9月29日,南京大学医学院附属鼓楼医院心内科成功完成一例 Type 0型重度钙化二叶式主动脉瓣危重病例的TAVR手术。在医院多学科的共同协助配合下,手术取得圆满成功,目前患者出院,随访良好。
病史简介
患者
男,73岁。
主诉
反复胸闷两年,加重一年。
既往史
患者近两年开始出现胸闷、气喘,近一年开始出现劳力性胸闷、气喘,伴有夜间阵发性呼吸困难,不能平卧。
病史 - 冠脉治疗
2021年5月25日在南京大学医学院附属鼓楼医院江北分院心脏彩超提示主动脉瓣重度狭窄,EF27%, 左室前壁中下段、左室下后壁基底段至中段心肌运动减弱明显,以急性非ST段抬高型心肌梗死收治入院。
2021年5月27日冠脉造影提示:冠脉呈右冠优势型,LM体部狭窄70%,可见钙化影,LAD近、中段长病变伴钙化,弥漫性狭窄70~80%,LCX近、中段弥漫性钙化病变,最重处狭窄40~50%,主OM近段狭窄30%,RCA近段至远段弥漫性病变,中段最重处狭窄80%,PLA近段偏心狭窄90%。
于PLA植入2.25X29mm RDES药物支架,RCA近、中段植入3.0X33mm RDES药物支架,LM开口至LAD中段植入3.5X33mm 2.75X29mm 2.5X29mm Firebird2药物支架。完成左主干介入治疗术,转诊至南京大学医学院附属鼓楼医院心内科进行进一步治疗。
术前检查
心脏彩超
峰值流速:4.2m/s
最高跨瓣压差:69mmHg
平均跨瓣压差:43mmHg
左室射血分数EF值: 26%
左室舒张末期内径(LVD):6.13 cm
超声提示:主动脉重度狭窄伴轻-中度关闭不全
二尖瓣中-重度、三尖瓣轻-中度关闭不全
心功能不全(限制型)
轻度肺动脉高压
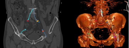
主动脉CT
瓣膜形态
入路状况
手术治疗策略
术前讨论
徐标教授总结了该病例特点:
该患者主狭病史时间长,合并症多,心功能较差,EF仅为26%,身体情况较为虚弱,整体手术风险较高。
结构上,该病例为Type0型二叶瓣,瓣叶钙化、增厚严重,且流出道呈喇叭口型。考虑远期效果,为避免瓣膜选择过大打开不良造成瓣膜过早衰败,可参照瓣上狭窄结构Downsize选择TAV24瓣膜;同时为了避免瓣膜移位及瓣周漏,应采取高位定位释放的策略,释放过程中应留意输送系统及导丝的牵拉稳定瓣膜位置,如遇瓣膜位置不佳,及时应用可回收功能进行再次定位释放。双侧入路直径充足,但双侧股动脉分叉均较高,可考虑主入路外科切开后于稍高处穿刺。
策略制定
全麻下,以右侧股动脉为主入路(外科切开后穿刺),使用22mm球囊预扩张,植入TAV24型号Vitaflow瓣膜。
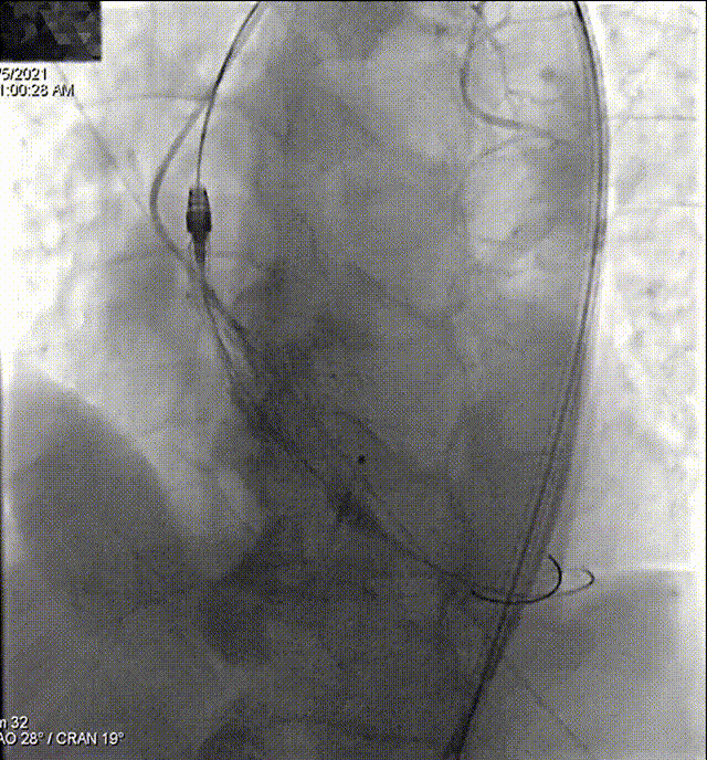
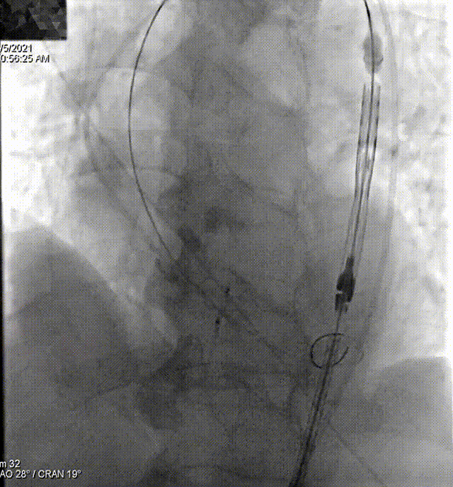
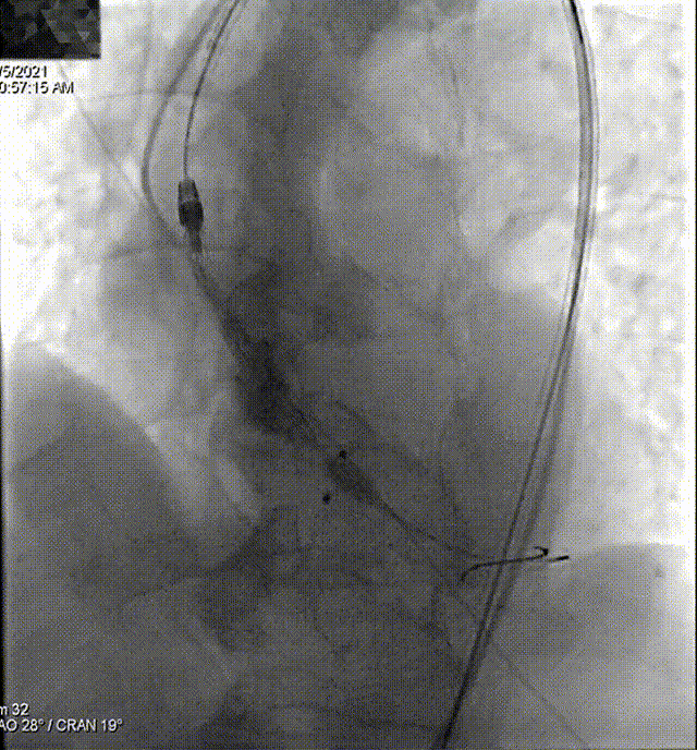
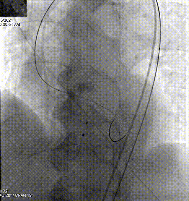
