2021年11月26日,首都医科大学附属北京安贞医院周玉杰教授团队顺利完成由沛嘉医疗自主研发的TaurusNXT“非醛交联”经导管主动脉瓣系统(干瓣预装载)华北地区首例临床试验。患者为85岁高龄低体重女性,重度主动脉瓣狭窄伴重度关闭不全,既往COPD病史,血氧分压低至66mmHg,并伴有慢性肾功能不全、贫血与甲状腺功能减低,STS评分高达15.746%,属于外科极高危手术,且患者解剖结构复杂,横位心,小心室,血管入路条件差,手术难度极大。手术由首都医科大学附属北京安贞医院周玉杰教授、史冬梅教授、王志坚教授、郭永和教授,北京积水潭医院刘巍教授及于一、贾硕、程宇婧、廖文军医生组成的心内科团队,来永强教授、于建波教授、朱恩军教授组成的心外科团队,超声心动科张纯主任,谢萌医生,影像科徐磊主任,麻醉科王成彬教授,以及手术室、导管室、体外循环科等组成的TAVR心脏瓣膜团队共同完成。
患者信息
患者为85岁女性,两年前发现主动脉瓣中度狭窄,中度反流,予以药物保守治疗,近1个月活动耐力明显下降,步行不足50米即出现明显气短,超声心动图提示主动脉瓣重度狭窄并伴重度关闭不全、峰值流速 5.0m/s、最大跨瓣压差100mmHg,平均跨瓣压差 59mmHg、有效瓣口面积 0.40cm²;左房增大,左室肥厚;二尖瓣中度反流、三尖瓣轻度反流;LVEDd:42mm,LVEF:60%,左室舒张功能减低。术前冠状动脉造影提示回旋支远端局限性狭窄70%,左主干、前降支及右冠状动脉无明显狭窄。
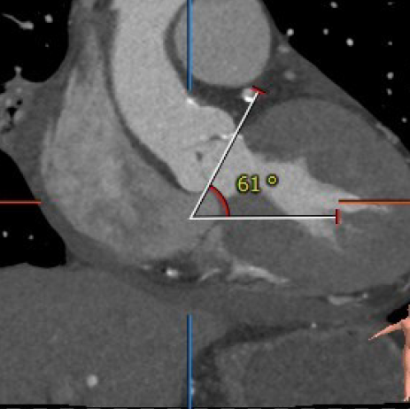
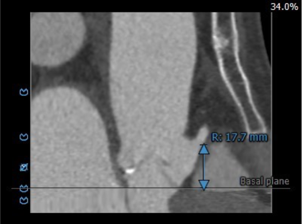
主动脉根部评估
CT 数据显示该患者为三叶式主动脉瓣
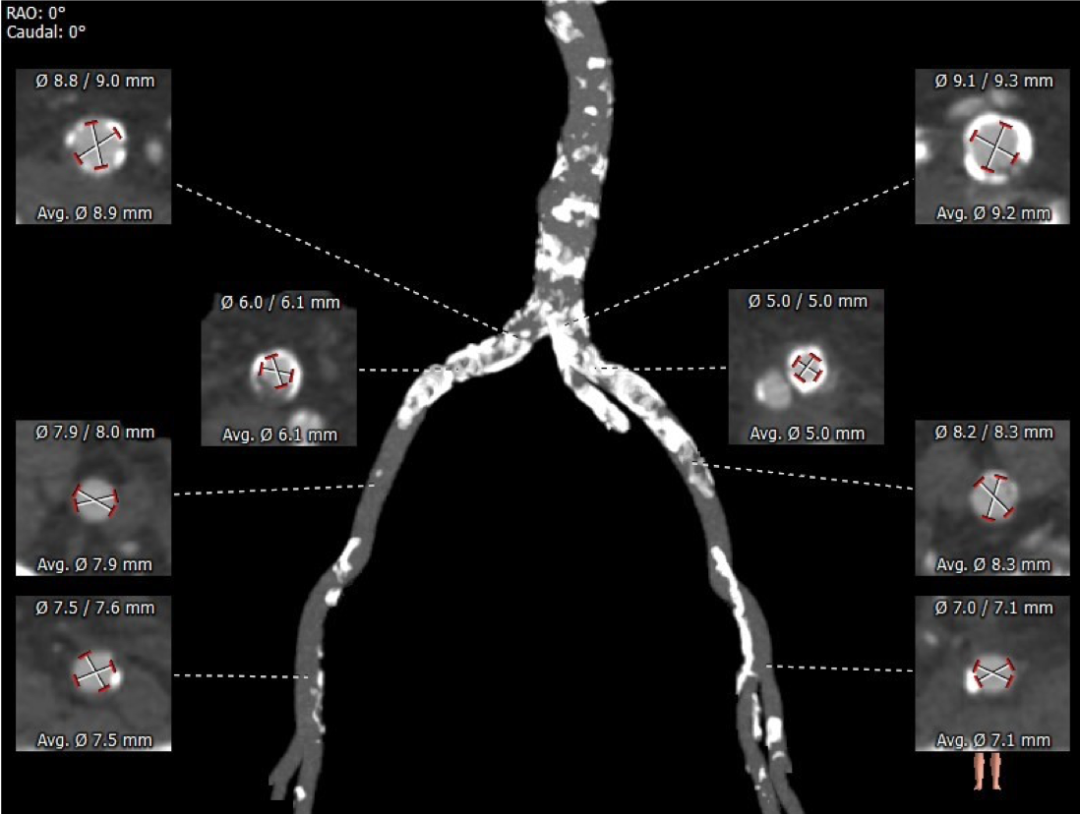
血管外周入路评估
腹主下段、双髂总附近多发钙化,部分截段钙化呈环状分布,血管内径受限,双侧股动脉穿刺点周围少量附壁钙化。
评估与讨论
