HighLife SAS公司签署关于HighLife TSMVR技术的技术转让许可协议,授权沛嘉医疗在大中华区生产、开发和销售该产品。在协议签署后的一年内, 沛嘉医疗即实现Highlife产品的技术转移、生产并交付Highlife产品支持临床试验的开展,体现出沛嘉医疗的技术与运营实力。至善尽心, 敬畏生命。

