2021年10月31日,皖南医学院弋矶山医院汤圣兴教授团队,成功应用新一代可回收瓣膜系统TaurusElite®为一位高龄主动脉瓣重度狭窄患者完成了TAVR手术,这也是TaurusElite®上市以来在皖南地区的首次植入。
此次接受手术的患者,长期受主动脉瓣狭窄疾病困扰,此次慕名前来弋矶山医院就医,经汤圣兴教授团队评估判断其情况符合TAVR适应证,故予以手术治疗。手术结果成功,患者预后良好,血流动力学指标及症状明显改善。
患者基本信息
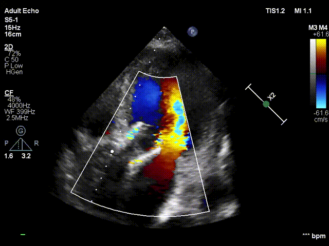
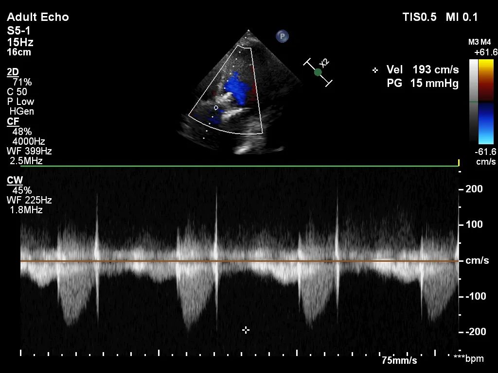
患者为83岁老年女性,主因“发作性胸闷胸痛10余年,加重1周”入院。患者病史明确,10余年来于多家医院诊断为“心功能不全”,予以保守治疗。1周前患者胸闷、胸痛加重,伴呼吸困难,活动后加重,夜间不能平卧。遂来我院就医,急诊心电图示“窦性心律”;胸部CT示“双肺散在炎症灶、心脏增大、肺动脉干增粗、双侧少量胸腔积液”;超声示“升主动脉硬化、主动脉瓣狭窄(重度)、主动脉瓣反流(中度)、二尖瓣反流(中度)。左室舒张末内径62mm、左房内径41mm、室间隔厚度9mm、主动脉瓣峰值压差56mmHg、LVEF 51%”。
主动脉根部评估
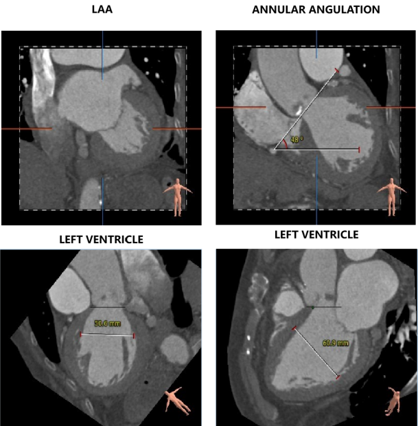
CT数据显示该患者为三叶三窦式主动脉瓣。
左冠开口高度11.0mm,右冠开口高度17.9mm,左冠高度较低,根据瓦氏窦内径和瓣叶长度综合判断,左冠存在一定堵塞风险;左室腔增大,心室壁未见明显增厚。
外周血管及主动脉弓解剖
入路血管钙化明显,双侧血管内径良好,整体入路血管条件尚可。
病例特点
该患者为一例高龄的重度AS患者。
1、患者主动脉根部钙化分散少量,瓣叶增厚明显,锚定力存在不足;
2、患者左冠开口较低,结合瓦氏窦内结构,存在一定左冠封堵危险;
3、入路血管见多发钙化,双侧血管内径良好,整体入路血管条件尚可。
手术策略讨论
1、患者主动脉根部钙化量少,钙化分布分散,整体锚定力较低,术中须精确定位释放,必要时行瓣中瓣策略;
2、患者外周血管入路钙化较多,器械进入及退出时须注意力度,防止入路并发症的发生;
3、结合患者一般情况及心脏检查结果,考虑存在循环崩溃风险,术中注意操作,并预装TaurusElite AV26号瓣膜。
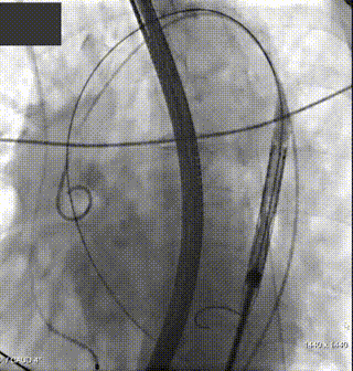
手术过程回顾
1.经右侧颈静脉留置临时起搏电极;以左侧股动脉为辅入路,并在超声指导下穿刺右侧股动脉为主入路;
2.主动脉根部造影,示双侧冠脉灌注良好;
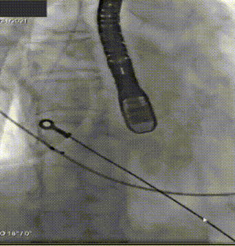
3.直头导丝跨瓣,交换超硬导丝支撑;
4.180次/分快速起搏下以TaurusAtlas 22mm 球囊进行预扩张,扩张同时造影示轻微腰征,无造影剂渗漏,被推开的左冠瓣瓣叶未累及左冠开口,左冠显影明显;

