2021年11月14 日,云南省第一人民医院张宏、庞明杰团队成功完成了TaurusElite®经导管主动脉瓣系统上市后云南省的首次植入,本例手术主动脉根部解剖复杂,外周血管扭曲偏细,二叶式畸形瓣叶并重度偏心钙化及大角度横位心等特点大大增加了本次手术的难度。术前和广东省人民医院李捷团队探讨和研究手术策略。术中使用的TaurusElite®精进的柔顺性协助术者顺利跨瓣使假体瓣膜一步到位,成功释放。患者植入人工瓣膜后主动脉瓣压差迅速从132mmHg降至10mmHg,血流动力学的得到明显改善,为患者带来更长久生存期受益和更高生活质量。
患者基本信息:
患者为64岁女性,因“劳力性呼吸困难两年,加重一月余”入院。超声提示:主动脉瓣重度狭窄,二尖瓣重度反流,三尖瓣轻-中度反流,峰值速度4.73m/s,压差89mmHg,EF:32%。
术前评估:
病例特点:
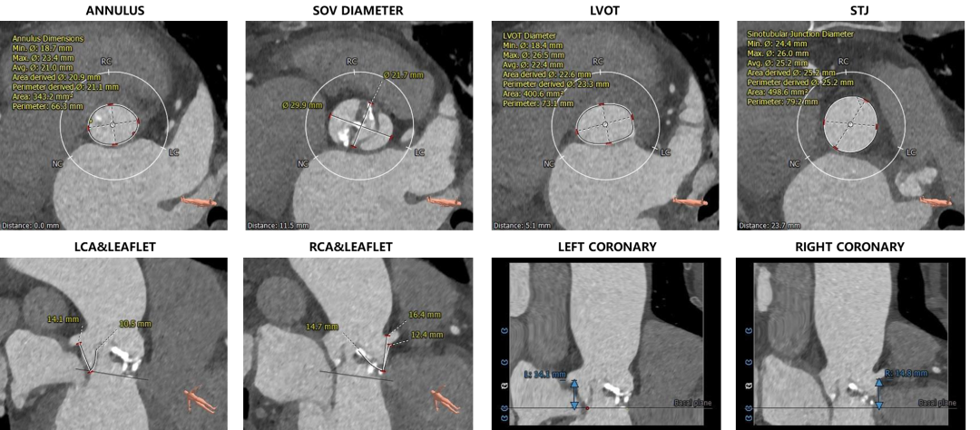
主动脉根部评估:

根部概览
瓣上评估
外周血管及主动脉弓解剖:

外周血管概览
手术策略讨论:
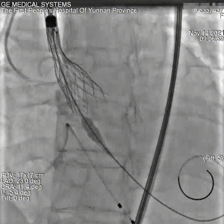
手术过程概览:
主动脉根部造影

18mm球囊预扩
瓣膜定位
瓣膜释放
术后造影
术后即刻评估:
术后压差从132mmHg降至10mmHg无瓣周漏,瓣膜正常工作,血流动力学即刻得到改善。
张宏主任寄语:
希望TAVR团队再接再厉,不断学习精进,秉承敬佑生命,包容合作精神,为更多患者提供优质服务,取得更大进步。
专家简介
张宏
云南省第一人民医院
主任医师,教授、博导、昆明理工大学硕士生导师,大理学院硕士生导师,现任云南省第一人民医院心血管内科行政主任。擅长冠心病(各种心绞痛,心肌梗死)的规范化诊治;冠心病的球囊扩张及支架植入治疗。中华医学会心血管病分会第八届全国青年委员,中华医学会心血管病分会第九届先心组委员,云南省医师协会心血管分会主任委员,云南省医学会心血管分会副主任委员,云南省医学会电生理起搏分会委员,云南省有突出贡献的优秀专业技术人才。常年参与或主持心血管病理学和介入治疗技术研究,共8项科技成果获云南省科技颈部三等奖,参与主持云南省科技厅重大项目一项、国际多中心在研项目一项、“十二五”重大科研2项、全国多中心大型临床研究2项。
庞明杰
云南省第一人民医院
主任医师,昆明理工大学硕士生导师。擅长冠心病、心肌病、疑难心力衰竭、高血压的诊治及冠状动脉介入治疗。云南省医学学科带头人,云南省中年学术和技术带头人后备人才,教育部学位中心通讯评审专家,欧洲心脏学会会员,云南省中西医结合学会心血管病专委会副主委,介入心脏病专委会副主委,科技厅和昆明市科技专家库专家。9项科研成果获得云南省政府和卫生厅科技进步二等奖和三等奖,两个课题获得国家自然基金资助,5项获省基金资助。在《中国循环》、《中国心血管病杂志》等中文核心上发表论文三十余篇,SCI论文十篇,主编和参编论著6部。

