「重度钙化融合挤压导致释放不稳」、「瓣叶冗长冠脉阻挡风险高」,两例高难度TAVR展现精湛操作!2021年9月29日,空军军医大学唐都医院李妍主任团队成功应用新一代可回收主动脉瓣系统TaurusElite®完成两例主动脉瓣狭窄高难度复杂病例。
这两位患者均为年近70的老年患者,其中一例为主动脉瓣叶重度钙化融合、一例为功能型二叶瓣+左冠高阻挡风险病例,在辗转多家医院求诊后,为寻求微创治疗慕名来到唐都医院。李妍主任带领手术团队充分讨论,术前精准评估,制定手术策略经。手术过程中,李妍主任团队紧密配合,充分利用TaurusElite®多次回收功能精准调整定位,力求瓣膜最佳位置“完美”释放,左冠风险患者同时配合“烟囱支架”策略,最终两例患者瓣膜位置及工作状态均良好,血流动力学有效改善,冠脉“烟囱支架”血流稳定,手术取得圆满成功。
据介绍,瓣膜植入后患者血流动学显著改善,极微量瓣周漏,手术效果理想,为患者带来良好的临床效果和生存期获益。此次两例高难度手术的成功开展,代表了唐都医院李妍主任团队独立开展TAVR以来技术的又一次新的迈进!
CASE 1
患者基本情况
患者69岁男性,超声提示“主动脉瓣重度狭窄伴轻-中度关闭不全”,LADD 45mm,LVEDD 55mm,LVESD 37mm,LVEF 61%,Vmax 5.37m/s,PGmax 108mmHg,Pgmean 62mmHg,AVA 0.97cm³。
术前CT评估
• Type 1型二叶式主动脉瓣,重度钙化,R-N钙化融合,L-N瓣叶粘连,瓣叶增厚,钙化主要分布于无冠窦瓣叶周围;
• 双侧冠脉开口高度可,未见冗长瓣叶;
• 瓦氏窦内径可,窦管交界、升主动脉内径可;
• 非横位心,主动脉弓部宽度及角度可;
• 双侧入路血管内径及走行适宜,未见明显迂曲、钙化。
