近些年来随着TAVR循证医学的发展以及国内器械的研发上市,TAVR在世界范围内被越来越多地应用于微创治疗严重主动脉瓣狭窄,俨然颠覆了主动脉瓣膜疾病的诊疗模式,但国内TAVR的治疗仍处于发展阶段,国内患者的病情也与国外不同,这都给国内TAVR的开展带来了诸多挑战。
近期武汉大学中南医院心脏中心结构性心脏病团队成功应用TaurusElite挑战多例如了75°横位心、Type 0型二叶瓣、大瓣环、重度反流等特点的高难度TAVR手术,再次阐释了武汉大学中南医院心脏中心团队精湛的技艺和团队配合。
01
慎终如始,从容面对临床挑战
对于每一例TAVR手术来说,需要从解剖要点、手术策略、并发症预防等多个方面进行考量,根据患者特点制定个体化的手术方案,从而保障TAVR的安全性和有效性,改善患者的远期预后。
Case One
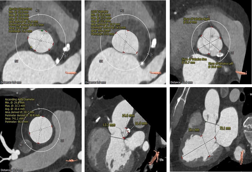
患者71岁男性,入院心脏彩超提示:主动脉瓣钙化、重度主动脉瓣狭窄并重度关闭不全、升主动脉扩张,EF(Simpson法) 32%。
CT显示Type0型二叶瓣,瓣叶中重度钙化伴增厚粘连,存在人工瓣膜形变、瓣环撕裂及根部损伤风险;大瓣环、钙化分布不均匀及瓣口形态限制,人工瓣膜锚定难度较高,瓣周漏风险高,存在瓣中瓣风险。严重横位心(75°),输送系统过弓、跨瓣难度较高。
对于此例病人,严重横位心75°,器械需要出色的柔顺性与通过性在手术过程不损伤血管;瓣膜需要良好的径向支撑力,避免出现下滑的风险。在武汉大学中南医院心脏中心结构性心脏病团队通力协作下,顺利完成此例高难度手术,术中评估TaurusElite AV29mm瓣膜锚定良好,术后造影结果显示瓣膜形态、位置良好,仅少量瓣周漏。手术即刻超声测量,主动脉瓣工作良好,瓣口流速从术前的5.2m/s改善为1.8m/s,跨瓣压差从术前的106mmHg改善为8mmHg。

23mm球囊预扩

TaurusElite顺利过弓与跨瓣


瓣膜释放脱钩
即时心脏彩超评估

术后造影评估
Case Two
男性,80岁。既往有冠状动脉粥样硬化型心脏病、陈旧性心肌梗死、冠状动脉支架植入后状态、高血压病3级(极高危),2型糖尿病病史,有腹主动脉支架、髂总动脉支架植入术既往手术史。
术前分析:超声报告LA35mm,LV48mm,EF(Simpson法) 27%,心尖部室壁瘤形成。主动脉瓣反流流速Vmax 1.2m/s,主动脉瓣退行性病变并重度关闭不全。CT分析,瓣叶基本无钙化,人工瓣膜瓣存在移位风险,左冠开口高度稍偏低,瓣叶稍偏长,结合瓣叶长度、瓦式窦内径及形态结构综合分析,左冠开口存在堵塞风险。患者横位心,增加术中输送器跨瓣难度。结合超声LA、LV评估术中循环崩溃风险较高,术中严密关注血流动力学变化。
重度反流病人手术难点在于瓣膜需要足够的锚定力避免移位风险,另外可回收的功能可以帮助术中在尝试释放后瓣膜位置不理想情况下能完全回收,调整手术策略。术前手术团队对患者进行了全面细致的评估,考虑到患者主动脉瓣瓣叶基本无钙化,人工瓣膜瓣环上下锚定力较弱,存在向下深度位移风险,术前做好锚定区域评估,确定释放高度。
在导丝跨瓣及调整角度过程中,患者出现急性左心衰,TEE观察到患者二尖瓣由术前轻度反流变为重度反流,心电监护提示ST段明显下移,血压下降至不足60mmHg、心率明显加快至130次/分,血氧饱和度下降至88%。考虑出现急性左心衰、循环崩溃,立即将输送系统快速过弓、跨瓣,精准定位后予以快速释放AV31瓣膜脱钩。

主动脉根部造影

精准定位

多角度观察瓣膜位置及形态

瓣膜快速释放脱钩
瓣膜快速释放到位后TEE观察患者二尖瓣反流明显减少,左心室收缩功能得到改善,心电监护提示ST段逐渐恢复至正常,心率下降至80次/分,血氧饱和度升至98%,血压逐渐上升到正常,血流动力学趋于稳定。造影观察瓣膜形态、位置良好,无瓣周漏。术后当天拔除气管插管,第二天患者即可下床活动。
术中TEE观察患者重度二尖瓣反流
瓣膜释放后二尖瓣反流明显减少

