2021年09月27日,北京安贞医院心脏瓣膜病介入中心宋光远团队成功使用VitaFlow Liberty™可回收电动输送系统完成一例重度纯反流主动脉瓣置换。在医院多学科的共同协助配合下,瓣膜稳定释放,手术顺利完成,标志着北京安贞医院在主动脉瓣膜介入治疗方面已全面进入电动可回收瓣膜置换的新时代。
病史简介
患者
男,75岁。
主诉
今年6月出现喘憋、胸闷伴双下肢浮肿症状,曾于当地医院住院治疗半月喘憋好转后出院,1日前再次出现夜间喘憋并症状加重。
既往史
有高血压病史10年,收缩压最高达190mmHg,有脑血管疾病史陈旧性脑梗3年。
术前检查
心脏彩超
舒张期主动脉瓣下见大量反流信号
缩流颈8mm
左室射血分数EF值: 40%
左室舒张末期内径(LVD):66 cm
主动脉瓣评估:左心增大,左心功能减低,二尖瓣反流(重度)、三尖瓣反流(轻度),肺动脉高压(轻度)并少许心包积液
主动脉CT
髂总动脉较迂曲
手术治疗策略
术前讨论
患者老年男性,结合病史及辅助检查,“主动脉瓣重度反流”诊断明确。
根据患者病史及辅助检查,考虑患者存在以下TAVR的适应症:
1、老年重度主动脉瓣反流
2、患者有心衰症状,超声心动图EF40%
3、左室收缩末内径52mm
4、解剖上适合TAVR
5、纠正AS后的预期寿命超过1年
6、外科手术极高危,或中、高危风险且年龄≥70岁
主动脉根部分析:三叶瓣,纯反流无钙化,窦部空间可,冠脉开口高,瓣环水平夹角60度,呈横位心。
入路分析:患者双侧入路可,无钙化,但入路较迂曲。
根据CT测量分析选择植入30mm瓣膜。
手术策略
右股动脉入路、植入30型号瓣膜,
监护麻醉,经右侧股动脉行极简式TAVR,临时起搏器起搏,植入VitaFlow30瓣膜
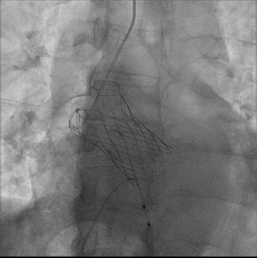
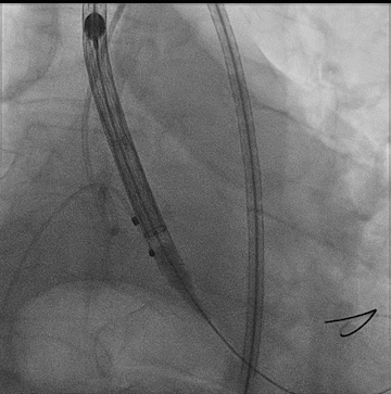
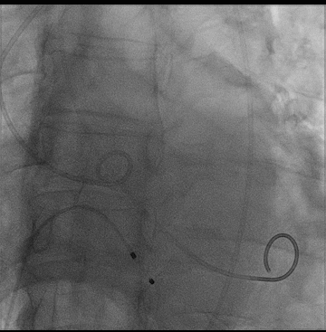
手术过程
主动脉根部造影
瓣膜定位
瓣膜完全释放形态良好,无瓣周漏
结 语
此次首都医科大学附属安贞医院心脏瓣膜病介入中心完成了首例可回收电动输送系统的经股动脉介入主动脉瓣置换术。术中经过1个小时紧张有序的操作,手术取得圆满成功,患者苏醒后顺利转入病房。
此次安贞医院成功完成VitaFlow Liberty™ II代电动可回收瓣膜成功治疗重度主动脉瓣反流患者,标志着这项国际领先的尖端技术已经全面进入可回收时代,也为更多的患者带来更具安全性、有效性的医疗新技术福音。
VitaFlow Liberty™是目前全球唯一一款商业化的电动可回收TAVI系统,其创新性的电动输送系统,在实现稳定精准释放回收的同时,也为术者提供了更好的操控体验;另外VitaFlow Liberty™是目前国内商业化输送系统中唯一可实现瓣膜段360度弯曲功能的输送系统。其较好的柔顺性可有效减少对血管损伤的风险。VitaFlow Liberty™继承了心通医疗第一代TAVI 产品- VitaFlow®的混合密度支架结构,继续使用具有更好耐久性的牛心包做为瓣叶材料,且其合理的双层裙边设计能更大范围有效封堵瓣周漏。
专家简介

宋光远
首都医科大学附属北京安贞医院
教授,博士生导师,心脏瓣膜病介入中心主任。
专业擅长:主动脉瓣狭窄、二三尖瓣关闭不全等心脏瓣膜病的介入治疗,左心耳封堵术,复杂冠心病的介入治疗。
主要进行退行性瓣膜病介入治疗、复杂冠心病介入治疗,糖尿病合并冠心病诊疗、冠心病介入治疗术后微循环功能评价等系列研究,2015.2-2016.7 美国Cedars Sinai Medical Center博士后学习,累计完成TAVR手术超过1000例,其中TAVR+PCI一站式治疗100余例,累计完成LAAC超过200例,其中LAAO+PCI一站式治疗50余例,主持结构性心脏病影像核心实验室,目前完成CT分析2000余例,包括TAVR和LAAC,为全国提供临床和科研支持,带教省级医院横跨30余省市60余家,主持国家自然青年基金、教育部博士点基金、协和青年基金等多项课题,研究成果在ESC、CHC和CIT等大会报告,发表论文20余篇,共计他引110余次,发表文章质量高:63.2%的文章均发表在《我国高质量科技期刊分级目录》收录的期刊中; 21%的文章位于T1区(国际一流期刊),31.6%的文章于T2区(国际知名期刊),参与编写、翻译多部书籍,主译《心脏导管手册》,《结构性心脏病介入治疗》,《结构性心脏病集萃2020》。