CT动态预览
三窦式,瓣叶增厚,R-N钙化融合,L-N瓣叶粘连
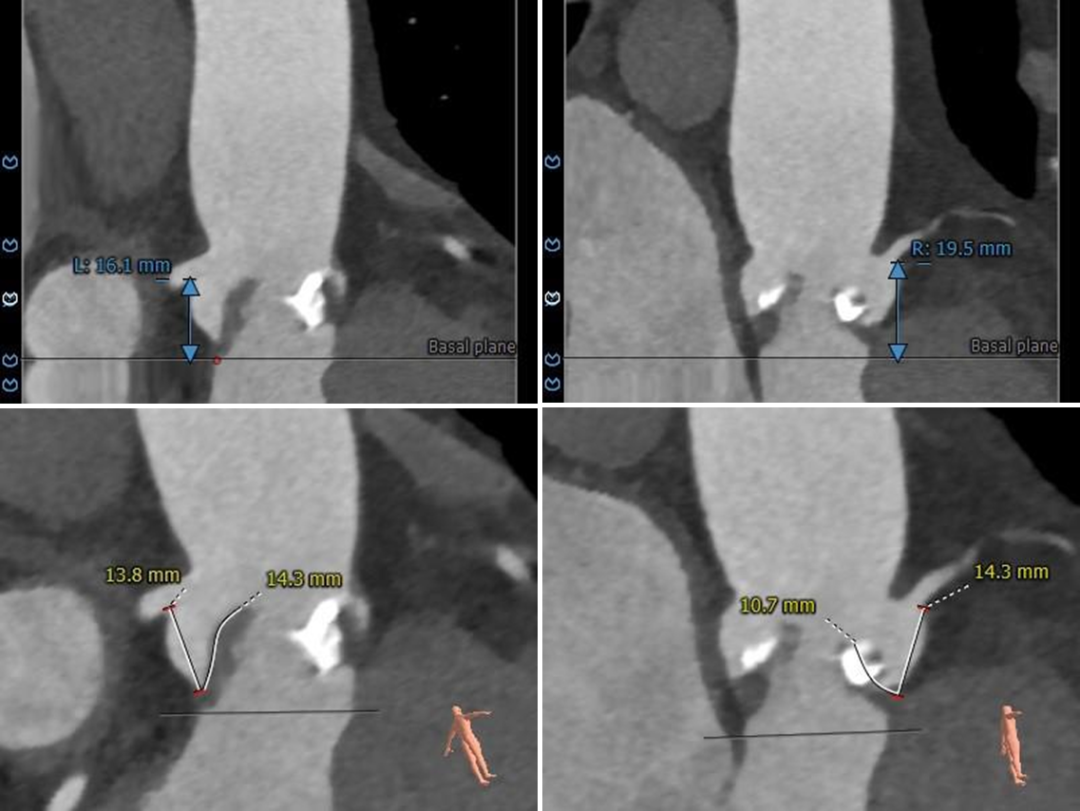
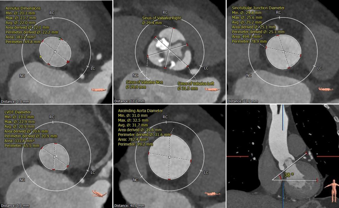
根部测量
瓣环平均径25.4mm,瓦氏窦、STJ、升主内径可,非横位心
冠脉测量
冠脉开口高度可,切线位测量未见冗长瓣叶
钙化分布
重度钙化,HU850 752mm³
弓部及入路
弓部宽度角度可,双侧股髂动脉内径及走行可
病例特点
该病例为三窦式,R-N间钙化融合,L-N瓣叶粘连,仅L-R间存在相对灵活的瓣叶开口,对释放和锚定提出挑战。
• Type 1型二叶瓣,R-N融合、L-N粘连,瓣叶增厚,重度钙化主要分布在NCC瓣叶周围,锚定难度适中,假体植入过程及植入后支架易受融合测瓣叶及钙化挤压形变,存在瓣周漏及瓣膜移位风险;
• 冠脉开口高度可,无冗长瓣叶,阻挡风险低;
• 非横位心,主动脉弓部夹角与弓距可,预计输送器可顺利过弓、跨瓣;
• 双侧股髂动脉走行及内径适宜,未见明显迂曲及狭窄。
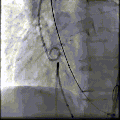
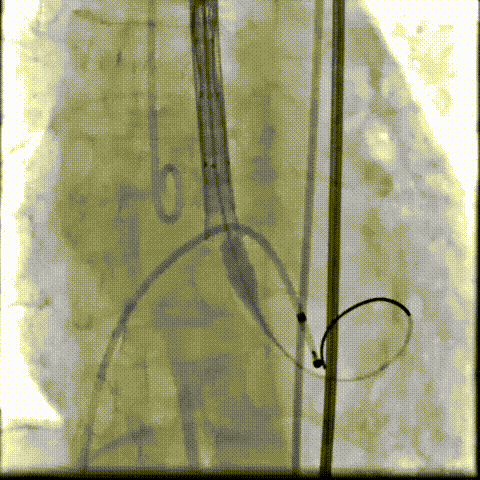
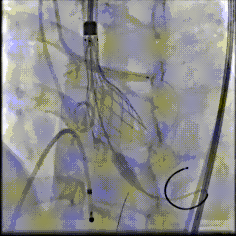
术中影像
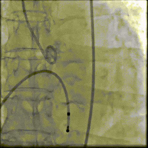
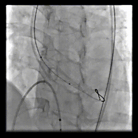
根部造影可见返流,23mm球囊预扩张
无窦侧严重钙化及融合影响,
瓣膜(AV29)释放不稳出现反复上跳,2次回收尝试
重新定位释放,
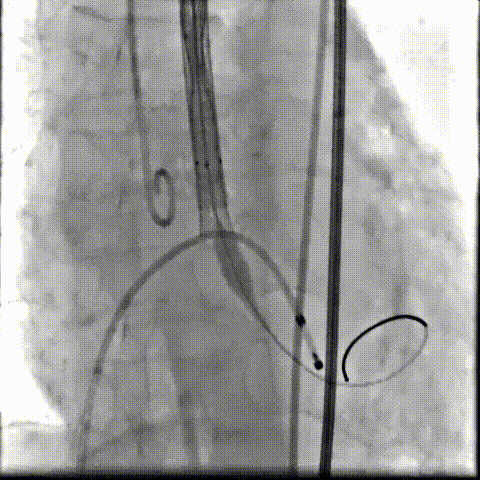
