三个小时的艰苦奋斗,只为了一场生命的奇迹!
2021年9月8日,在北京大学第三医院心内科和心外科、麻醉科、超声诊断科、CT影像科等多学科诊疗团队的共同协作下,唐熠达教授团队成功为一例主动脉瓣重度钙化狭窄合并二尖瓣狭窄、冠脉病变的88岁高龄、高危患者行一站式经导管主动脉瓣置换术(TAVR)+经皮二尖瓣球囊扩张成形术(PBMV)+冠状动脉介入治疗(PCI),并取得了令人满意的即刻手术效果。
本次手术是北京大学第三医院首例一站式TAVR+PBMV+PCI手术,不仅展示了唐熠达教授团队在处理复杂危重病例方面高超的技术水平和丰富的经验,同时也代表着北京大学第三医院心内科团队在结构性心脏病领域迈又进入了全新的阶段!
病史资料
患者为88岁男性,主诉7年前出现活动后呼吸困难,于当地医院确诊为风湿性心脏病、二尖瓣狭窄伴关闭不全,主动脉狭窄伴关闭不全,由于部分原因未规律就诊,8月前上述情况加重,为求进一步治疗来院就诊,心脏超声提示二尖瓣中重度狭窄、主动脉瓣中度狭窄。
术前评估
冠状动脉CT检查:右髂动脉支架术后闭塞。
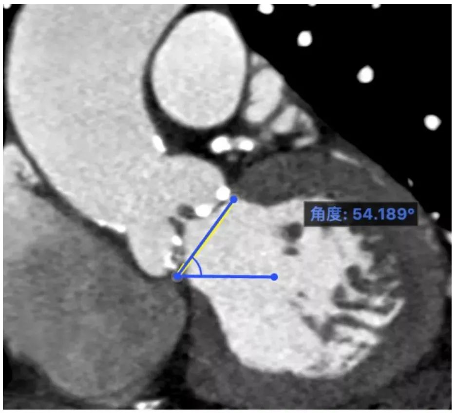
主动脉瓣环:平均直径24.6 mm、周长75.6 mm
左室流出道:最大直径25.5 mm、周长80.3 mm
左、右冠脉高度:分别为17.2 mm、15.1 mm,且双侧冠脉开口均有钙化
窦管交界处:平均直径29.7 mm、周长93.3 mm
瓣环成角:54°
双侧股动脉入路:均在7 mm以上
总钙化量:968 mm²
手术策略
本例患者为三叶瓣重度钙化,同时合并冠脉疾病与二尖瓣狭窄。患者冠脉开口高度可,瓣环成角54°呈轻度横位心,腹主动脉段有附壁血栓,需缓慢输送大鞘,其他未见明显异常情况。经北医三院心内科唐熠达教授团队与多学科团队讨论后,决定同期行TAVR+PBMV+PCI手术,先处理冠脉病变再处理二尖瓣狭窄,最后处理主动脉瓣钙化。
根据影像学检查结果,最终决定采用右股动脉为主入路,选择22 mm预扩球囊及植入VitaFlow TAV27 mm生物瓣膜。
手术流程
冠状动脉造影+PCI介入治疗:
造影提示左主干严重钙化病变
支架成功释放
支架释放后冠脉造影
患者全麻成功后,先经右股动脉置入6 F动脉鞘管并送入JL 4.0、JR 4.0造影导管行冠状动脉造影。结果显示左主干全程弥漫钙化病变,开口钙化狭窄80%;左前降支近中段全程弥漫钙化病变,最重狭窄70%,D1开口狭窄60%;左回旋支开口狭窄80%,近段弥漫钙化病变,最重狭窄70%;右冠状动脉中段原支架开放良好,支架入口前狭窄30%,远段狭窄70%。
经讨论,决定对LM行PCI治疗,先送入切割球囊至LM开口病变处行预扩张,后送入支架释放,即刻造影结果显示无残余狭窄及夹层,且前向血流TIMI Ⅲ级。
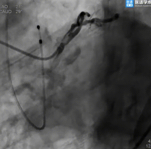
经股静脉二尖瓣球囊扩张成形术:

二尖瓣球囊扩张
PCI术后继续行经股静脉二尖瓣球囊扩张成形术,经右股静脉送入鞘管及导丝穿刺房间隔后,通过导引鞘导入二尖瓣球囊扩张系统,经食道超声确定后,使用21 mm二尖瓣球囊于二尖瓣处进行扩张,术后即刻超声提示跨二尖瓣平均压差4 mmHg,二尖瓣轻度反流。
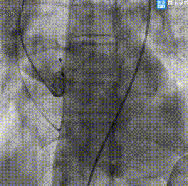
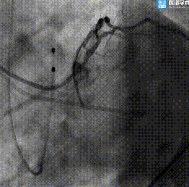
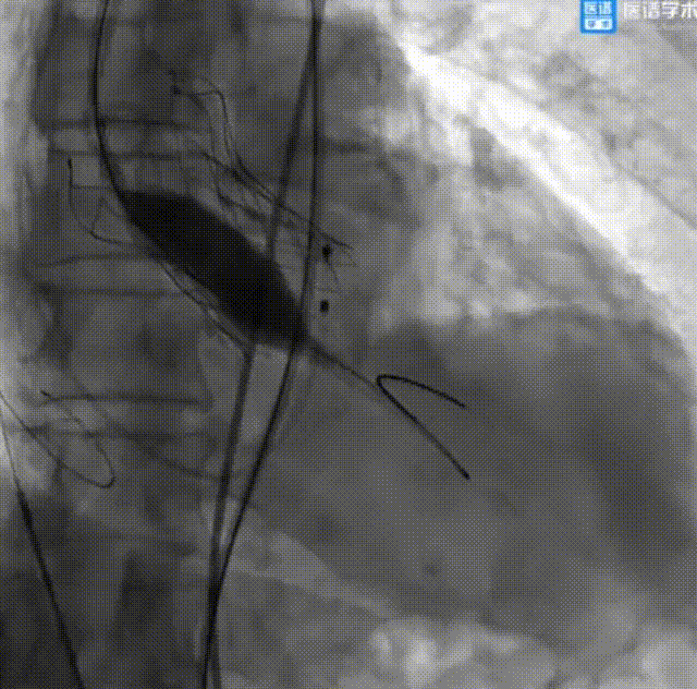
经股动脉主动脉瓣置换术:
主动脉瓣造影,提示有明显反流