5. 根据术前评估及球囊预扩情况,选择沛嘉TaurusElite AV26号瓣膜进行植入,在120次/分快速起搏下释放瓣膜,第一次释放至工作位发生下滑;

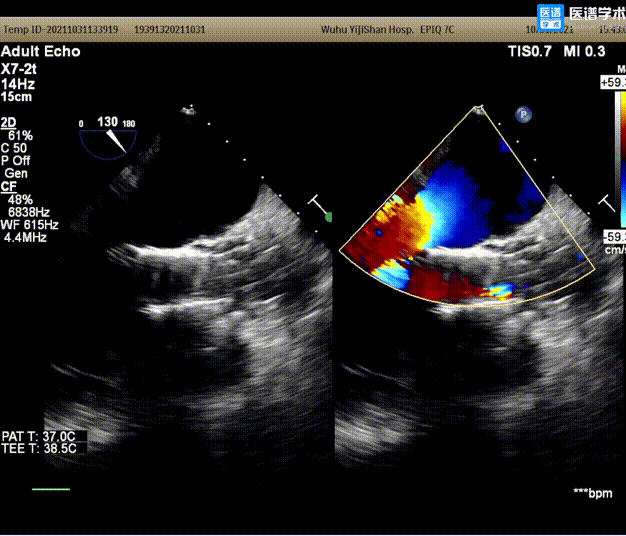
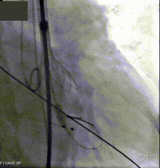
6. 回收后进行重新定位释放,释放完毕后超声评估示平均跨瓣压差15mmHg,超声、造影评估示中量瓣周漏、少量瓣中漏,瓣膜整体下滑明显,遂行瓣中瓣策略;
7. 选择沛嘉TaurusElite AV26号瓣膜执行瓣中瓣策略,第二个瓣膜释放后造影示瓣周漏改善不明显,遂选用TaurusAtlas 22mm 球囊行后扩张;

8. 扩张后跨瓣压差降至8mmHg,造影示轻微瓣周漏,患者血流动力学指标改善明显,手术圆满成功。
术后讨论
• 本病例难点主要为高龄低主动脉瓣钙化导致的瓣膜位移风险。
• 在术前评估阶段,首先通过心电图及超声探查,对患者心力储备、心脏电生理状况有了一个基本的把握,明确了患者自身的心力储备情况。之后的CTA评估,通过瓣环上平面测量,提示了瓣叶钙化轻微,主动脉根部锚定力较弱。于术前明确了瓣中瓣发生可能性,为术中的快速决策提供了可能。
• 在手术策略的制定上,汤圣兴教授团队根据患者自身情况,制定了周密的术中突发情况应对方案。采用小型号球囊进行扩张,减少患者主动脉根部损伤,提高其整体获益率。术中,汤圣兴教授团队密切配合,导丝跨瓣及球囊扩张操作顺利,输送器过弓及定位释放操作顺畅。TaurusElite良好的回收性能,使得术者在瓣膜释放至工作位并进行评估后,快速回收再定位。
• 由于本例患者的低钙化特性,第一个瓣膜最终释放后,仍不免位移。但基于良好的术前策略制定,汤圣兴教授团队迅速完成瓣中瓣释放,并基于血流动力学参数进行了后扩张操作,最终为患者带来了明显的临床获益。
专家简介

心血管内科,江淮名医、医学博士、教授、主任医师、博士生导师、皖南医学院弋矶山医院大内科主任、心血管内科行政主任、安徽省政府特殊津贴。主持或参加国家自然科学基金、安徽省科技厅、卫生厅、教育厅和皖南医学院科研课题10项,获安徽省科技进步三等奖2项。发表学术论文80余篇。现为全国心血管疾病介入诊疗冠心病介入基地主任、中国医师协会心血管内科医师分会委员、安徽省医学会心血管分会副主任委员、安徽省医师协会心血管病学医师分会副主任委员、中华医学会安徽分会心血管病学分会委员、 国家心力衰竭医联体安徽省省级指导委员会副主任委员、安徽省胸痛中心联盟委员会副主席、安徽医药编委、中国临床药理学与治疗学杂志编委、皖南医学院学报和江苏心电杂志编委。