钙化及融合挤压导致瓣膜(AV29)下滑位置偏深

第三次回收重新定位

工作位造影位置良好,完全脱钩释放瓣膜(AV29)
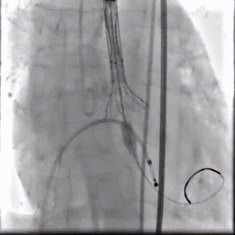
考虑支架腰部挤压,23mm球囊充分后扩后形态良好,
极微量瓣周漏
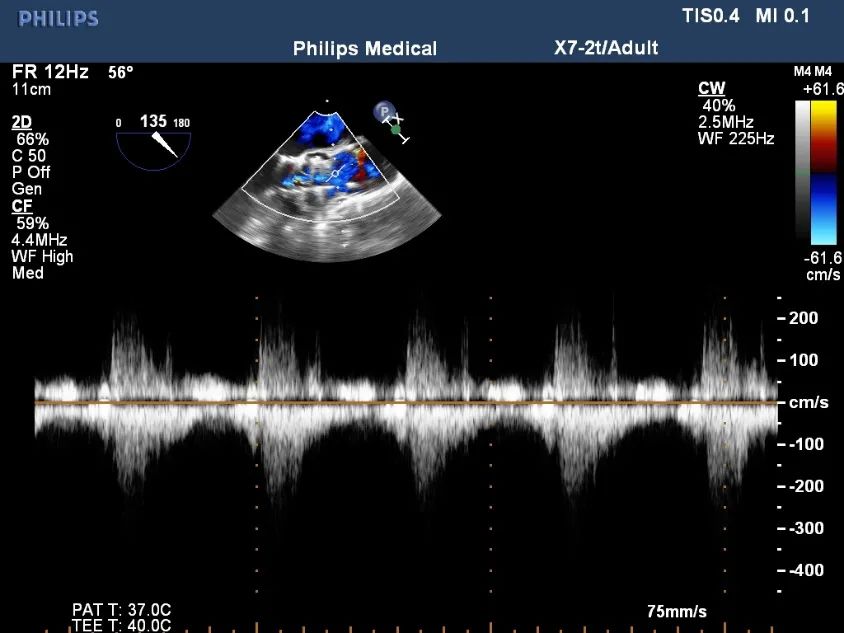
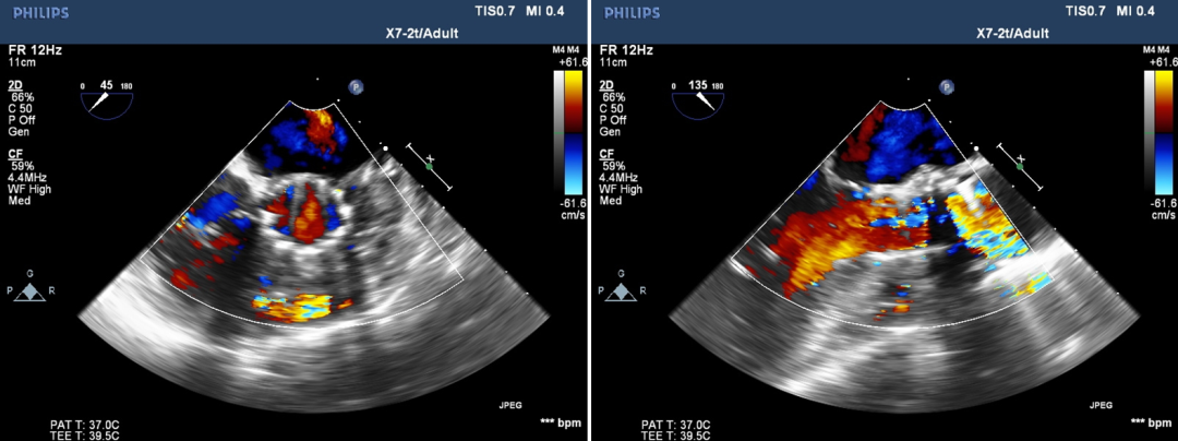
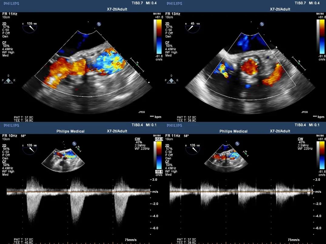
超声影像
瓣膜工作状态良好,极微量瓣周漏
Vmax 1.75m/s,PG 14mmHg
CASE 2
患者基本情况
患者69岁女性,超声提示“主动脉瓣中-重度狭窄伴中度关闭不全”,LADD 45mm,LVEDD 49mm,LVESD 33mm,LVEF 61%,Vmax 3.95m/s,PGmax 62mmHg,Pgmean 32mmHg,AVA 1.1cm³。
术前CT评估
• 三窦式,R-N间团状钙化融合,考虑功能性二叶瓣,左冠窦、无冠窦瓣叶边缘少量零星钙化,瓣叶增厚
• 双侧冠脉开口高度可,切线位测量左窦瓣叶长度大于左冠开口到瓣叶根部距离;
• 瓦氏窦内径可,窦管交界、升主动脉内径适中;
• 左室收缩期内径偏小(25.7×26.4 mm);
• 非横位心,主动脉弓部宽度及角度可;
• 双侧入路血管内径及走行适宜,未见明显迂曲、钙化及狭窄。
CT动态预览
三窦式,瓣叶增厚,R-N团块状钙化融合
根部测量
瓣环平均径22.2mm,瓦氏窦、STJ、升主内径略小,非横位心
冠脉测量
冠脉开口高度可,切线角度测量,
左窦瓣叶长于LCA开口到瓣叶根部距离
连续时相观察左窦瓣叶动度灵活,
