2021年10月9日,河南省胸科医院袁义强院长团队使用VitaFlow LibertyTM连续分别为一位二叶瓣、左右瓣叶融合患者, 和一位三叶瓣、左右冠高风险患者完成TAVR治疗。
在医院多学科的共同协助配合下,手术均顺利完成,目前患者均已出院,随访良好,无传导阻滞。短时间内连续完成两例患者的治疗,标志河南省胸科医院在主动脉瓣治疗,已经全面进入电动可回收的TAVR新时代。
患者1
患者
女,66岁。
主诉
年前重体力活动后突发胸痛,伴乏力,气促,发汗,天气转凉后易出现咳嗽,咳痰,无胸闷无盗汗等不适,休息5分钟症状缓解,自行在家服用药物治疗(药物不详),症状控制可。此后间断出现上述症状,自行服用速效救心丸控制。1个月前出现上述症状,自觉症状较前加重,于当地医院检查,诊断为心脏病,给予药物治疗,症状持续不缓解。
为进一步治疗,至河南省胸科医院进行门诊,以心脏瓣膜病-主动脉瓣膜狭窄为诊断进行住院治疗。患者神志清,精神一般,饮食及睡眠一般。
术前检查
心脏彩超
EF:66%, 左室舒末:48mm,收末:30mm;
主动脉瓣二叶瓣畸形并重度狭窄;
瓣上流速:Vmax:5.8 m/s;
PG:138mmHg;
二尖瓣,三尖瓣轻度返流
主动脉CT
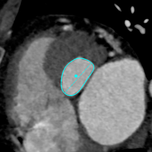
主动脉瓣环平均直径:22.4mm
左室流出道平均直径:23.2
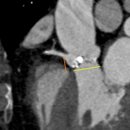
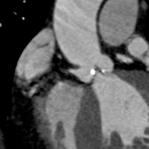
左冠脉开口:10mm
右冠脉开口高度:14.7mm
手术治疗策略
术前讨论
患者为功能性二叶瓣,左右瓣叶融合,左冠脉开口低,窦部大,冠脉风险低。
袁义强院长总结了该病例特点:功能性二叶瓣主动脉瓣狭窄,患者有心衰症状,解剖适合TAVR,年龄66岁,存在明确TAVR手术适应症。选择右股动脉入路,根据CT测量分析选择瓣膜大小,窦部情况可,瓣环平均直径22.4mm,选择植入24mm瓣膜。
策略制定
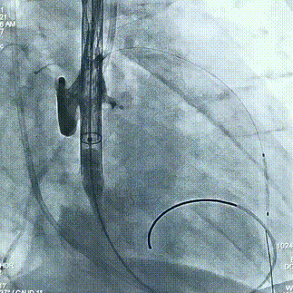
监护麻醉,经右侧股动脉全麻行TAVR,选用22mm球囊扩张,查看冠脉风险VitaFlow24瓣膜植入。
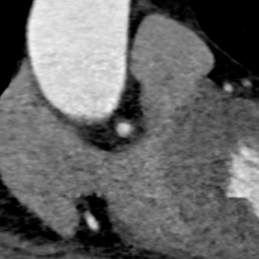
术中操作
球囊预扩
瓣膜初始定位
即刻超声评估示瓣周漏显著降低
患者2
患者
女,73岁。
主诉
2年前干农活时突发胸闷,头晕,伴大汗,心慌,眼前发黑颈椎疼痛,无胸痛乏力,无咳嗽,咳痰等不适,休息5分钟后缓解,因个人原因未诊治,此后间断出现上述症状,休息后好转,未予诊治。2天前干农活时再发生上述症状,自觉症状较前加重,自行于当地县医院进行诊治,至濮阳市人民医院。
行心脏彩超,提示:
1,左心室增大;
2,主动脉瓣膜重度狭窄并轻度关闭不全;3,二尖瓣三尖瓣少量返流。
因主动脉瓣重度狭窄有猝死风险,遂转至河南省胸科医院。以心脏瓣膜病-主动脉瓣膜重度狭窄为诊断,进行住院治疗。
术前检查
心脏彩超
EF:64%, 左室舒末:40mm,收末:26mm;
左房大,左室壁增厚;
主动脉瓣二叶瓣畸形并重度狭窄;
瓣上流速:Vmax:4.8 m/s,PG:92mmHg;
二尖瓣,三尖瓣轻度返流。
主动脉CT
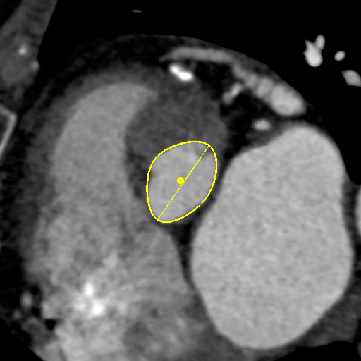
主动脉瓣环平均直径:22.1mm;
左室流出道平均直径:23.7;
