2021年11月4日上午,上海市胸科医院何奔教授团队,成功应用新一代可回收瓣膜系统TaurusElite®为一位重度主动脉瓣狭窄的先天性二叶瓣畸形患者完成了TAVR手术。这是TaurusElite®上市以来在上海市胸科医院的首次植入。此次接受手术的患者,长期受主动脉瓣狭窄困扰,曾于四年前尝试行外科开胸瓣膜置换术失败,辗转于当地多家医院求诊,均考虑患者手术风险高而无法接受手术治疗。此次患者慕名来到上海市胸科医院,手术当日何奔主任带领手术团队紧密配合,在TaurusElite®可回收功能的保驾护航下,实现瓣膜精确定位释放,手术顺利完成,术后患者血流动力学指标及症状明显改善,为患者带来更多的临床获益!
患者基本信息:
患者为70岁老年女性,主因“心悸30余年”入院。患者既往史明确,4年前于外院行开胸主动脉瓣膜置换术失败,改行保守治疗。1年来心悸加剧,外院诊断为“主动脉瓣重度狭窄”,遂自行前来上海就诊。行相关辅助检查后,超声提示“二叶主动脉瓣畸形、主动脉瓣狭窄(重度)、升主动脉增宽、二尖瓣反流(中度)。左室舒张末内径48mm;左房内径38mm;室间隔厚度10mm;主动脉瓣峰值压差91mmHg、平均压差58mmHg;LVEF 67%”。
主动脉根部评估:

左冠开口高度15.0mm,右冠开口高度15.0mm,双侧冠脉预估术后灌注良好;左室腔较小,心室壁可见明显增厚。
外周血管及主动脉弓解剖:
入路血管无严重钙化及其他病变,双侧血管内径良好,整体入路血管条件良好。
病例特点:
该患者为一例外科换瓣失败后的重度AS患者。
①患者心室情况不稳定,前次外科手术失败后存在的心室改变不明确
②患者为重度钙化先天性二叶瓣,钙化集中分布于瓣叶对合缘,对瓣膜锚定存在负面影响
③患者主动脉弓距较短,且可见升主膨隆,术中存在血管并发症风险
手术策略讨论:
上海交通大学附属胸科医院何奔主任团队以及护理团队、麻醉科、超声科等多学科进行充分术前讨论分析:
①患者为Type0型先天性二叶式主动脉瓣,瓣叶扩张存在瓣叶撕裂及瓣环撕裂风险,术中球囊扩张须谨慎操作
②患者外科换瓣术失败原因不明确,心脏结构可能存在薄弱部,术中须注意心室内器械操作
③患者主动脉弓距较小,升主动脉可见膨隆部,过弓手法应尽量轻柔,避免引起血管损伤
手术过程回顾:
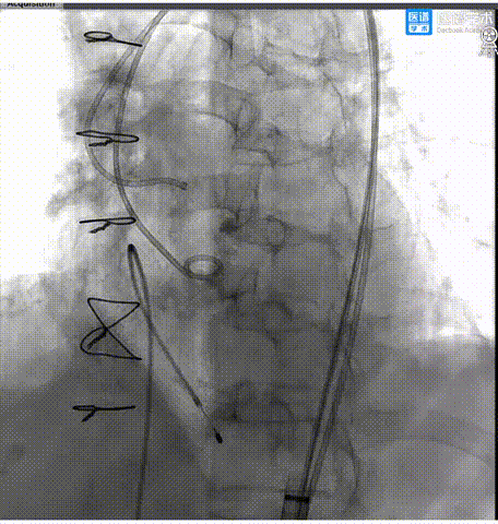
1.经右侧颈静脉留置临时起搏电极;以左侧股动脉为辅入路,并在造影指导下穿刺右侧股动脉为主入路。
2.主动脉根部造影,瓣上钙化清晰,未见明显反流影。
3.直头导丝跨瓣,通过交换导丝将猪尾导管引入左室,测得跨瓣压差约99mmHg。



