2021年9月29日,阜外华中心血管病医院儿童心脏外科范太兵教授团队正式启动佰仁医疗Salus介入肺动脉瓣临床试验入组,并于当天成功首次完成1例经胸微小切口肺动脉带瓣支架植入,该方法微创、美容,恢复快,创伤小。本研究由首都医科大学附属北京安贞医院牵头,联合多家知名心脏中心参与,是国内首个经胸介入肺动脉瓣临床试验,具有重大意义。
病例
患者女性,21岁,19年前行法洛四联症矫治术,发现肺动脉重度关闭不全2年。术前影像学重建显示提示患者肺动脉最窄截面呈椭圆形,腰部径宽18-24mm。手术经胸小切口入路,术中通过经食道超声,球囊测量、科学评估肺动脉干后,考虑植入30# Salus介入肺动脉瓣。在TEE引导以及DSA造影下,经右室流出道穿刺植入瓣膜,术后TEE提示肺动脉介入瓣植入位置理想、固定良好,无瓣周漏及中央返流。
CT重建肺动脉
肺动脉最狭窄处
球囊评估
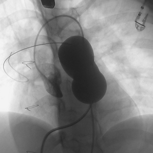
瓣膜植入后
手术切口仅3cm
阜外华中心血管病医院范太兵教授表示:
先天性心脏病是我国主要的先天畸形,在全国多地均位居新生儿出生缺陷的首位,造成了巨大的社会负担。其中很大一部分患儿需要重建与修复右室流出道与肺动脉瓣,这些患儿长大后将面临再次治疗,往往一生需要多次手术。先天解剖结构的异常与初次手术后发生的粘连将进一步加重再次手术的难度和风险,介入肺动脉瓣可以有效避免传统开胸手术及建立体外循环给患者带来的创伤,降低手术难度,缩短手术时间,将成为众多经历过右室流出道重建患者后续治疗的福音,而目前国内还没有一款正式获批上市的介入肺动脉瓣产品。
佰仁医疗研发生产的这款介入肺动脉瓣采用经胸入路设计,属于业内首创,可以通过微创切口经右室流出道穿刺直接植入瓣膜,操作简单,定位精准,容易掌握。除此之外,国内经历过右室流出道重建的患者由于此前多使用跨瓣环补片,需要后续治疗时往往主肺动脉形态极不规则,而且质地较硬,无法提供瓣膜有效锚定部位,或在瓣膜植入后容易产生瓣周漏,因此很大一部分并不适合经股途径植入。该产品通过微创经胸方式植入,在需要时可同时行主肺动脉塑形或环缩,为介入肺动脉瓣提供牢固锚定部位,并有效减少瓣周漏,提高治疗效果。瓣膜定位与释放可通过DSA或超声(TEE)引导,有效降低辐射剂量。同时,由于初次手术时往往经股插管建立体外循环,部分患者股静脉狭窄,血管条件不佳,通过经胸入路也可避免再次经股静脉入路带来血管损伤和操作困难。希望该临床试验能早日顺利完成,相信一定可以使更多患者受益
创新无止境
佰仁医疗与安贞医院苏俊武教授团队历时多年合作研发的Salus介入肺动脉瓣及输送系统,作为国家重点研发计划重点专项,于2020年7月获科技部批准立项(项目编号2020YFC1107900)。该产品采用自膨式支架设计,瓣叶采用牛心包为材料,以本企业成熟的外科牛心包瓣的制作工艺与处理技术加工而成,实现有效抗钙化,并具备出色的血流,全方位提高瓣膜的耐久性,是国内首个进入临床试验的经胸介入肺动脉瓣创新器械。该产品主要适用于此前曾手术重建或修复右室流出道、已具有经导管介入肺动脉瓣锚定部位的复杂先心患者的接续治疗。目前已启动由首都医科大学附属北京安贞医院苏俊武教授团队牵头,联合国内多家知名心脏中心的正式临床试验。该临床试验正面向社会招募患者,为更多类似需要救治的危重患者提供救治机会。
关于佰仁医疗
佰仁医疗是国内动物源性植介入材料与人工心脏瓣膜研发与生产的高新技术企业。公司于2019年正式登陆上交所科创板(股票代码:688198),成为国内人工心脏瓣膜领域首家上市企业。公司拥有动物源性材料的核心处理技术,其生产的外科牛心包生物瓣膜是目前国产瓣膜中唯一被大组、长期临床实践证实的成熟产品,其长达14年大组随访结果出色,已发表在国际知名期刊上。公司在复杂先心病右室流出道修复与重建领域已上市或在研的瓣膜产品包括肺动脉带瓣管道(独家)、流出道单瓣补片(独家)、无支架生物瓣带瓣管道(在研)、复杂先心带瓣补片(在研),及提供接续治疗的介入肺动脉瓣,为这类患者提供伴随一生的解决方案。公司研发的介入瓣膜类产品包括介入瓣中瓣、介入主动脉瓣、介入肺动脉瓣已启动正式临床试验。
专家简介

医学博士,博士生导师,阜外华中心血管病医院科研与学科建设部主任,河南省儿童心脏中心主任,河南省政府特殊津贴专家,国务院特殊津贴专家。中华医学会小儿外科分会心脏外科学组副组长,国家心血管疾病专家委员会先心病专委会常务委员,国家心血管病外科介入专业质控中心专家委员会专家,中国生物材料学会生物材料先进制造分会常务委员,河南省小儿先天性心脏病防治专业委员会主任委员,河南省先天性心脏病三级预防创新团队负责人,郑州市先天性心脏病三级防治重点实验室负责人,河南省医学会心脏大血管专业学会副主任委员,河南省医师协会心血管外科专业委员会副会长,河南省医师学会小儿外科分会副主任委员。郑州大学首届“十佳青年”,第九届郑州市“十大杰出青年”,获首届“白求恩式好医生”提名奖。近5年参加国家重点研发计划“重大慢性非传染性疾病防控研究”专项“先天性心脏病诊疗技术、疗效评价及康复的综合研究”项目;主持多项省部共建、省科技厅攻关、省卫生科技攻关项目;获2018省科学技术进步二等奖1项,2018省医学科学技术进步一等奖1项,获河南省人民医院新技术、新业务一等奖2项、二等奖2项,发明先心病腋下微创封堵术用探条与一种封堵多孔房间隔缺损的封堵器实用新型专利。第一作者或通讯作者共发表核心论文40余篇,编写专著5部。