2021年10月30日上午,蚌埠市第二人民医院副院长、心内科主任商卓博士带领医院结构性心脏病团队,与上海十院心胸外科主任臧旺福教授团队合作,应用VitaFlow Liberty™经导管主动脉瓣膜可回收置换系统成功完成一例Type0型二叶瓣主动脉狭窄病例,帮助一位高龄高危的重度主动脉瓣狭窄患者,重获“心”生,免受“开胸之苦”。目前该患者已经康复出院,随访良好,无传导阻滞。
病史简介
患者
男,73岁。
主诉
有活动后胸闷、气短症状10余年,既往检查提示主动脉瓣狭窄,曾辗转多家医院就诊,均建议外科开胸换瓣手术。
患者及家属因担心开胸手术创伤大、恢复时间长,一直拒绝外科手术。近2年来,上述不适逐渐加重,出现房性心律失常,发作时胸痛明显,要求住院进一步治疗。
术前检查
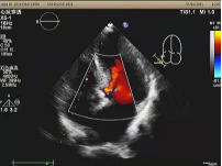
心脏彩超
峰值流速度:415 cm/s;
最高跨瓣压差:69 mmHg;
平均跨瓣压差:42 mmHg;
左室射血分数EF值:55%;
左室舒张末期内径(LVD):56 mm;
主动脉瓣评估:主动脉瓣严重钙化,主动脉瓣二叶瓣畸形,主动脉重度狭窄伴关闭不全。
主动脉CT
手术治疗策略
术前讨论
患者双侧股动脉入路条件良好,整体无迂曲。Type0型二叶瓣,瓣叶增厚钙化,瓣环周长85.8mm,平均径27.0mm,瓣上4mm/6mm预估可推开空间周长82.3mm/77.1mm,考虑选择TAV27瓣膜。
策略制定
手术在全麻下,经股动脉入路,使用24mm球囊预扩张,评估冠脉风险,并在右冠脉保护下,植入TAV27瓣膜。
术中操作

球囊预扩
瓣膜释放过程
瓣膜完全释放,无瓣周漏
结语
在多学科协作下,蚌埠市第二人民医院成功完成了首例TAVR手术,术后患者冠脉血流通畅,跨瓣压差改善明显,手术取得圆满成功。与传统开胸体外循环下主动脉瓣置换术相比,TAVR手术避免了开胸、体外循环、心脏停跳等危险因素,大大降低了手术风险,具有创伤小、恢复快、痛苦低、住院时间短等优势。对于高龄且无法耐受开胸手术,以及外科手术高危极高危的患者来说,无异于希望之光。蚌埠市第二人民医院此项手术的成功开展也填补了蚌埠市市级医院在该领域的空白,将为市域及周边地区的主动脉瓣膜病患者带来福音。
VitaFlow Liberty™是目前全球唯一一款商业化的电动可回收TAVR系统,其创新性的电动输送系统,在实现稳定精准释放回收的同时,也为术者提供了更好的操控体验;另外VitaFlow Liberty™是目前国内商业化输送系统中唯一可实现瓣膜段360度弯曲功能的输送系统。其较好的柔顺性可有效减少对血管损伤的风险。VitaFlow Liberty™继承了心通医疗第一代TAVR产品- VitaFlow®的混合密度支架结构,继续使用具有更好耐久性的牛心包做为瓣叶材料,且其合理的双层裙边设计能更大范围有效封堵瓣周漏。
专家简介
商卓
蚌埠市第二人民医院 副院长,心内科主任
●医学博士,主任医师,毕业于北京协和医学院,阜外心血管病医院
●安徽省医学会心血管病学会 常务委员
●安徽省全科医学会慢病防治委员会 常务委员
●蚌埠市医学会心血管学会 副主任委员
●安徽省医师协会心血管病学医师分会 委员
●安徽省全科医学会心脏大血管分会 常务委员
●安徽省医师协会循证医学分会 常务委员
●蚌埠市胸痛联盟执行主席
●蚌埠市医学会 常务理事
●《淮海医药》副主编
●安徽省健康服务业协会心脏大血管微无创治疗分会 副会长。
●长三角心脏重症联盟组织委员会主任
作为研究者参与十余项国家级临床试验。承担及在研中国医师协会探索基金1项,安徽省卫健委课题1项,市级课题2项。发表SCI及中文核心期刊十余篇。参编专著2部。
