2021年11月4日,杨毅宁教授团队带领新疆维吾尔自治区人民医院心内科TAVR团队成功完成一例高难度重度心衰,瓦氏窦瘤患者的TAVR手术,手术顺利完成,术后结果良好,无瓣周漏,无并发症。杨毅宁教授团队已经积累了100余例患者的TAVR经验。
病史简介
患者
男,77岁。
主诉
间断胸闷、气短1年,加重1月。
既往史
高血压病史15年余,血压最高160/100mmHg,目前规律口服“沙库巴曲缬沙坦钠片”100mg,每日两次,血压控制在130-140/80-90mmHg;
糖尿病史15年余,目前皮下注射德谷胰岛素早6-7IU,门冬胰岛素饭前2-3IU,空腹血糖未监测,餐后血糖控制在7-8mmol/l。
就医史
1年前活动后出现胸闷,伴气短、乏力,否认胸痛、放射痛、大汗、头晕、头痛、黑朦、晕厥、恶心、呕吐、腹痛、腹泻等。患者遂就诊于当地医院,给予对症治疗(具体不详)后症状缓解出院。
2021年7月患者再次出现胸闷不适,就诊于医学院,诊断“急性心力衰竭,心功能2-3级(NYHA分级)”,给予抗心衰治疗后症状缓解。
此次近1月,患者再次出现上述不适,就诊当地医院,给予利尿消肿,扩管减轻心脏负荷等治疗,症状有所缓解。当地医院查心脏彩超发现“主动脉瓣狭窄”,患者及家属为求进一步治疗,故今来新疆维吾尔自治区人民医院就诊,门诊以“主动脉瓣狭窄”收入院。病程中患者神志清、精神欠佳,食欲食量可,夜间睡眠差,不可平躺,强迫侧卧位,大小便正常,体力耐力下降,近半年体重减轻10Kg。
术前检查
超声检查
双房大,余心腔内径正常范围,室间隔和左室后壁增厚,左室壁整体运动不协调且减弱。
左室流出道宽:15mm,面积:1.6m²;
主动脉瓣增厚,钙化,开放受限,约0.4m²;
多谱勒指数:0.25;
主动脉前向流速:347cm/s;
峰值压差:48mmHg;
平均压差:31mmHg;
余各组瓣膜回声、形态与启闭无异常,主动脉及肺动脉内径正常。
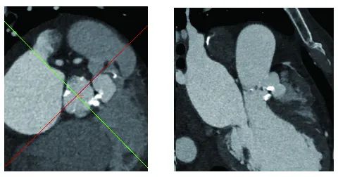
主动脉CT
主动脉根部及瓣环形态
瓣膜不同钙化程度,及形态
瓦氏窦瘤形态
入路条件
手术治疗及策略
术前讨论
杨毅宁教授提出:
该患者是严重心衰伴瓦氏窦瘤患者,同时伴有瓣叶增厚,瓣环周长经为23.8mm,左右冠高度为13.8mm和18.9mm,在瓣膜选择上需要非常谨慎。经过团队讨论决定,预装VitaFlow Liberty™ 27瓣膜。
术中操作
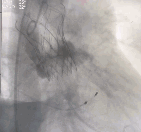
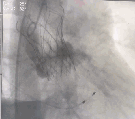
经右侧颈动脉途径,直头导丝跨瓣成功后送入猪尾导管至左室,置入22F动脉鞘管。结合术前CT,装配好VitaFlow Liberty™27号瓣膜,在加硬导丝支撑下,送导管输送系统至主动脉根部并跨过主动脉瓣口,主动脉根部造影,确认瓣膜处于理想位置,在起搏下,经过慢释放、快释放及终释放,完成瓣膜释放过程。术后病人生命体征平稳,跨瓣压差明显改善,无瓣周漏。
球囊预扩
瓣膜定位
瓣膜释放中
瓣膜释放完成
瓣膜形态良好,无瓣周漏
结语
在多学科协作下,新疆维吾尔自治区人民医院心内科TAVR团队完成一例严重心衰伴瓦氏窦瘤患者的TAVR手术,手术经过2个小时紧张有序的操作,手术取得圆满成功,患者苏醒后顺利转入病房。该病例是严重心衰伴瓦氏窦患者,因长期疾病导致患者呼吸困难发作,夜间难以长时间平卧,患者心功能极差。术前团队对CT进行了充分的评估,制定了详细的手术策略,确保手术可以顺利完成。此次手术成功体现了新疆维吾尔自治区人民医院心内科TAVR团队手术经验丰富,团队合作默契。
专家简介
杨毅宁
新疆维吾尔自治区人民医院院长,心血管内科专家。擅长冠心病、先天性心脏病及瓣膜病的介入治疗及相关基础研究。2004年和2007年分别于新加坡国立大学医院导管室和德国Mainz Johannes Gutenberg大学临床医院心内科研修冠状动脉介入治疗。在临床工作中不断开拓创新,在疑难危重症治疗方面,成功开展和推广IVUS、OCT、远隔缺血适应治疗、TAVR、ECMO等新技术。2017年入选"国家百千万人才工程"并被授予"有突出贡献中青年专家"荣誉称号,第十二届"中国医师奖"获得者,先后入选教育部新世纪优秀人才计划,自治区"天山雪松计划"科技创新领军人才后备,"天山英才"培养计划第一层次。2017年入选新疆自然科学专家库。
主持国家重点研发计划1项,国家自然科学基金6项,教育部新世纪优秀人才计划项目1项等20余项研究。
以第一作者或通讯作者身份发表学术论文250余篇,其中SCI收录论文60余篇。荣获自治区科技进步奖10项,其中一等奖4项、二等奖6项、荣获中华医学科技奖2项,2020年被评为自治区“最美工作者”。
新疆维吾尔自治区人民医院心脏中心是新疆自治区内率先独立常规开展经导管主动脉瓣置换术(TAVR)的单位。团队在院长杨毅宁教授的带领下蓬勃发展,技术实力雄厚,得到全国TAVR专家的认可和肯定。
