近日,重庆市人民医院心脏中心使用VitaFlow Liberty电动可回收输送系统完成两例经导管主动主动脉瓣置换手术(TAVR,俗称“不开刀心脏瓣膜置换术”),在医院多学科的共同协助配合下,手术顺利完成,患者情况良好。此次手术的成功,标志着重庆市人民医院心脏中心的主动脉瓣介入治疗水平全面进入电动可回收新时代。
病史1
患者
男,79岁。
主诉
阵发性胸闷半年。
既往史
一般情况尚可,有高血压病史。
术前检查
心脏彩超
主动脉瓣病变:主动脉瓣重度狭窄伴大量反流
峰值流速:4.8m/s;
平均跨瓣压差:53mmHg;
左室射血分数EF值:56%;
左室舒张末期内径(LVD):54mm;
左房增大,主动脉增宽,二尖瓣少量返流,左室舒张功能减退。
主动脉CT
手术治疗策略
策略制定
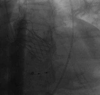
陈灏、冉擘力教授团队术前总结了该病例特点:此病例为type1型二叶瓣,无冠窦钙化非常严重,L-N融合以增厚为主。瓣环周长84.5mm,环上瓣68.7mm,结合左冠高度、瓣叶长度及窦宽,左冠风险较高,需要“down size”。经过反复评估和研讨后,考虑冠脉风险,使用国内首创的电动可回收输送系统--VitaFlow LibertyTM,会降低风险。监护麻醉,经右侧股动脉行TAVR,选用22mm球囊预扩评估冠脉风险,植入VitaFlow24瓣膜。
术中操作
球囊预扩,确认冠脉风险

瓣膜释放至1/2

球囊后扩
病史2
患者
女,74岁。
主诉
3年前无明显诱因出现活动后间断性胸闷气短、心累,以爬坡时为著,偶有心前区疼痛,休息后可缓解。近期患者病情加重,发作时无头晕头痛、无咳嗽咳痰,无恶心呕吐,无腹胀腹痛,以“心脏瓣膜病”收入重庆市人民医院心脏中心。
术前检查
心脏彩超
左室射血分数EF值:58%;
左室舒张末期内径(LVD):55mm;
主动脉瓣大量返流,左房、左室增大;
并左室壁增厚;
二尖瓣、三尖瓣及肺动脉瓣少量返流;
左室舒张功能减退。
主动脉CT
手术治疗策略
策略制定
陈灏教授团队总结了该病例特点:三叶瓣,纯返流,瓣环周长68mm,LVOT周长70.9mm,LCA/RCA分别高15/9mm,STJ最大直径29.8mm,考虑纯返流病例,瓣膜锚定难度大,术中或术后可能出现瓣膜移位等严重并发症,瓣膜的精准定位和稳定释放极为关键。经反复评估,考虑VitaFlow Liberty可回收电动输送系统可以实现快速稳定且精准的释放、回收及瓣膜锚定,且瓣膜的双层裙边设计在减少瓣周漏的同时增加锚定摩擦力。oversize选择VitaFlow27瓣膜。
术中操作
顺畅过弓
瓣膜开始释放
结语
在多学科协作下,经过紧张有序的操作,重庆市人民医院心脏中心成功完成两例经股动脉介入主动脉瓣置换术,两名患者苏醒后顺利转入病房。自2010年在中国首例TAVR完成至今,此项技术已取得突飞猛进并逐渐成熟,重庆市人民医院心脏中心TAVR团队在陈灏主任、冉擘力主任的带领下锐意进取,开展了多项高精尖技术如经导管主动脉瓣置换术(TAVR)。此次重庆市人民医院成功完成两例TAVR手术,标志着这项国际领先的尖端技术在重庆市人民医院趋近成熟,这将为辖区内更多患者带来突破性的医疗新技术与福音。
VitaFlow LibertyTM是目前全球唯一一款商业化的电动可回收TAVR系统,其创新性的电动输送系统,在实现稳定精准释放回收的同时,也为术者提供了更好的操控体验;另外VitaFlow LibertyTM是目前国内商业化输送系统中唯一可实现瓣膜段360度弯曲功能的输送系统。其较好的柔顺性可有效减少对血管损伤的风险。VitaFlow LibertyTM继承了心通医疗第一代TAVR产品- VitaFlow®的混合密度支架结构,继续使用具有更好耐久性的牛心包做为瓣叶材料,且其合理的双层裙边设计能更大范围有效封堵瓣周漏。
专家简介

陈灏
重庆市人民医院心血管外科主任、主任医师(2013年)。
博士后工作站、硕士研究生导师
重庆市学术技术带头人,重庆市中青年医学高端人才
国家微创心血管外科专委会委员
中国研究型医院学会心脏瓣膜学专业委员会委员
重庆市中西医结合学会心血管内外科联合专委会副主任委员
重庆市医学会心胸外科专委会委员
重庆市医师协会心血管外科专委会委委员
重庆市医学会外科学专委会委员
国际微创心胸外科协会会员
曾赴北京阜外医院、德国卡尔斯鲁厄心脏外科医院、美国纽约威尔康奈尔医学中心做高端访问学者,系统学习了经导管瓣膜手术。从医25年,技术全面,尤其在心脏微创手术、房颤消融、瓣膜成形(修复)、杂交手术(包括经导管瓣膜置换)等领域有深入研究,创新多种胸腔镜心脏手术术式;并对主动脉夹层、动脉瘤、肥厚梗阻性心肌病等急危重症手术有丰富经验。
《检验与临床》、《中国心胸血管临床杂志》、《中国药房》等杂志的编委。参与并主持国家级、省市级科研8项,发表文献20余篇。
2011年获重庆市委宣传部授予“优秀共产党员”荣誉称号,2011-2014连续四年获腾讯大渝网“医者仁心”荣誉称号,2016年获评“重庆市优秀管理工作者”荣誉称号,2017年获重庆市“最美医务工作者”提名奖,2019年重庆市“最美卫生健康志愿者“荣誉称号,2019“重庆好医生”等荣誉称号。

冉擘力
重庆市人民医院,心血管内科主任,博士,主任医师,硕士研究生导师。
2004年获重庆市科技进步三等奖1项
2007年全军医疗成果二等奖1项
2007年主持第三军医大学校管课题1项
2010年重庆市科技进步2等奖1项
2015重庆市科技进步2等奖1项
2016华夏医学科技进步2等奖1项
2017主持重庆市科委重大课题1项
2017年荣获"重庆名医‘’称号
从事心血管临床工作30年,擅长复杂冠心病介入治疗、复杂心律失常射频消融、CRT植入及结构性心脏病介入治疗等。发表论文30余篇(4篇SCI)。
重庆市中西医结合学会心血管专委会主任委员,重庆市医学会心电生理与起搏分会副主任委员,重庆市医学会心血管分会心血管介入与影像学组副组长、瓣膜与大血管组副组长,重庆市医学会临床流行病学和循证医学分会副主任委员,重庆市医院管理协会心血管专委会副主任委员,重庆市健康教育和健康促进学会心血管专委会副主任委员,重庆市卒中学会卒中与心血管专委会副主任委员,重庆市卒中学会高血压专委会副主任委员。