2021年11月6日,陆军特色医学中心大坪医院胡义杰主任团队成功完成了TaurusElite®经导管主动脉瓣系统上市后的首次植入。术中胡义杰主任团队成功为一例高难度二叶瓣主动脉瓣钙化不均匀患者进行了经导管主动脉瓣置换。该病例极具特点,患者为先天性的二叶式主动脉瓣畸形并且伴有不均匀钙化,本身手术难度较大对手术术者及假体瓣膜都有着较高要求,术中使用了TaurusElite®的可回收功能进行了瓣膜的再次精确定位,为手术远期效果及成功率提供了保障。患者植入人工瓣膜后瓣膜工作正常稳定,均未出现并发症,术后即刻患者血流动力学得到了显著改善,为患者带来更长久生存期受益和更高生活质量。
患者基本信息:
患者为79岁女性,胸闷憋气多年。主动脉瓣钙化、重度狭窄,二尖瓣重度反流,三尖瓣轻度反流,左室舒张功能减退。经术前超声心动图诊断,主动脉瓣前向血流速度5.9m/s,峰值压差90mmHg。
术前评估:
1.主动脉瓣瓣环周长69.0mm,平均周长径22.0mm。
2.Type0型二叶式主动脉瓣,左右冠不同窦,重度钙化,钙化分布欠均匀,右冠瓣尤甚,主要分布于瓣叶边缘及管壁附着缘,瓣叶增生肥厚。
3.左右冠开口高度较高,未见明显钙化,右冠瓣叶长度>右冠开口到右冠瓣叶附着缘距离。
4.瓦氏窦内径尚可,窦管交界内径可,升主动脉无扩张,LVOT内径大于瓣环,呈火山口状。
5.左室腔内径可,心室壁不厚。主动脉瓣环与水平面夹角54°,主动脉弓部夹角与弓距可。
6.双侧髂动脉未见明显钙化及扭曲,双侧股动脉穿刺区域未见钙化斑块,主动脉弓少许钙化,双侧血管内径可。
病例特点:
该病人为一例典型Type0型二叶式主动脉瓣重度狭窄患者,结合瓣叶及瓣叶钙化情况,人工瓣膜定位及锚定难度大。
1.重度钙化,存在人工瓣膜形变、瓣环撕裂及根部损伤风险;瓣膜锚定难度适中,因钙化斑块限制,存在假体瓣膜向下移位风险,少量或少量偏多瓣周漏可能。
2.冠脉开口高度较高,综合瓣叶长度、瓦氏窦内径等因素考虑,预估冠脉堵塞风险较低。
3.水平夹角,弓距和弓部夹角可,输送系统可顺利过弓、跨瓣。
4.双侧入路血管条件良好,入路穿刺规范操作,避免出现入路血管相关并发症。
主动脉根部评估:

根部概览

左室
瓣环上解剖结构评估
外周血管及主动脉弓解剖:
手术策略讨论:
1.推荐右侧股动脉为主入路,左侧辅助入路,推荐20F血管鞘
2.根据当前影像资料及测量数据,推荐跨瓣角度为LAO 20° CAU22°(双窦展开)左右
3.推荐选择18mm球囊预扩张,推荐球囊预扩角度为LAO 20° CAU22°(双窦展开)左右,推荐预装AV23瓣膜
4.瓣膜释放角度为LAO 20° CAU22°(双窦展开)左右,释放高度推荐瓣环下0--2mm左右。释放后建议调整至足位(RAO 15° CRA28° )进一步确定人工瓣膜形态。上述角度仅供参考,因体位变化及心动周期等原因,术中实际角度会存在偏差,具体情况由手术实际进行选择
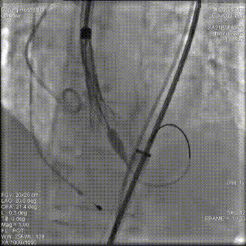
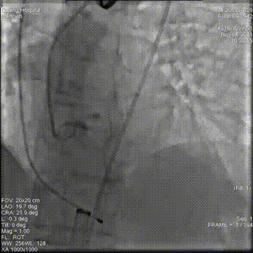
手术过程概览:
主动脉根部造影
18mm球囊预扩
第一次释放,位置过高回收定位
第二次释放,位置过低再回收释放
第三次瓣膜释放定位
23mm瓣膜释放中
20mm球囊后扩前造影
术后造影
术后即刻评估:
术后压差14mmHg,钙化一侧微量反流,瓣膜正常工作,血流动力学即刻得到改善。
胡义杰主任寄语:
专家简介
胡义杰
陆军特色医学中心(大坪医院)
陆军特色医学中心(大坪医院)心脏血管外科主任,副主任医师、副教授,加拿大多伦多大学博士后、德国柏林心脏中心访问学者,国家微创心血管外科专业委员会委员、重庆市医学会胸心外科专业委员会委员。长期从事心脏血管疾病微创治疗,主攻方向为心脏瓣膜疾病的经导管介入治疗,以及机器人、胸腔镜和各类微创小切口的治疗。先后主持和参与国家自然科学基金等项目10余项。以第一(或通讯)作者在《American Journal of Respiratory and Critical Care Medicine》、《Chest》、《Journal of Thoracic and Cardiovascular Surgery》、《Annals of Thoracic Surgery》等心胸血管外科专业学术期刊上发表学术论文20余篇,其中SCI论文20篇,单篇最高影响因子16。获军队科技进步三等奖1项;获陆军军医大学临床新技术一级乙等1项、二级甲等1项、二级乙等1项。授权国家发明专利1项,国家实用新型专利2项。入选陆军军医大学“苗圃工程”、“优秀青年人才库”,荣立个人三等功一次。
心脏瓣膜疾病专病门诊:大坪医院心脏血管外科门诊10诊室
专病门诊时间:星期三(上午08:00-12:00;下午13:00-17:00)
大坪医院地址:重庆市渝中区长江支路10号
