2021年12月4日,由安康市中心医院心脏中心主办、沛嘉医疗协办的第一届“大师面对面·汉江论道”结构性心脏病介入诊疗论坛成功召开,与会现场座无虚席,授课专家们为全市各级医院心脏中心医生讲述经导管主动脉瓣置换术(TAVR)的临床进展,将主动脉瓣狭窄的TAVR治疗方案带入了汉水之滨。会议结束后,由沈桂冬主任领衔的心脏中心团队,在与会嘉宾的见证下,完成了安康市首台TAVR手术,成功救治一位高龄主动脉瓣狭窄患者,本次手术使用的沛嘉医疗第二代可回收经导管主动脉瓣系统TaurusElite,可靠稳定的多次回收功能为手术保驾护航,最终植入深度完美,术后即刻跨瓣压差趋近正常,血流动力学改善明显。
大师面对面·汉江论道
▼▼▼
近年来介入治疗技术飞速发展,安康市中心医院积极革新,先后成功创建了国家级胸痛中心、心衰中心、房颤中心、心脏康复中心和高血压防治中心,率先成为陕西省地级市PCI年均过千例的医院。受客观经济条件,地域条件及技术推广诸多因素限制,在全国范围内TAVR手术也鲜有地级市医院开展。但TAVR的发展已是大势所趋,更小的创伤、更快的恢复,为广大不能耐受外科手术换瓣的患者带来了生存的希望,也给不愿接受外科手术的患者新的选择。沈桂冬主任勇攀高峰,2017年在意大利锡耶纳大学附属医院学习TAVR手术,2020年作为中组部“西部之光”访问学者,在中科院阜外医院师从吴永健教授,学习瓣膜病介入手术,并积极将所学所得分享给全市心脏中心医生,传播心脏瓣膜病介入治疗的理念,汉江论道由此拉开了序幕。
会议现场,首先由沈桂冬主任致开场辞,介绍了近年来结构性心脏病,尤其是瓣膜病介入治疗的进展,肯定了器械进步对瓣膜病治疗带来的可能性,前景广阔。同时也为与会嘉宾介绍开展首台TAVR所需的准备工作。
以TAVR治疗的适应症精析为题,沈主任分享了主动脉瓣狭窄疾病的相关病理成因,诊断及治疗方式。并详细讲述了TAVR治疗主动脉瓣狭窄的发展历程及适应症变迁。结合国内外TAVR发展趋势及流行病学调查数据,沈主任认为,即使是基层医院,也并不会离TAVR太遥远,我们需要时刻对新技术、新器械保持关注,适时的引入新的技术为患者获益。
大会还邀请了国内专家,讲述了主动脉瓣疾病的治疗、麻醉方案评估、中国瓣膜病诊疗展望等课题。最后,由沛嘉医疗的工程师分享了TAVR手术前超声、CT等影像学评估的相关内容,加深了大家对主动脉瓣疾病诊断的认识。
首例TAVR全纪实
▼▼▼
患者基本信息:
患者为73岁男性,主诉胸闷气短10余年,加重2月,诊断重度主动脉瓣狭窄,有房颤史。
术前超声诊断:瓣口最大流速Vmax = 4.17m/s ,平均跨瓣压差69 mmHg ,EF值 56%。伴有主动脉瓣、二尖瓣中量反流。
术前CT评估:

主动脉根部总览
外周入路
主动脉根部:
三叶式主动脉瓣,重度钙化
冠脉测量:
主动脉弓部测量:
主动脉弓部宽度、角度可
外周入路评估:
外周血管内径可,走行适宜,穿刺点无钙化
术前讨论:
三叶瓣,瓣叶增厚,重度钙化沿瓣叶边缘向窦内分布,瓣膜锚定难度适中,瓣膜移位风险适中,存在瓣周漏风险。
冠脉开口高度可,左窦瓣叶长于左冠开口下缘,结合瓦氏窦、STJ内径综合预估,存在一定阻挡风险,术中结合球扩进一步评估,必要时冠脉保护。
瓣环正位水平夹角58度,升主动脉走行自然,弓部宽度角度适宜,预计输送器可顺利过弓、跨瓣。
外周入路走行及内径可,双髂总附近少量散在钙化,入路穿刺规范操作,小心通过,避免入路血管损伤及相关并发症。
手术策略:
右侧股动脉为主入路,左侧为辅助入路。
推荐22mm球囊预扩,预装AV29瓣膜,可备选22mm球囊预扩,预装AV26瓣膜以降低冠脉风险。
手术影像:
冠脉造影
导丝跨瓣

22mm球囊预扩

瓣膜过弓、跨瓣
瓣膜定位

第一次释放

第一次完全回收

第二次释放至工作位

第二次部分回收

第三次释放至工作位

工作位造影

瓣膜完全释放
植入后评估:

植入后造影

退大鞘造影
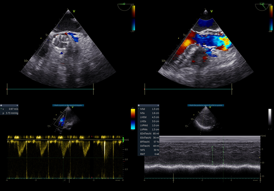
超声评估:
超声评估血流动力学改善明显
跨瓣压差:
手术合影:
这是安康一个划时代的手术,尤其是在安康没有心脏外科的现状,大量的心脏瓣膜病人转到外院开刀手术只要器械跟上,所有的心脏瓣膜手术都可以介入治疗。未来我们团队在结构性心脏病领域,紧跟瓣膜病介入发展的步伐,加强人才培养和学科建设,针对人才的特长和兴趣,在瓣膜病术中操作,术前影像评估,超声筛查,麻醉配合,把人才送出去培训,做到人尽其用,最后“请进来”,邀请国内在结构性心脏病知名专家来院指导,打造一个安康市结构性心脏病治疗团队,结合当地患者瓣膜病特点,建立我们自己的瓣膜病数据库,在未来希望建立一个以疾病为单元的专业心血管病医院,比如结构性心脏病单元,心外科医生,心内科医生,影像,超声医生在一个团队,加强合作效率,共同优化手术策略,让广大的结构性心脏病患者在家门口解决问题。
专家简介
沈桂冬
安康市中心医院
心血管内科主任,博士,主任医师,硕士生导师,胸痛中心认证专家,中国基层胸痛中心常务委员,中国医学救援协会心血管急救分会理事,陕西省医师协会心血管分会冠心病学组副组长,陕西省心脏康复中心联盟副主任委员,国务院特殊政府津贴专家。曾在意大利锡耶纳大学附属医院研修学习,中组部西部之光访问学者等。2016年率先在安康地区构建安康市胸痛中心联盟,陕西省首家地市级国家级胸痛中心,降低了安康地区危重心血管疾病患者的死亡率;推动了安康地区心血管诊治技术的发展。