首都医科大学附属北京安贞医院周玉杰教授TAVR团队术前对该病例进行了周密严谨的分析讨论。周玉杰教授强调:该患者有高龄、低体重、COPD、低血氧症、贫血、甲状腺功能减低,慢性肾功能不全等多个不利于手术和术后恢复的临床因素,因此必须充分预估手术风险,做好充足预案,确保手术安全顺利完成。针对患者的一系列困难点,TAVR团队制定了如下手术策略:
1. 针对贫血问题,术中采取股动脉穿刺预埋缝合,尽可能减少出血,避免贫血加重;
2. 针对COPD,低氧血症问题,采用局麻,鼻导管吸氧,减少全麻对呼吸系统的影响;
3. 针对慢性肾功能不全问题,术前充分水化,术中减少造影剂用量,避免肾功能恶化及造影剂肾病;
4. 针对甲状腺功能减低可能对心律影响问题,术中采用cusp overlap view和coplanar view联合定位瓣膜,避免瓣膜植入过深造成传导阻滞。
5. 针对双侧髂动脉环形钙化问题,术中输送20F大鞘时需格外小心,在透视下轻柔操作,避免损伤外周血管;
6. 针对小左室问题,术前充分扩容,术中使用20mm小球囊扩张,提前预装瓣膜,备体外循环,防止术中球囊扩张及瓣膜植入后出现“自杀左室”,循环崩溃;
7. 针对横位心问题,采用沛嘉三代瓣膜,干瓣预装瓣膜,过弯能力强,同时术中输送球囊及瓣膜时需轻柔操作,确保导丝和器械的同轴性。
综合上述情况,拟从右侧股动脉穿刺入路,采用20mm球囊进行预扩张,优先准备TaurusNXT AV23预装载系统(备AV26)。
TaurusNXT植入过程
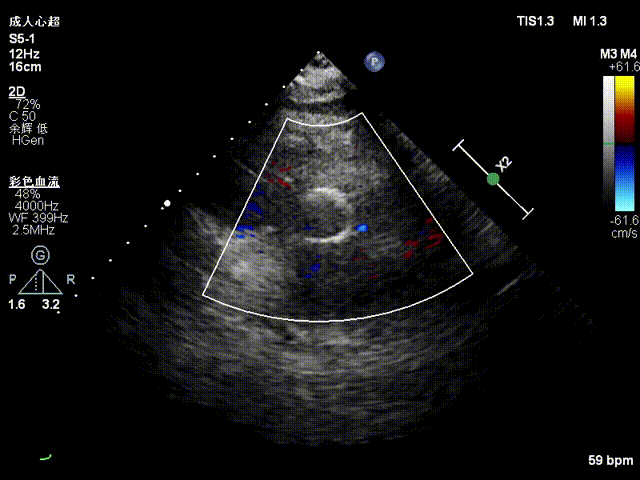
手术采用20mm Z-Med II球囊进行预扩张,植入AV23 TaurusNXT主动脉瓣。在左右重合位影像(cusp overlap view)下释放瓣膜达到工作位,造影显示锚定位置理想,快速释放到回收极限位后在右窦中心位(coplanar view)下再次确认植入位置,同时超声评价瓣膜位置及血流动力学情况,确认无误后精准缓慢释放瓣膜。术后即刻超声心动图评估显示瓣膜位置良好,无瓣周漏,主动脉狭窄及反流均完全解除,主动脉瓣口峰值流速为1.89m/s,平均跨瓣压差为8mmHg,有效瓣口面积为2.01cm²,血流动力学指标理想,未再进行球囊后扩张,整个手术时间仅耗时1小时。
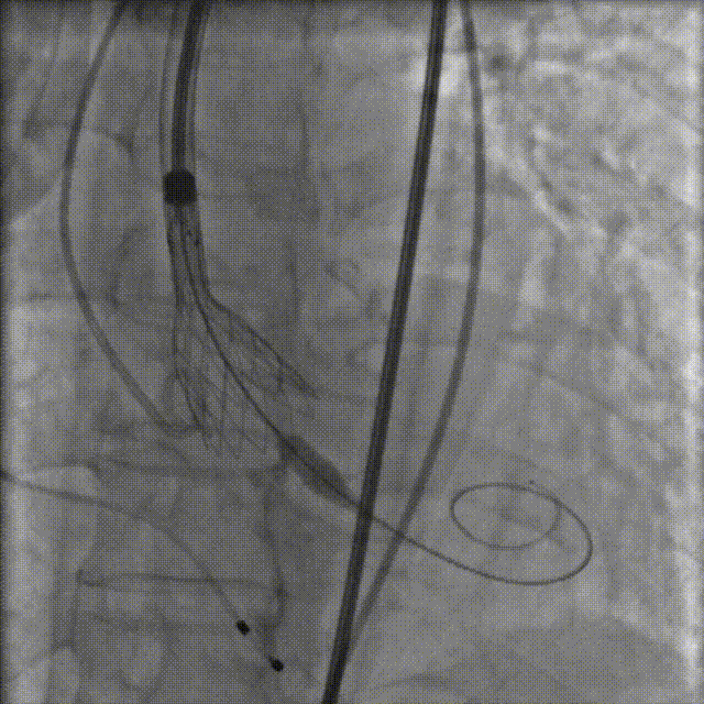