术中操作
主动脉根部造影
Lunderquist导丝垮瓣
快速起搏下球囊预扩
瓣膜过弓、跨瓣
冒烟确认到达预期位置
160次/min快速起搏下完成瓣膜释放,植入24 mm VitaFlow瓣膜
180次/min快速起搏下22 mm球囊行后扩处理
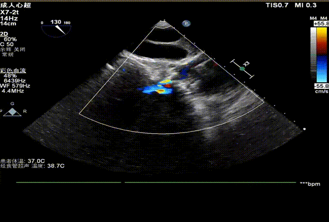
即刻超声评估示瓣周漏显著降低

最终释放效果
结语
在TAVR团队的通力合作下,经过紧张有序的操作,南京大学医学院附属鼓楼医院心内科取得了该例手术的圆满成功。
术后,患者跨瓣压差由术前的57mmHg降至术后1mmHg,仅少量瓣周漏。
南京大学医学院附属鼓楼医院团队在TAVR领域已积累了丰富的经验,对于每位患者的病历,团队在术前都会进行反复讨论,确保团队每位成员对患者病情及手术方案充分了解,从而在术中达到完美的配合,最终实现手术成功,为患者带来新生。
VitaFlow Liberty™是目前全球唯一一款商业化的电动可回收TAVI系统,其创新性的电动输送系统,在实现稳定精准释放回收的同时,也为术者提供了更好的操控体验;另外VitaFlow Liberty™是目前国内商业化输送系统中唯一可实现瓣膜段360度弯曲功能的输送系统。其较好的柔顺性可有效减少对血管损伤的风险。VitaFlow Liberty™继承了心通医疗第一代TAVR产品- VitaFlow®的混合密度支架结构,继续使用具有更好耐久性的牛心包做为瓣叶材料,且其合理的双层裙边设计能更大范围有效封堵瓣周漏。
专家简介

徐标
行政主任,主任医师、教授、博士生导师,FACC、FSCAI
江苏省医学重点人才、享受国家政府特殊津贴专家;中国医师协会整合心血管病学会副主任委员;中国医师协会心血管病分会精准医学分会副主任委员;江苏省医学会心血管病学分会主任委员;江苏省医师协会心血管内科医师分会候任会长;江苏省预防医学会心血管疾病预防与控制专业委员会主任委员;中华医学会心血管病学分会委员;中华医学会心血管学分会代谢学组副组长。
擅长心血管危重病、冠心病、高血压、心力衰竭等疾病的诊治,在江苏省率先开展冠心病介入诊断和治疗手术。在急诊PCI术、复杂冠脉介入诊疗、先天性心脏病介入治疗方面有丰富的经验,是国内知名冠心病介入专家。先后主持国家自然科学基金项目研究8项,省级科研项目20余项。发表论文300余篇,SCI收录150篇以上,其中两篇发表在《Circulation》杂志上,影响因子达29.69,还有二篇论文发表在《Ann Inter Med 》,影响因子25.391分,两篇发表在《BasicRes Cardio》,影响因子17.1分,研究成果被ESC、ACC、AHA等国际著名指南引用。先后获得 “江苏省科技创新团队”、中华医学科技三等奖、中国杰出心血管病研究奖、江苏医学科技一等奖、江苏省新技术引进一等奖、江苏省科技进步二等奖、江苏省科技进步三等奖、南京市科技进步二等奖等多个奖项。科室在研国家级项目10余项,江苏省重大项目4项,各类省、市级课题20余项。

