2021年10月19日,徐州医科大学附属医院心血管内科团队使用沛嘉TaurusElite经导管可回收瓣膜系统分别治疗高龄中度钙化、高风险股动脉入路TAVR 2名患者,术前心血管内科王诚教授联合胸心外科,心脏超声科,医学影像科、麻醉科对患者病情进行全面评估。在全体医护人员的协同配合下,瓣膜植入后工作稳定,最终两名患者瓣膜释放位置及工作状态均良好,血流动力学有效改善,手术取得圆满成功。
病例一:患者基本情况
患者81岁、女性,一年前出现胸闷不适,超声心动图显示主动脉瓣增厚,钙化,提示重度狭窄并轻度关闭不全,EF值63%,主动脉瓣峰值流速4.61m/s,平均压差50mmHg。二尖瓣少量反流,三尖瓣少量反流。
术前CT评估
• 三叶式主动脉瓣,瓣叶增厚,中度钙化且分布欠均匀,主要分布于窦底及管壁附着缘
• 左冠开口稍偏低,左室流出道内径稍小于瓣环径,瓦氏窦偏小,窦管交界及升主动脉内径可
• 非横位心,主动脉弓夹角与宽度可
• 双侧股动脉管径良好,未见明显扭曲、钙化
主动脉根部测量
冠脉高度、瓣叶长度及钙化测量
瓣环上测量
外周血管及主动脉弓解剖
评估与讨论
该患者为一个三叶式主动脉瓣,中度钙化,瓣环上2mm-4mm区域钙化较重,提供充足锚定力的同时也可能挤压假体瓣膜造成瓣周漏。左冠高度9.8mm,根据瓣叶长度、瓦氏窦高度、钙化分布预估风险不高,术中关注冠脉血流灌注。
经过临床严谨的评估及充分的讨论,使用右侧股动脉为主入路,18mm球囊预扩张。预装载TaurusEliteAV23瓣膜,瓣环下0-2mm偏高位,在RAO26°CAU13°(双窦展开)下释放。
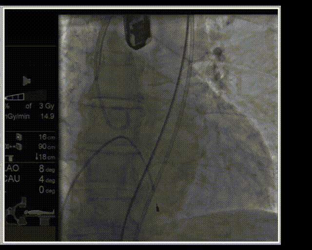
手术过程
主动脉根部造影
18F球囊预扩
输送器顺畅过弓及跨瓣
瓣膜释放
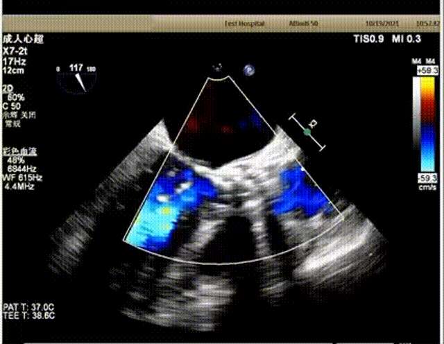
超声下血流动力学良好,微量反流
病例二:患者基本情况
患者73岁、女性,胸痛十余年,加重一月,超声心动图显示主动脉瓣增厚,钙化,提示中重度狭窄并轻度关闭不全,EF值62%,主动脉瓣峰值流速4.2m/s,平均压差41mmHg。二尖瓣少量反流,三尖瓣少量反流。
术前CT评估
• 三叶式主动脉瓣,中度钙化且分布欠均匀,主要分布于左、无冠瓣叶边缘。
• 左冠高度稍偏低,术中关注冠脉血流灌注情况。
• 左室流出道内径稍小于瓣环径,瓦氏窦偏小,窦管交界及升主动脉内径可。
• 非横位心,主动脉弓夹角与宽度可。
双侧髂总动脉条状钙化,附着斑块,局部管径较细。双侧股髂动脉未见明显扭曲,股动脉穿刺区域内径尚可双。
主动脉根部测量
冠脉高度、瓣叶长度及钙化测量
瓣环上测量
外周血管及主动脉弓解剖
评估与讨论
该患者为一个三叶式主动脉瓣,左瓣叶轻中度钙化,瓣叶增厚,预估人工瓣膜向下位移风险较低,瓣周漏风险不高
左冠高度稍偏低,根据瓣叶长度、瓦氏窦宽度、钙化分布预估冠脉阻挡风险不高,术中关注冠脉血流灌注
双侧股动脉管径稍细,髂总动脉条状钙化且管径偏小,血管并发症风险增高。
经过临床严谨的评估及充分的讨论,使用右侧股动脉为主入路,20F动脉鞘内芯常规预扩。可不预扩,若预扩推荐使用18mm球囊预扩张。预装载TaurusEliteAV23瓣膜,瓣环下0-2mm偏高位,在RAO21°CAU28°(双窦展开)下释放。
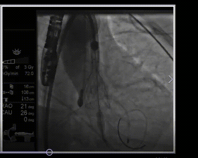
手术过程
主动脉根部造影
18F球囊预扩
输送器顺畅过弓及跨瓣
瓣膜释放
髂动脉撤大鞘
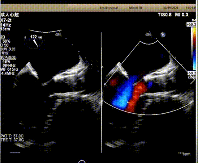
超声下血流动力学良好,微量反流
专家点评:
感谢复旦大学附属中山医院周达新教授对母校附属医院科室的指导。随着人口老龄化的加剧,以瓣膜病为表现的结构性心脏病快速发展,同时一批国内企业的优秀产品的上市使得术者能够加快掌握TAVR手术,TAVR技术的成熟使得更多的主动脉瓣狭窄患者获益。相信可回收瓣膜系统的出现更有助于术式的开展,帮助更多的患者获得更好的治疗效果。
专家简介

主任医师,医学博士,副教授。现任徐州医科大学附属医院心血管内科副主任,徐州医科大学硕士生导师,中华医学会心血管病分会结构心脏病学组委员,江苏省医师协会心血管病委员会委员。近年带领团队成功完成徐州医科大学附属医院首例经导管主动脉瓣置换术(TAVR)和左心耳封堵术。现常规开展多种瓣膜病的介入治疗,同时擅长先天性心脏病介入治疗。迄今已连续从事该专业20年,累计完成先天性心脏病介入治疗3000例以上,成功率在98%以上,无死亡等严重并发症发生。发表专业论文30篇,参编(译)专著4部。参加国家十三五课题1项,完成江苏省课题2项,徐州市科技局课题1项。已培养硕士研究生6名。