2021年11月21日,定西市人民医院心脏中心周杰尚副院长、杨陇权主任团队,在兰州大学第一医院心脏中心白明教授团队的指导下,完成了甘肃省地市级医院首台经导管主动脉瓣植入术(TAVR)手术,成功救治一位Type 0型重度主动脉瓣狭患者,开创了甘肃省地市级医院TAVR手术的先河。同时也是甘肃、青海、宁夏、新疆四省份首家开展TAVR技术的地市级医院。
从“0”到“1”,最有意义的突破
▼▼▼
万丈高楼平地起,从“0”到“1”的数字距离虽短,却是一种从无到有的突破,一种锤炼自我的升华。经导管主动脉瓣植入术,简称TAVR,是微创介入的主动脉瓣的替换,免除开刀痛苦,恢复心脏功能,使患者重获新生。TAVR的出现,为不能耐受外科换瓣手术的患者提供了救治的可能,更小的损伤,更快的恢复。2002年全世界首例TAVR人体应用,2010年中国首例TAVR落户上海,由于进口器械的限制,发展很慢。2017年随着国产TAVR器械相继上市,TAVR已成为结构性心脏病领域的热点。近几年的飞速发展,涌现出一批颇具实力的TAVR中心,但由于地域所限,甘肃省内仅兰州大学第一医院心脏中心结构性心脏病团队可以全天候常规开展TAVR及急诊TAVR救治患者。
定西市人民医院心脏中心紧跟学科发展步伐,先后在地区内开展PCI、起搏、先天性心脏病介入等多项心脏介入技术,惠及全市患者。面对TAVR呈燎原之势的发展,市医院心脏中心团队把握机遇,积极组建涵盖了心内科、胸外科、超声科、影像科、麻醉科、导管室、监护室等多个学科的Heart Team,在国家级团队的指导下积极进行培训。天道酬勤,2021年11月21日,克服重重困难后,周杰尚副院长、杨陇权主任等完成了甘肃地市级医院首台TAVR手术,在白明教授所领衔的结构性心脏病团队的指导下,应用沛嘉医疗二代可回收Taurus Elite产品,手术顺利成功。该手术的完成标志着定西市人民医院瓣膜病介入诊疗技术迈上新台阶。同时也对全省各市医院产生积极影响,TAVR手术—离我们并不遥远。
本次手术使用的TaurusElite是沛嘉医疗自主研发的第二代可回收经导管主动脉瓣置换系统,可多次回收定位,缩短术者学习曲线,有效保障手术安全。同时沛嘉医疗也协助医院探索构建区域瓣膜病诊疗合作模式,积极协调区域内优质的医疗教学资源,帮扶市级医院开展结构心新业务,让医疗科技的发展更快的惠及大众,守护心脏健康。
首例TAVR全纪实
▼▼▼
患者基本信息:
患者为64岁男性,主诉间断胸痛,气短2月余,加重1周。
超声诊断:主动脉瓣叶为二叶式畸形,左右排列,瓣叶增厚,启闭不良,左房内径增大。诊断为主动脉瓣重度狭窄合并轻度关闭不全,Vmax =4.92m/s,PGmean =62mmHg,EF 54%。
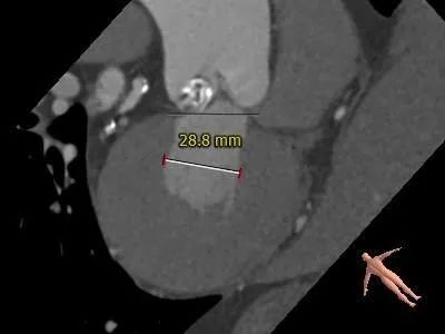
术前CT评估:
根部测量:
冠脉高度:
冠脉开口高度可,未见冗长瓣叶
左室测量:
左室心肌肥厚
入路及弓部:
术前讨论:
风险提示:
Type 0 型二叶瓣,重度钙化,两窦对合边缘附近钙化,左窦内可见明显钙化团块,瓣膜锚定难度适中,瓣膜植入受钙化及二叶瓣瓣口形态影响存在少量偏多
瓣周漏风险,瓣膜移位风险增高
冠脉开口高度可,未见冗长瓣叶,结合瓦氏窦、STJ内径综合预估,冠脉风险低
非横位心,主动脉弓宽度角度可,预估输送器可顺利过弓跨瓣
收缩期小左室,建议术中密切关注容量及循环情况
手术策略:
推荐右侧股动脉为主入路,左侧为辅助入路
推荐20mm球囊预扩,预装AV23瓣膜,推荐瓣环下零位释放
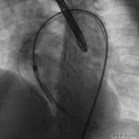
手术影像:

导丝跨瓣

主动脉根部造影
冠脉造影
球囊预扩

术后评估:


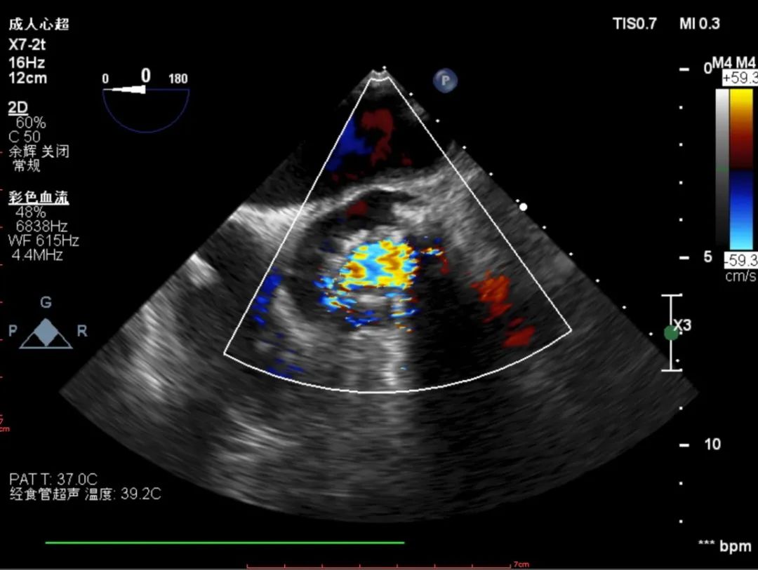
彩超评估:
超声下观察瓣膜展开形态可,血流动力学改善明显
跨瓣压差:
术前跨瓣压差126mmHg,植入后跨瓣压差12mmHg
术者寄语:
科技的进步会带动医疗的进步,我院心脏中心始终保持着对前沿医疗技术的关注。近年来结构性心脏病介入治疗发展迅猛,我院也先后引进了一些介入领域的前沿治疗方式。此次得到一个合适的契机,成功开展了首台TAVR手术,是我们中心的又一重大突破,也希望此项技术为更多患者带来治愈的希望。
寻求突破,恰逢春风夏雨,未来可期
▼▼▼
专家简介
白明
兰州大学第一医院
主任医师,医学博士,教授,硕士生导师,兰州大学第一医院副院长;甘肃省医学会心血管病专业委员会主任委员;甘肃省心血管疾病重点实验室主任;甘肃省心血管介入专业质控中心主任;甘肃省领军人才;甘肃省卫生健康行业骨干人才;中国医师协会心律学专业委员会委员;中国医师协会胸痛专业委员会委员;中国胸痛中心认证专家;国家卫健委冠心病、心律失常及先心病介入培训基地导师。
周杰尚
定西市人民医院
硕士学位,心血管内科主任医师,定西市人民医院副院长,心脏中心主任。中国医师协会心血管内科分会委员,中国医促会高血压分会委员,甘肃省心脏电生理与起搏分会常务委员,甘肃省医师协会心血管重症专业委员会常务委员,定西市心血管专业委员会副主任委员,甘肃省首届“中国医师节”优秀医师,定西市科技领军人才。擅长冠心病、急性心肌梗死、心力衰竭、心律失常、高血压病、肺栓塞等疾病的诊断及治疗,在定西市率先独立开展了永久性心脏起搏器植入术、冠状动脉支架植入术、射频消融术、先心病封堵术等一系列新业务新技术。主持完成省市级科研项目5项,发表专业论文14篇。