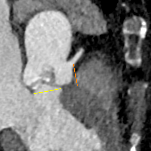
左冠脉开口:12.3mm;
右冠脉开口高度:11.2mm。
手术治疗策略
术前讨论
术前讨论:患者为三叶瓣主狭,左右冠瓣叶长,开口低,瓦氏窦小,左右冠高风险。
袁义强院长总结了该病例特点:三叶瓣,左右冠均高风险,解剖适合TAVR,年龄73岁,存在明确TAVR手术适应症。选择右股动脉入路,根据CT测量分析选择瓣膜大小,窦部情况可,瓣环平均直径22.1mm,计划22号球囊预扩,评估冠脉风险,选择植入24mm瓣膜。
策略制定
右股动脉入路、22球囊扩张,植入24型号瓣膜;
监护麻醉,经右侧股动脉全麻行TAVR,选用22mm球囊扩张,查看冠脉风险,VitaFlow24瓣膜植入。
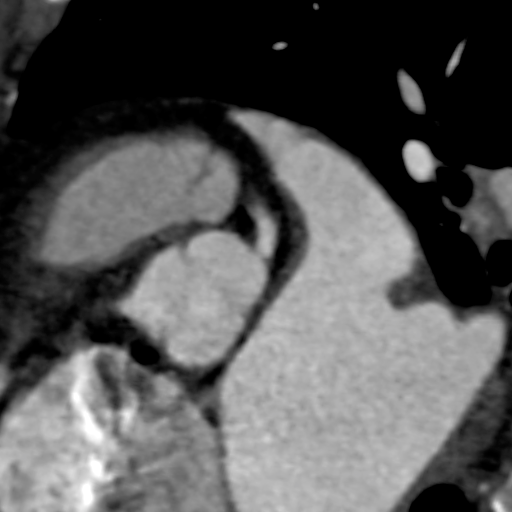
术中操作
球囊预扩
瓣膜定位
经评估后植入左主干烟囱支架
结语
在多学科协作下,河南省胸科医院完成了首例可回收输送系统经股动脉介入主动脉瓣置换术。经过4个小时紧张有序的操作,两例手术都取得圆满成功,患者苏醒后顺利转入病房。
此次河南省胸科医院成功完成二代可回收瓣膜的TAVR手术,标志着这项国际领先的尖端技术已经全面进入可回收时代,未来这项更安全,有效的医疗新技术, 也将为辖区内更多的患者带来福音。
VitaFlow LibertyTM是目前全球唯一一款商业化的电动可回收TAVR系统,其创新性的电动输送系统,在实现稳定精准释放回收的同时,也为术者提供了更好的操控体验;另外VitaFlow LibertyTM是目前国内商业化输送系统中唯一可实现瓣膜段360度弯曲功能的输送系统。其较好的柔顺性可有效减少对血管损伤的风险。VitaFlow LibertyTM继承了心通医疗第一代TAVR产品- VitaFlow®的混合密度支架结构,继续使用具有更好耐久性的牛心包做为瓣叶材料,且其合理的双层裙边设计能更大范围有效封堵瓣周漏。
专家简介

袁义强
主任医师,心血管内科博士生导师,郑州市党代表。河南省胸科医院党委副书记、院长。
被评为河南省学术技术带头人、先进工作者、全省优秀共产党员、健康中原好卫士、第九届河南优秀医师奖获得者、国务院政府特殊津贴获得者、河南省优秀专家、全国先进工作者、全国卫生计生系统先进工作者。
从事心血管病介入诊疗20年,独立完成各种心血管介入手术1万余例,能独立熟练完成房颤射频导管消融术、CRTD植入术、PCI、主动脉夹层等高难度的介入治疗。他在河南省内创新性开展了左心耳封堵,经导管主动脉瓣置换术,三维立体定位下房颤射频消融术。发表论文60余篇,第一作者及通讯作者在国家级核心期刊发表学术论文20余篇,SCI论文11篇,专著2部。获省市科技进步奖和科技成果奖13项,目前承担科研项目10余项。
任国家卫健委心血管介入培训基地主任及导师,中国生物医学工程学会心律分会心房颤动工作委员会委员,中国房颤中心联盟副主席,中国医疗保健国际交流促进会心脏重症专业委员会常务委员,中国老年保健医学研究会老年心血管分会副主任委员,中国医师协会心血管分会心律失常工作委员会委员,亚太心脏联盟结构性心脏病分会委员会委员,中国医疗保健国际交流促进会心脏重症专业委员会河南分会主任委员,河南省医学会副会长,河南省房颤中心联盟主席,河南省医学会心电生理与起搏分会副主任委员,河南省医学会内科学专业委员会副主任委员,河南省医师学会心血管分会常务委员,郑州市医师协会副会长,郑州市医学会心血管内科专业委员会主任委员,郑州市医学会心电生理和起搏专业委员会主任委员,郑州市医师协会心血管内科专业委员会主任委员。