2021年11月25日,广西国际壮医医院心病科徐先增教授团队,在医院麻醉科、超声科等多学科的共同协助配合下,使用VitaFlow Liberty™电动可回收输送系统为一例主动脉瓣瓣叶增厚并重度狭窄的患者成功实施了经导管主动脉瓣置换术(TAVR),手术顺利完成,治疗效果显著,保障了患者的远期预后。此次TAVR手术的成功开展,标志着广西国际壮医医院心病科团队主动脉瓣微创诊疗技术进入一个崭新的阶段,全面迈入TAVR电动可回收新时代。
病史简介
患者
男,68岁。
主诉
老年退行性瓣膜病,重度主动脉瓣狭窄,心功能2级,高血压病3级,2型糖尿病。反复胸痛3个月,加重12小时入院。
术前检查
心脏彩超
左室射血分数EF值:68%;
左室舒张末期内径(LVD):47mm;
主动脉瓣评估:重度狭窄并轻度关闭不全。
主动脉CT

瓣环平均直径:22.9mm
左室流出道平均直径:23.2mm
瓦士窦大小
横位心:50度
主动脉弓部角度平缓
入路条件尚可
手术治疗策略
术前讨论
徐先增教授团队术前总结了该病例特点:
此例患者为三叶瓣重度狭窄,瓣叶钙化重度,瓣叶增厚,对称,冠脉高度尚可,术者团队评估后认为术中左冠存在一定冠脉风险,球囊预扩时特别注意左冠冠脉阻塞风险,必要时采取冠脉保护措施;同时,因为瓣环瓣叶增厚,瓣膜定位释放后有移位下滑的风险,这使得瓣膜的精准定位和释放极为关键。经过反复评估和研讨后,考虑国内首创的电动可回收输送系统, 以及VitaFlow Liberty™瓣膜的“真”裙边及瓣膜腰部高密度网孔设计的特点,能提供足够的径向支撑力进行锚定的同时可以很好的减少瓣周漏,输送系统的可回收功能让术者可以尝试更好的释放位置,有更可控,安全,精确的手术体验。
策略制定
右侧股动脉入路(穿刺选择股骨头中上1/3或中点),22mm球囊预扩张,植入VitaFlow®24瓣膜。
术中操作
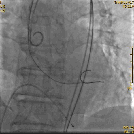
球囊预扩确认冠脉风险
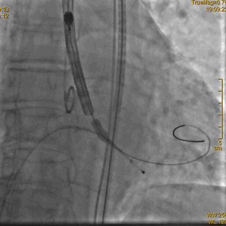
瓣膜定位

瓣膜释放过程
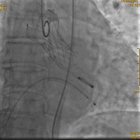
瓣膜完全释放后造影,形态良好,无周漏
结语
主动脉重度狭窄行经股动脉的TAVR手术是外科手术禁忌或高危患者的一种手术治疗选择,在多学科协作下,广西国际壮医医院心病科徐先增教授团队完成VitaFlow Liberty™主动脉瓣置换。两个小时紧张有序的操作,术中在第一次瓣膜定位释放移位后,借助VitaFlow Liberty™的电动可回收技术,瓣膜第二次精准定位植入,术后造影检查和心脏彩超评估瓣膜形态活动良好,零压差,无瓣周漏。手术取得圆满成功,患者心功能改善显著。
中国TAVR发展之路历经十载,如今已迎来全盛时代。广西国际壮医医院TAVR团队在徐先增主任带领下锐意进取,开展了多项高精尖新技术,如各种快速心律失常的射频消融,主动脉和外周血管介入治疗,先天性心脏病介入封堵术,挽救了大量危重患者的生命。此手术的成功开展将进一步提高手术的安全性和有效性,广西国际壮医医院TAVR团队技术不断精进成熟,为更多心脏瓣膜疾病患者带来福音。
VitaFlow Liberty™是目前全球唯一一款商业化的电动可回收TAVR系统,其创新性的电动输送系统,在实现稳定精准释放回收的同时,也为术者提供了更好的操控体验;另外VitaFlow Liberty™是目前国内商业化输送系统中唯一可实现瓣膜段360度弯曲功能的输送系统。其较好的柔顺性可有效减少对血管损伤的风险。VitaFlow Liberty™继承了心通医疗第一代TAVR产品- VitaFlow®的混合密度支架结构,继续使用具有更好耐久性的牛心包做为瓣叶材料,且其合理的双层裙边设计能更大范围有效封堵瓣周漏。
专家简介

徐先增
主任医师,博士,留德学者,广西国际壮医医院心病科主任
广西中西医结合心血管介入委员会常务委员,广西医师协会生命支持学会常务委员。曾到北京安贞医院、阜外医院、德国明斯特大学附属医院进修心脏介入和心脏重症。发表专业论文20篇,自治区厅级课题2项;拥有国家实用新型专利1项。从业心血管内科20余年,擅长复杂冠心病介入、永久起搏器安装、射频消融等各项心血管介入技术,熟练掌握IABP、ECMO等心血管支持方法,擅长各种心血管急危重症的救治。

许北柱
副主任医师,博士
长期从事心血管疾病临床诊疗工作,擅长先天性心脏病、冠心病的介入治疗。

李健
副主任医师,医学硕士
广西中西医结合心血管分会委员;广西医师协会中医心血管分会委员。在核心及国家级刊物上发表13篇论文,主持厅级课题1项。擅长冠脉造影术及冠脉支架植入术。

姜益宏
副主任医师,在读博士
广西中西结合心血管病专业委员会委员、广西中西结合学会脑心同治专业委员会委员。曾在北京大学国际医院进修心病科和冠脉介入。擅长冠脉介入治疗及心血管疾病的中西医结合治疗。