释放后即刻评估

观察20min后再评估
02
积跬致远,规范化操作保障疗效
临床需综合每位患者的具体病情,从术前分析、手术策略制定、团队配合、器械的选择等多方面来制定个性化的手术方案,挑战复杂病例。
武汉大学中南医院心脏中心结构性心脏病团队通过团队通力协作、丰富的手术技巧、规范化操作保障手术的成功与患者的疗效,目前院内多例重度反流患者也均采用一个瓣膜完成手术,未出现瓣膜移位、瓣中瓣等情况。武汉大学中南医院心脏中心结构性心脏病团队也分享了他们在术中挑战复杂病例的经验。
首先,瓣膜尺寸选择。瓣膜尺寸的选择是TAVR手术成功的关键因素。例如大部分二叶瓣狭窄表现为瓣叶+瓣环的“火山口”立体结构,因此需要综合考虑主动脉瓣瓣环和瓣环上结构进行TAVR瓣膜尺寸的选择。不论是基于环上结构进行瓣膜选择的策略,还是基于球囊扩张制定瓣膜尺寸,均倾向于Downsize策略,选择更小型号的瓣膜进行植入。鉴于反流患者增加瓣膜锚定的难度,反流患者的瓣膜选择也需要慎重,需要术前根据整个锚定区解剖来评估瓣膜尺寸的选择,避免瓣膜移位影响其他解剖结构。
其次,术中投照角度选择。合适的投照度能够帮助临床将3维结构2维化,获得更好的观察角度。二叶瓣患者TAVR术中需要选择双窦展开的体位,这个角度下边能够更好的在DSA上看到两个窦的展开情况以及瓣膜的贴合情况。对于反流的患者,我们更加关注植入过程深度的变化,故采用Cusp Overlapping技术。手术过程中为保障瓣膜精准的定位,术中我们会先释放到输送器胶囊与瓣架底端齐平的位置再造影判断其与窦底位置,进而慢慢释放让瓣膜与组织贴靠,提供锚定力后再快速释放到工作位,进而多体位造影+超声评估,如果不合适再回收进一步调整。
最后,器械的选择与使用。器械的设计需要符合临床的需求,才能保证手术的安全与疗效,对于TAVR术中瓣膜的设计主要包括以下三方面:1、瓣膜设计同时具有较强的径向支撑力和顺应性,保证瓣膜的锚定力,如在反流患者的治疗中,锚定力就显得尤为重要,此外可以应对高钙化、二叶瓣等病变挑战,获得良好的植入形态,提高瓣膜的耐久性。2、输送性能,TAVR器械顺利通过血管路径完成跨瓣瓣膜成功植入的前提。国内二叶瓣患者比例高,二叶瓣患者常常合并横位心、升主动脉扩张等情况,只有良好的柔顺性与通过性,才能保证器械就完成了过弓、跨瓣操作,而不造成血管并发症。3、回收功能。临床复杂的解剖往往增加术中释放瓣膜的难度。有了多次原位回收、回收后可重新跨瓣等设计特点,可以改善瓣膜释放策略,让术者更有信心,降低手术风险,从而让患者得到更好的预后。
03
张弛有度,多学科协同
一台手术的成功,是整个心脏中心团队,包括心外、心内、超声影像、麻醉等,通力合作的成果。
2021的ESC/EACTS指南将心脏团队和瓣膜中心作为首要问题及共性问题来阐述,并将瓣膜中心的作用及病人的全临床周期处理进行整合和梳理,建立了以病人为中心的干预评价模式。
武汉大学中南医院心脏中心结构性心脏病团队自创建伊始就本着“规范化和流程化”的管理模式,对手术的各个环节进行严格的把控和风险管理,涵盖从患者筛选开始、术前心脏瓣膜团队共同讨论,制定手术方案,包括入路、球囊及瓣膜选择、紧急情况的预案等。尤其是术前讨论需对整个手术过程进行预演,对整台手术流程、风险点等了然于胸,术中不需要过多言语讨论,简洁有限的言语沟通即可紧密快速的配合。此外,术后定期进行讨论,复盘手术、总结经验和教训。
04
瓣随心声,多模态影像学
超声是术者的第三双眼,可快速、及时评判,增加了手术的信心,优化手术效果,最终使得患者得到良好的预后。
2021的ESC/EACTS指南结构性心脏病团队应该有多模态成像包括超声心动图、CCT、CMR和核医学,以及监测引导外科和介入治疗方面的专业知识。这一直以来也是武汉大学中南医院心脏中心团队的特色。
武汉大学中南医院心脏超声科主任王斌谈到“随着结构性心脏病来说介入治疗的快速发展,心血管疾病的治疗趋向于微创化或无创化,越微创、越无创对影像技术就更加依赖,而心脏超声是结构性心脏病诊疗过程中不可或缺的重要组成部分。”
目前中南医院TAVR术中多模态影像技术协同指导,术中“超声语言”与“DSA语言”协同,及“以解剖为中心”和“以影像为中心”两种语言的统一(例如超声常用三腔心切面对应为DSA下的RAO+CAU投照角度),可在手术过程中可快速、及时评判并发症、导丝导管的位置等;帮助假体瓣膜更快更直接的定位;术中即刻评估,协助医生快速判断植入的效果,如瓣膜的植入深度与毗邻组织的关系,瓣膜的形态、瓣周漏评估等。
专家简介
刘金平
武汉大学中南医院
擅长瓣膜微创及介入修复/置换、冠心病微创及不停跳搭桥、心肺衰竭及心肺移植、先心病、大血管疾病
张刚成
武汉大学中南医院
擅长先天性心脏病介入诊断及治疗、肺动脉高压的诊断和介入治疗,心源性卒中的临床研究及介入治疗,心脏瓣膜病的介入治疗及围手术期期处理
鲁志兵
武汉大学中南医院
擅长射频消融术、起搏器安置术、冠脉介入术。尤其是慢性闭塞病变、左主干病变及扭曲复杂病变介入治疗、外周血管介入术、先天性心脏病封堵术
王斌
武汉大学中南医院
擅长各种超声引导下结构性心脏病的介入治疗,全球首位开展经鼻咽食道超声引导左心耳封堵,国内最早开展超声引导下TPVR,TAVR,TTVR、TMVR、LAAC及超声引导下房间隔分流器植入术