收缩期瓣叶接近左冠开口高度;
3D打印模型22mm球囊扩张测试,左窦冗余空间小
钙化分布
钙化主要分布于R-N之间,HU850 343mm³
弓部及入路
弓部宽度角度可,双侧股髂动脉内径及走行可
病例特点
功能性二叶瓣,R-N间团块状钙化融合,CT测量及3D模型体外球扩测试提示左冠阻挡风险高,术中需结合预扩表现可积极采取冠脉保护,必要时采取“烟囱支架”策略。
• 功能性二叶瓣,R-N之间团块状钙化融合,瓣叶增厚,团块钙化挤压支架,存在瓣周漏及瓣膜移位风险;
• 左窦瓣叶略长,动度灵活,存在左冠阻挡风险;
• 收缩期左室偏小,术中密切关注容量及循环情况;
• 非横位心,主动脉弓部夹角与弓距可,预计输送器可顺利过弓、跨瓣;
• 双侧股髂动脉走行及内径适宜,未见明显迂曲及狭窄。
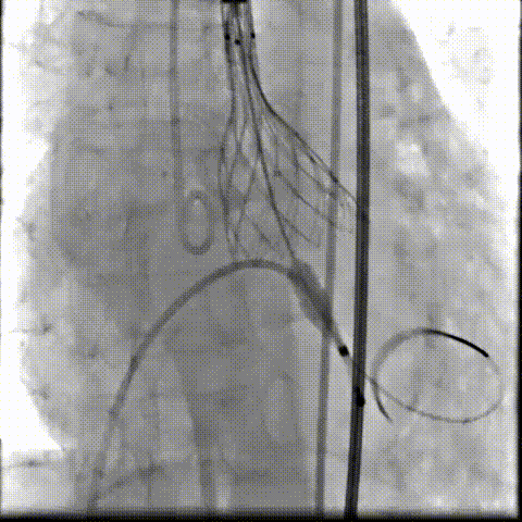
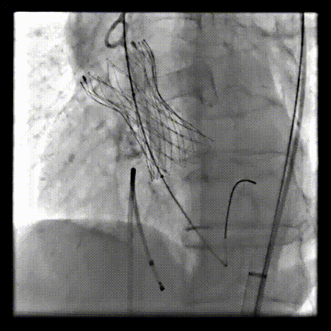
术中影像
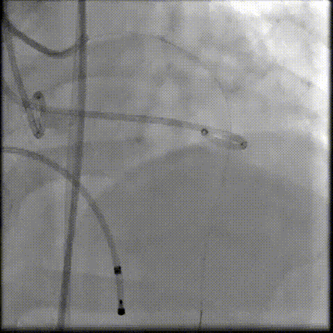
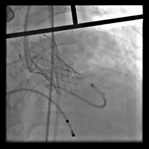
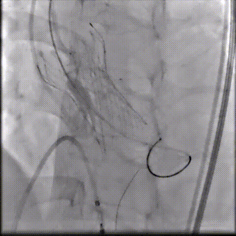
根部造影可见返流;20mm球囊预扩,LCA灌注缝隙狭小
预置LCA保护;第一次释放,
团状钙化挤压导致瓣膜(AV23)少量下滑
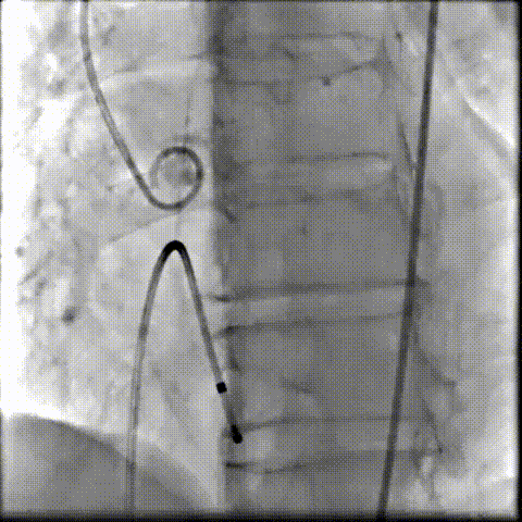
回收后重新定位,第二次释放,
瓣膜(AV23)深度仍未达到最佳预期
完全回收,第三次定位释放,瓣膜(AV23)位置良好
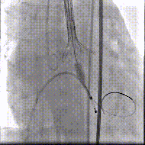