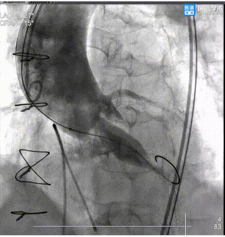
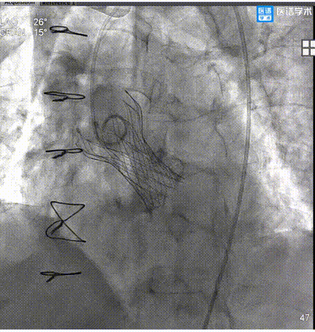
6.瓣膜释放至工作位后,造影评估示瓣膜植入较深,遂行完全回收重定位再释放。

7. 第二次释放后,经多投照角度评估,瓣膜仍存在植入过深情况,遂进行第二次完全回收重定位再释放。


8. 第三次释放后,超声、造影评估示瓣膜植入深度、工作形态良好、微量瓣周漏,交换猪尾导管测的平均跨瓣压差2mmHg,手术圆满成功。
术后讨论:
何奔主任寄语:
现今的TAVR植入器材日趋多样,植入的技巧也在推陈出新,越来越多的临床术者参与到了TAVR术式在中华大地上的实践热潮之中。但随着这一新术式的推广,“老的”——或者说基本的医生诊疗手法,更加凸显出了其存在的价值。
TAVR术式的操作,实际上并不困难。更何况现在各种TAVR的植入产品,都在向着容易操作、便于学习的方向发展,对于各层次术者开展TAVR手术都提供了莫大的便利。但简单的术中操作,可能是TAVR术式具有欺骗性的一个表象。作为介入术式的一种,TAVR不仅有着非直视性操作都具有的风险,同时还因其存在多学科协作的要求,术中操作须多人密切配合完成,而对整个植入操作团队存在较高的要求。
大家常常认为TAVR的这个高手术团队要求,是要求团队内部有一种多次配合练习出的默契。可在手术过程当中,真正挑战术者的,不会是操作本身,而必然是患者“不按教科书生的病”,及因为患者自身病理生理情况发生的意外事件。这都是术前练习和团队默契,所不能根绝的问题。真正能提供解决问题之手段的,还是我们医学的老工具——病人病史分析、病人病情资料收集。
只有对病人病史资料进行分析,我们才能对病人的个人情况及其现在病情基础,有一个大概的认识。了解其病程源流,我们才能结合临床经验,对其可能的发展了然于心。再利用相关辅助检查手段及评估方法,对患者现在病情进行探查后,结合我们心中对病程发展的预估,才能真正使得我们正确认识患者今日病情的发生原因、发展状况、转归趋势,全面地制定手术治疗策略,做好充分准备。
当每个TAVR团队的成员,都能如此了解患者时。团队内的每个人,在手术的过程中,都自然地会对术中事件及患者术中情况有一个共通的认知。在此认知基础上,我们得以用一种共同的策略,完成术中的每一步操作。这种思维上的一致,或许才是真正被临床需要的“团队默契”。
专家介绍
何奔
上海市胸科医院
上海市胸科医院心脏中心主任,心内科主任,主任医师,博士生导师,二级教授。上海市优秀学科带头人,上海市领军人才、国家卫生计生委有突出贡献中青年专家,享国务院特殊津贴。在冠心病、高血压、心律失常、结构性心脏病、心力衰竭等均有丰富的诊治经验,尤其擅长各种高难度冠心病的介入治疗,在经皮左心耳封堵手术预防房颤脑卒中,经导管主动脉瓣置换术和经导管二尖瓣修复手术等方面均有高深造诣。主持多项国家级重点项目,以第一或通讯作者发表SCI收录论文80多篇,总影响因子400多分,论文H指数35。先后荣获上海市医学科技一等奖,教育部科技进步一等奖等多个奖项。他是美国心脏学院专家会员(FACC),欧洲心脏学院专家会员(FESC),美国心脏造影与介入学会专家会员(FSCAI),中华医学会心血管病学分会全国常委,中国研究型医院学会心血管循证与精准医学专业委员会副主任委员,海峡两岸医药卫生协会心血管专业委员会副主任委员,中国心律协会左心耳封堵学组组长。曾获“上海市十佳医生”、“中国十大口碑医生”;上海市五一劳动奖章,上海交通大学校长奖,宝钢全国优秀教师奖等荣誉。
