2021年11月17日上午,上海交通大学医学院附属新华医院梅举教授团队,成功应用新一代可回收瓣膜系统TaurusElite为一位重度主动脉瓣狭窄患者完成了TAVR手术。这是TaurusElite上市以来在上海交通大学医学院附属新华医院的首次植入。此次接受手术的患者,长期受主动脉瓣狭窄困扰,根部钙化集中,瓣膜释放过程具有一定挑战性。此次患者慕名来到上海市新华医院,手术当日梅举教授带领手术团队紧密配合,在TaurusElite可回收功能的保驾护航下,实现瓣膜精确定位释放,手术顺利完成,术后患者血流动力学指标及症状明显改善,为患者带来更多的临床获益!
患者基本信息:
患者为66岁老年男性,主因“反复胸闷、咳嗽1月余”入院。患者入院前1月余无明显诱因下出现胸闷、咳嗽、咳嗽无明显规律,伴有咳脓痰,休息后症状未见明显缓解,无胸背痛,肩背部放射痛腹痛等不适,遂自行前来上海市新华医院就诊。行相关辅助检查后,超声提示“左室明显增大、左房增大;瓣上最大流速539cm/s,峰值跨瓣压差116mmHg,平均压差约65mmHg,LVEFF 39.5%”。
主动脉根部评估:

CT数据显示该患者为重度钙化的三叶式主动脉瓣,钙化分布集中于瓣叶边缘。
左冠开口高度12.1mm,右冠开口高度16.5mm,左侧冠脉预估存在一定遮挡风险;心室壁可见明显增厚。
外周血管及主动脉弓解剖:
病例特点:
该患者为一例重度AS患者。
①患者主动脉根部重度钙化,钙化灶分布集中,瓣膜位移风险较大。
②患者左室流出道周径较大,瓣膜释放后存在一定位移风险。
③患者瓣环水平夹角较大,近横位心,输送器过弓存在一定难度。
手术策略讨论:
上海交通大学医学院附属新华医院梅举主任团队以及护理团队、麻醉科、超声科等多学科进行充分术前讨论分析。
①患者为三叶式主动脉瓣,瓣环周径较大,左室流出道周径接近100mm,瓣膜锚定存在一定难度。
②患者瓣上限制性结构集中,须结合术中球扩谨慎选择瓣膜型号,降低因瓣膜压缩导致的位移风险。
③患者近横位心,术中应加以snare辅助输送器过弓。
手术过程回顾:
1.经右侧颈静脉留置临时起搏电极;切开左侧股动脉为辅入路,切开右侧侧股动脉为主入路;
2.主动脉根部造影,瓣上钙化清晰,未见明显反流影;
3.直头导丝跨瓣,通过交换导丝将猪尾导管引入左室,测得跨瓣压差约60mmHg;
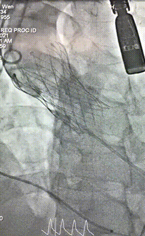
4.180次/分快速起搏下以25mm TaurusAtlas球囊进行预扩张,扩张同时造影无明显腰征,无造影剂渗漏,双侧冠脉显影清晰;

5.根据术前评估及球囊预扩情况,选择31mm沛嘉TaurusElite瓣膜进行植入;