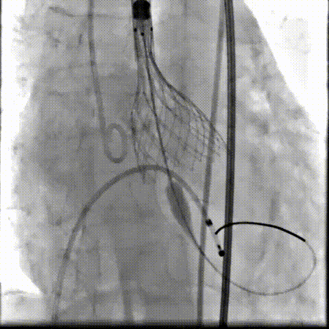
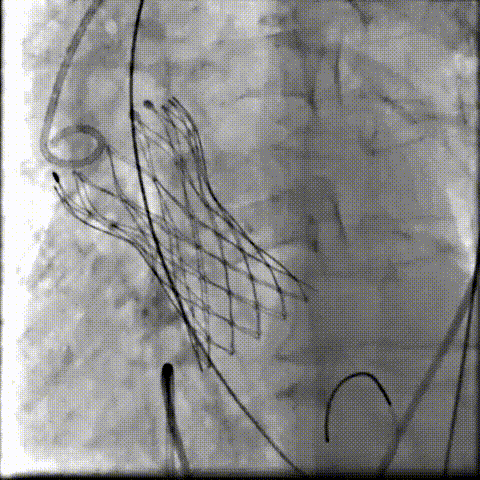
瓣膜工作位释放“烟囱支架”;
瓣膜(AV23)完全释放后,“烟囱支架”后扩
最终造影,“烟囱支架”显影清晰,瓣膜形态及LCA灌注良好
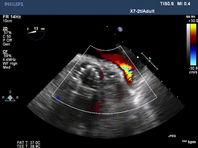
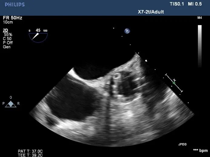
超声影像
TEE影像,烟囱支架显影清晰,支架内血流通畅
专家简介

心血管内科主任,教授、主任医师、博士生导师。担任美国心脏学会专家委员(FACC),美国心血管造影及介入学会专家委员(FSCAI)全军心血管分会常委,国家卫健委介入培训导师,中国医师协会心血管分会委员。
专业特长为老年瓣膜病不开胸介入治疗(TAVR);房颤左心耳封堵治疗;复杂危重冠心病介入治疗。擅长IVUS/OCT/FFR等影像学及3D打印辅助精准评估手段,实现精准优化治疗。
主持国家自然科学基金面上课题5项、军队及省级课题7项,“十三五“国家支撑计划子课题1项。
主编参编著作11部,临床顾问1部。获空军高层次科技人才资助。发表SCI 及核心期刊论文90余篇,最高影响因子23.063。
荣获中华医学会医学科学技术奖、军队医疗成果等奖项。荣立个人三等功1次,获得中华医学会青年菁英奖,陕西省青年科技奖及陕西省三八红旗手称号。

空军军医大学唐都医院心血管内科副主任医师,担任西安结构青年委员会常委、陕西医促会国际胸痛委员会委员。
专业擅长复杂危重冠心病介入治疗,老年瓣膜病的经皮主动脉瓣置换术(TAVR),房颤射频消融及左心耳封堵术。
主持陕西省基金1项,军队及省部级课题2项。发表SCI及核心期刊论文10余篇。