近日,江南大学附属医院心血管内科在南京市第一医院心内科张俊杰教授团队指导下为一例84岁危重病人的主动脉瓣狭窄低体重患者(40kg)实施了经导管主动脉瓣置换术(TAVR)。
此次手术得到了医院领导、超声医学科、麻醉科、介入放射科、血管外科及医务科等科室的大力支持。手术的成功,也代表着无锡市在心脏病瓣膜介入治疗领域,全面迈入电动可回收新时代。
病史简介
患者
女,84岁。
主诉
近三年胸闷气喘反复发作,近日因突发急性左心衰入院。入院诊断为缺血性心肌病、重度主动脉瓣狭窄,心超提示左室壁明显增大。
结合患者高龄、合并症较多、且心功能较差的问题,因此判断不能耐受传统的开胸手术。心血管内科王晓彦团队进行多次讨论,在与家属充分沟通后决定尽快行TAVR手术。
术前检查
心脏彩超
峰值流速:5.3M/s;
最高跨瓣压差;118mmHg;
平均跨瓣压差:61mmHg;
左室射血分数EF值: 0.62;
左室舒张末期内径(LVD):41mm;
主动脉瓣评估:主动脉瓣中重度狭窄并轻度反流,二尖瓣反流、三尖瓣反流,心包积液。
主动脉CT
手术治疗策略
术前讨论
手术团队术前总结了该病例特点:
该患者瓣环与水平成角常规;
瓣环周长:62.8mm;
流出道直径:19mm;
左侧冠脉开口较低;
左右无冠窦较宽;
窦管结合部直径26.2mm及高度17.66mm。
建议20mm球囊,TAV21瓣膜,备TAV24瓣膜。左冠高度7.7mm,开口高度低,瓣叶长,窦宽小,右无有钙化粘连,左冠风险高。右冠高度12.2mm,开口高度低,瓣叶长,窦宽小,右冠风险高。建议双侧冠脉保护及球扩评估。
策略制定
监护麻醉,经右侧股动脉放置VitaFlow Liberty™电动可回收输送系统,通过预塑形加硬导丝输送TAVR系统,临时起搏选用20mm球囊扩张,TAV21瓣膜植入。
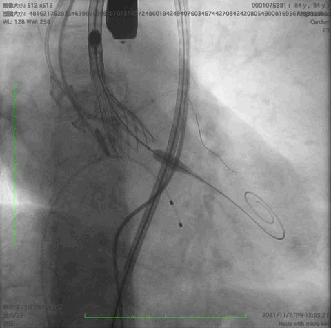
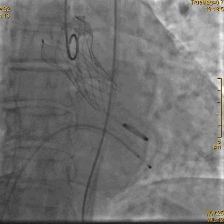
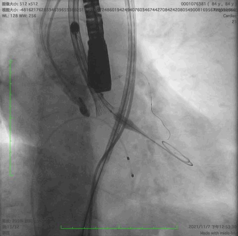
术中操作
主动脉根部造影,冠脉开口保护
释放到1/3处造影
释放到回收极限造影
瓣膜完全释放后造影,形态良好,无瓣周漏
结语
此次江南大学附属医院牵手南京第一人民医院张俊杰主任团队成功开展TAVR手术,也是无锡市首例可回收瓣膜的TAVR植入。这既标志着这项国际领先的尖端技术在江南大学附属医院的正式启动,也代表着无锡市及辖区内更多患者在“家门口”即可享受这项突破性的医疗新技术所带来的福音。
VitaFlow Liberty™是目前全球唯一一款商业化的电动可回收TAVR系统,其创新性的电动输送系统,在实现稳定精准释放回收的同时,也为术者提供了更好的操控体验;另外VitaFlow Liberty™是目前国内商业化输送系统中唯一可实现瓣膜段360度弯曲功能的输送系统。其较好的柔顺性可有效减少对血管损伤的风险。VitaFlow Liberty™继承了心通医疗第一代TAVR产品- VitaFlow®的混合密度支架结构,继续使用具有更好耐久性的牛心包做为瓣叶材料,且其合理的双层裙边设计能更大范围有效封堵瓣周漏。
专家简介
王晓彦
博士、主任医师、心内科、胸痛中心、功能科主任,兼支部书记,教授,硕士生导师。
美国心血管造影结合介入学会(SCAI)委员
中华医学会心电生理和起搏分会电生理中青年分会委员
中国中药协会心血管药物研究专业委员会委员
江苏省医学会心血管病分会女性心脏病心血管病学组委员
江苏省医师协会心脏重症专业委员会委员
江苏省中医药学会高血压分会常务委员
江苏省康复医学会心血管分会委员
无锡市起搏电生理分会副主任委员
无锡医学会脑心同治专业委员会冠脉组副组长
无锡医师协会心血管分会会长
国家基本医疗保险药品目录调整遴选专家
江苏省医保局耗材和药品评标专家
中国心血管健康联盟江苏省心力衰竭分会培训专家
无锡市医疗事故鉴定专家库成员
江苏省工伤社保鉴定专家库成员
江苏省特药专家
《United Journal of Cardiology and Cardiovascular Medicine》的编委
陈翀昊
主任医师,从事心血管内科工作20余年
主任医师,从事心血管内科工作20余年,擅长冠心病、心脏瓣膜病等疾病的诊断治疗,以及心血管危重症的抢救。在冠心病介入治疗,特别是左主干病变、分叉病变、慢性闭塞病变(CTO)积累丰富的经验,熟练应用冠脉内旋磨、IVUS、OCT、FFR、IABP等技术。参与DK Ⅴ、DEFINITION-Ⅱ、ULTIMATE TRIAL、IVUS-ACS & ULTIMATE-DAPT 等多中心临床研究。发表SCI、北大核心、统计源论文共10余篇。主持无锡市适宜技术推广项目一项。江苏省中医药学会心系疾病专业委员会委员。

