2021年9月15日,广东省人民医院温树生教授团队正式启动佰仁医疗Salus介入肺动脉瓣临床试验入组,并成功完成3例经胸介入肺动脉瓣植入。该研究是国内首个经胸介入肺动脉瓣临床试验,由首都医科大学附属北京安贞医院牵头,联合国内多家知名心脏中心参与,具有重大意义。
病例1
患者男性,19岁,17年前行法洛四联症矫治术,3月前复查心脏超声提示重度肺动脉瓣反流。术前影像学重建提示患者主肺动脉腰部截面呈椭圆,径宽17-21mm,形态测算植入介入瓣后直径20mm。手术经胸入路,在DSA引导下,经右室流出道穿刺植入20号Salus介入肺动脉瓣,术后TEE提示肺动脉介入瓣植入位置理想、固定良好,介入肺动脉瓣无瓣中及瓣周反流。
CT重建肺动脉
主肺动脉腰部截面
病例2
患者男性,19岁,法洛氏四联症根治术后12年。超声提示肺动脉瓣重度反流、三尖瓣中度反流。术前行详细影像学重建与评估,主肺动脉腰部截面为不规则形,径宽22-30mm,形态测算植入介入瓣后直径26mm。术中肺动脉造影测量与术前评估一致。手术经胸入路,在TEE引导下,经右室流出道穿刺植入26号Salus介入肺动脉瓣,术后TEE提示肺动脉介入瓣植入位置理想、固定良好,无瓣周漏及中央反流。
CT重建肺动脉
主肺动脉腰部截面
病例3
患者女性,21岁,法洛氏四联症矫治术后14年,超声提示肺动脉瓣重度关闭不全伴大量反流,伴三尖瓣轻中度反流。术前行详细影像学重建与评估,主肺动脉腰部截面为类圆形,径宽23-25mm,测算植入介入瓣后直径24mm。术中肺动脉造影测量与术前评估一致。手术经胸入路,在DSA引导下,经右室流出道穿刺植入24号Salus介入肺动脉瓣,术后TEE提示肺动脉介入瓣植入位置理想、固定良好,轻度瓣周漏,无中央反流。
CT重建肺动脉
主肺动脉腰部截面

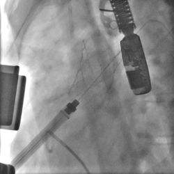
肺动脉瓣释放DSA
肺动脉瓣植入后DSA
广东省人民医院温树生教授表示:
先天性心脏病是我国主要的先天畸形,在全国多地均位居新生儿出生缺陷的首位,造成了巨大的社会负担。其中很大一部分患儿需要重建与修复右室流出道与肺动脉瓣,这些患儿长大后将面临再次治疗,往往一生需要多次手术。先天解剖结构的异常与初次手术后发生的粘连将进一步加重再次手术的难度和风险,介入肺动脉瓣可以有效避免传统开胸手术及建立体外循环给患者带来的创伤,降低手术难度,缩短手术时间,将成为众多经历过右室流出道重建患者后续治疗的福音,而目前国内还没有一款正式获批上市的介入肺动脉瓣产品。
佰仁医疗研发生产的这款介入肺动脉瓣采用经胸入路设计,属于业内首创,可以通过微创切口经右室流出道穿刺直接植入瓣膜,操作简单,定位精准,容易掌握。除此之外,国内经历过右室流出道重建的患者由于此前多使用跨瓣环补片,需要后续治疗时往往主肺动脉形态极不规则,而且质地较硬,无法提供瓣膜有效锚定部位,或在瓣膜植入后容易产生瓣周漏,因此很大一部分并不适合经股途径植入。该产品通过微创经胸方式植入,在需要时可同时行主肺动脉塑形或环缩,为介入肺动脉瓣提供牢固锚定部位,并有效减少瓣周漏,提高治疗效果。瓣膜定位与释放可通过DSA或超声(TEE)引导,有效降低辐射剂量。同时,由于初次手术时往往经股插管建立体外循环,部分患者股静脉狭窄,血管条件不佳,通过经胸入路也可避免再次经股静脉入路带来血管损伤和操作困难。希望该临床试验能早日顺利完成,相信一定可以使更多患者受益。
创新无止境
佰仁医疗历时多年研发的Salus介入肺动脉瓣及输送系统,作为国家重点研发计划重点专项,于2020年7月获科技部批准立项(项目编号2020YFC1107900)。该产品采用自膨式支架设计,瓣叶采用牛心包为材料,以本企业成熟的外科牛心包瓣的制作工艺与处理技术加工而成,实现有效抗钙化,并具备出色的血流,全方位提高瓣膜的耐久性,是国内首个进入临床试验的经胸介入肺动脉瓣创新器械。该产品主要适用于此前曾手术重建或修复右室流出道、已具有经导管介入肺动脉瓣锚定部位的复杂先心患者的接续治疗。目前已启动由首都医科大学附属北京安贞医院苏俊武教授团队牵头,联合国内多家知名心脏中心的正式临床试验。该临床试验正面向社会招募患者,为更多类似需要救治的危重患者提供救治机会。
关于佰仁医疗
佰仁医疗是国内动物源性植介入材料与人工心脏瓣膜研发与生产的高新技术企业。公司于2019年正式登陆上交所科创板(股票代码:688198),成为国内人工心脏瓣膜领域首家上市企业。公司拥有动物源性材料的核心处理技术,其生产的外科牛心包生物瓣膜是目前国产瓣膜中唯一被大组、长期临床实践证实的成熟产品,其长达14年大组随访结果出色,已发表在国际知名期刊上。公司在复杂先心病右室流出道修复与重建领域已上市或在研的瓣膜产品包括肺动脉带瓣管道(独家)、流出道单瓣补片(独家)、无支架生物瓣带瓣管道(在研)、复杂先心带瓣补片(在研),及提供接续治疗的介入肺动脉瓣,为这类患者提供伴随一生的解决方案。公司研发的介入瓣膜类产品包括介入瓣中瓣、介入主动脉瓣、介入肺动脉瓣已启动正式临床试验。
专家简介

医学博士、心外科小儿病区主任、广东省儿童心脏中心副主任、《胸心血管外科频道》责任编辑。现任中国医师协会心血管外科分会第一届青年委员会副主任委员、中国医师协会胸心血管外科分会介入治疗学组委员。从事心血管外科专业近20年,擅长大血管转位、主动脉弓离断、主动脉缩窄、完全性肺静脉移位引流、永存动脉干、肺动脉闭锁、单心室、法乐氏四联症等复杂性先天性心脏病的外科治疗。尤其在早产儿、新生儿、婴幼儿先天性心脏病手术治疗方面具有丰富经验和造诣。发表心脏外科专业学术论文10多篇。近三年在研主持一项广东省自然科学基金,重点参与国家“十一五”、“十二五”重点支撑计划的临床研究以及产前产后一体化治疗部分的研究工作。