7.瓣膜形态良好,未见明显形态改变,遂予以完全释放;
8.即时超声评估提示存在少量瓣周漏,峰值跨瓣压差约10mmHg经术中讨论认为瓣上限制性结构压缩为瓣周漏主因,遂予以球囊后扩;
9.后扩完毕,造影示微量瓣周漏,瓣膜形态良好,手术圆满成功!
术后讨论:
本病例难点主要是在于术中的释放控制,但主要工作应是术前的对患者主动脉根部的整体评估、预估。
在术前评估阶段,梅举主任带领团队认真分析病例特点,明确患者钙化集中于瓣叶交界处,呈纵向延伸性分布,对瓣膜的限制性主要集中于瓣环上6mm-8mm左右。根据以往经验,手术团队认为,此种钙化可提供较大锚定力,但易对瓣膜产生压缩性形态改变,影像最终手术效果。同时,由于患者瓣环及左室流出道周径较大,左室流出道呈正梯形,假体瓣膜向下位移风险较高,术中定位释放存在一定难度。
通过术前缜密分析,梅举主任带领手术团队制作了周密的手术预案,并初步决定以25mm球囊进行预扩,以31mm沛嘉TaurusElite瓣膜植入,为之后手术的顺利开展打下坚实基础。手术当日,梅举主任、汤敏副主任等专家通力合作,顺利完成手术。依照既定策略选用25mm TaurusAtlas球囊预扩后,造影见瓣上限制结构处明显腰征,瓣环平面未见球囊压缩及造影剂渗漏,明确了31mm TaurusElite瓣膜的选择。瓣膜过弓、释放过程相当顺利,TaurusElite输送器大手柄具有的良好操作性,帮助术者进行了精确的释放定位。基于术者娴熟的操作,瓣膜一次性定位释放成功。释放完成后,即时超声评估提示少量瓣周漏,术者团队当即决定行球囊后扩,为患者谋求更大获益。后扩完成时,假体瓣瓣周漏显著减少,跨瓣压差稳定在6mmHg,宣告手术成功完成。
这一例高度集中性钙化主动脉瓣狭窄患者TAVR手术的成功,离不开梅举主任率领的上海交通大学附属新华医院TAVR团队长期积累的经验与技术。手术团队在术前的缜密分析讨论,术中为增加患者获益而进行的各项决策,无不彰显了上海交通大学附属新华医院“扶危度厄责无旁贷”的院训,体现了手术团队以患者为本,为患者谋福利的初心。
术者介绍:
梅举
上海交通大学医学院附属新华医院
主任医师,教授,心胸外科行政主任,国家临床重点专科--心脏大血管外科主任。医学博士,博士研究生导师和博士后工作站导师。
享受国务院特殊津贴。擅长心脏瓣膜手术,冠状动脉搭桥术,胸部大血管瘤手术及复杂先心病手术。从事心胸血管外科专业临床工作30年,在心血管疾病的诊治方面具有十分丰富的经验。在国际上首先成功地开展了改良全腔静脉-肺动脉连接术治疗复杂先心病,在国内率先提出风心病合并巨大左室的概念及手术指征、围术期处理措施,显著地提高了危重心脏瓣膜病的外科治疗效果。是国内最早开展微创冠状动脉搭桥术、微创心脏瓣膜手术和胸部大血管Hybrid手术的专家之一。近年来在国际上创新性开展了全胸腔镜超微创外科治疗房颤的手术术式,微创二尖瓣手术同期消融钳治疗合并房颤的术式,两项技术均取得了优良的效果。至今已完成各类心脏瓣膜手术、冠脉搭桥术(微创和常规搭桥)、胸部大血管瘤手术及先心病手术10000余例,手术成功率达成98%以上,治疗效果达国内领先水平。外科手术治疗肺部及食管肿瘤2000余例,效果良好。
1984年毕业于第四军医大学军医系本科,1987年获第二军医大学硕士学位,1994年获第二军医大学博士学位。1995年晋升为副教授,2000年任教授。2002年获解放军总后勤部“科技新星”称号。2003年赴澳大利亚悉尼大学RPA医院进修心血管外科。2009年美国马萨诸塞州立大学心血管中心高级访问学者。上海市优秀学科带头人(2013),中国医师协会心血管外科医师奖(金刀奖)获得者(2013),上海市医务工会职工科技“创新之星”称号(2014)。现任上海市心脏大血管外科专业委员会副主任委员,中华医学会心胸血管外科分会全国委员,中国医师协会心血管外科医师分会常委;中国医师协会心血管外科医师分会瓣膜委员会副主任委员、介入委员会、公益志愿者工作委员会副主任委员;中华医学会会员,国际心血管外科协会亚洲分会会员。《中国体外循环杂志》、《中国心血管病研究》杂志编委,《中华全科医师杂志》、《中华外科杂志》特约编委。获得国家自然基金、上海市科委重点研究项目20余项,发表论文300余篇,主编或参编著作8本。曾获国家科技进步二、三等奖各1项,军队科技进步一等奖1项,已培养博士、硕士40余名。
汤敏
上海交通大学医学院附属新华医院
医学博士,副主任医师,研究生导师 擅长:不停跳冠状动脉搭桥手术及微创冠状动脉搭桥手术,心血管疾病的微创杂交治疗:经导管主动脉瓣置换术,先天性心脏病、大血管疾病的介入及杂交治疗, 心脏起搏器植入及心脏再同步化治疗心功能衰竭。