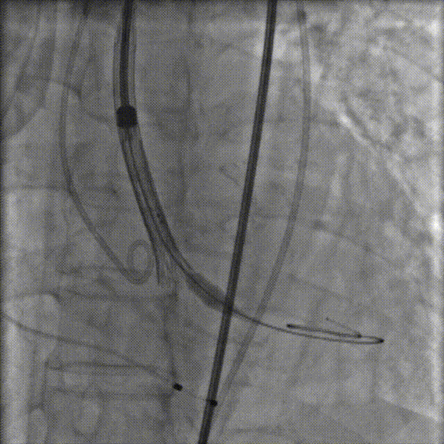
术中影像
主动脉根部造影

球囊预扩张
瓣膜开始释放
工作位造影
瓣膜稳定释放

释放后造影
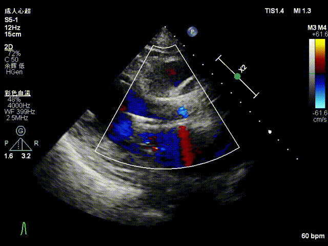
超声影像
血流动力学改善,瓣膜形态良好,无瓣周漏。
首都医科大学附属北京安贞医院老年心血管病中心由多学科管理团队组建,推行协同诊疗模式,实施心脏膜病的规范诊疗和长期管理,以最大程度提高心脏端股病患者的生存率和生活质量。本例患者术前经过影像科徐磊主任团队及心脏超声科张纯主任团队的精准评估和诊断,针对患者临床和解剖结构的诸多不利因素,周玉杰教授团队为患者制定了周全的手术方案。最终,周玉杰教授TAVR团队克服重重困难,成功为患者植入TaurusNXT AV23mm主动脉瓣膜,术后主动脉瓣口最大流速由5.0m/s下降至1.89m/s,最大压差由100mmHg下降至13mmHg,平均压差由59mmHg下降至8mmHg,无瓣周漏,并且同时解决了主动脉瓣重度反流。围术期患者心率血压平稳,心律为窦性心律,未发生任何传导阻滞,双侧股动脉缝合良好,各穿刺点无渗血,患者于术后第2天顺利出院。出院时,周玉杰院长亲自为患者制定出院诊疗计划,为患者送上暖心的关怀,带来了“心”希望。
沛嘉自创立之初即潜心研究瓣叶处理技术,历经多年终实现技术的革命性突破。TaurusNXT经导管主动脉瓣系统,是沛嘉医疗第三代介入牛心包瓣膜,是全球首次将“非醛交联”瓣叶生物处理技术和超低温真空冻干处理技术应用于经导管主动脉瓣系统并顺利进入人体临床试验。和醛基封闭或醛基清洗技术不同,非醛瓣叶生物处理技术避免戊二醛处理瓣叶而残留的醛基所诱发的组织钙化,从机制上消除钙化的主要风险,并且应用全新的复合交联、除原体细胞、抗降解性能、病毒去活等技术,以期带来更优越的耐久性和更好的生物相容性。超低温真空冻干的瓣叶干式处理,完整保持瓣叶物理性能,同时实现瓣膜系统的预装载,减少植入前准备时间。TaurusNXT优化支架结构和输送系统,在瓣膜锚定、封堵、瓣口面积等血流动力学改善以及术者操控性等方面均有进一步的提升。