导丝成功跨瓣

VitaFlow生物瓣膜成功释放
VitaFlow生物瓣膜植入后即刻造影
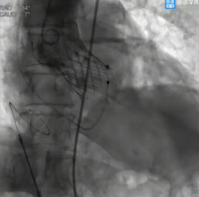
球囊后扩
球囊后扩后造影
成功回撤二尖瓣球囊系统和导引鞘后,继续行经股动脉主动脉瓣置换术。术中顺利送入导丝建立入路,导丝成功跨瓣后送入22 mm球囊至主动脉瓣预扩张,后送入TAV27 mm瓣膜至主动脉瓣处。在180 bpm快速起搏的同时释放瓣膜,即刻造影显示中度瓣周漏,遂又送入25 mm球囊至主动脉生物瓣膜处行后扩张,瓣周漏较先前明显减少。术后超声显示平均主动脉跨瓣压差为3 mmHg。
总结
本次手术复杂性极高、全程历经3小时,术中选择优先处理冠脉再行二尖瓣球囊扩张成形术和经导管主动脉瓣置换术,最终取得良好预后效果,顺利为患者解决冠脉病变、二尖瓣以及主动脉瓣狭窄问题。术后明显改善了患者的心功能,使其生活质量也得以提高。此次手术的顺利进行与术者的精湛技术和经验,以及术前的精确评估分析、器械的正确选择密不可分。
专家简介

心内科主任,血管医学研究所常务副所长,北大医学部分子心血管学教育部重点实验室副主任。曾为北京协和医学院心内科博士生导师及生物医学工程博士生导师,享受国务院政府特殊津贴,国家杰出青年科学基金获得者,教育部长江学者特聘教授,国家百千万人才工程“有突出贡献中青年专家”,首都科技领军人才。学术团体兼职主要包括中华医学会心血管病分会代谢性心血管疾病学组组长、北京精准医学学会理事长、美国心脏病学院Fellow、欧洲心脏病学院Fellow、美国心血管造影和介入学院Fellow等。曾获2016年度首都十大杰出青年医师、2018年杰出心血管病研究奖。
作为项目负责人先后牵头“十二五”、“十三五”国家科技支撑计划、973项目子课题、国家杰出青年科学基金及多项大规模多中心临床试验。目前共发表文章100余篇,其中包括在Circulation, Hepatology, JACC等国际著名杂志上共发表SCI论文60余篇,主编参编专著10余部。现有发明专利三十余项。

医学博士,北京大学第三医院心血管内科副主任医师,中华医学会心血管病学分会临床研究学组委员,中国医师协会心血管内科医师分会国际交流学组委员。专业特长:冠心病及介入治疗,高血压病、高脂血症、心脏瓣膜病、心力衰竭等心血管常见疾病的诊治。参与编写《急性ST段抬高型心肌梗死诊断和治疗指南(2019修订版)》、《家族性高胆固醇血症筛查与诊治中国专家共识》、《中国骨髓腔内输液通路临床应用的专家共识》,参与编译多部专著,参与国家(十三五)重大慢性非传染性疾病防控研究专项子课题“冠状动脉支架内血栓防治关键技术研究”、首都特色基金“北京地区心脏骤停患者复苏骨髓腔输液应用现状调查及骨髓腔输液标准流程的开发和应用”等,担任中国介入心脏病学杂志、EHJ介入治疗期刊青年编委,CCI杂志中文版编委。已在国内外期刊发表论文二十余篇。

于北京大学获医学博士学位,曾于美国斯坦福大学医院进修。职业专长为心血管常见疾病及冠心病介入治疗、冠状动脉功能学评价。主持了多项临床技术的开展。负责国家自然科学基金(青年基金)及多项临床研究工作,发表多篇中英文学术论文。现任中华医学会心血管分会信息化学组委员、中国医疗保健国际交流促进会精准心血管病分会青年委员、北京大学医学部心血管学习联络人。

副主任医师。长期从事心内科临床工作,主要专业方向为冠心病介入诊疗;同时,对高血压、高脂血症、心力衰竭、心律失常和冠心病的药物治疗也具有丰富的临床经验。主要研究方向为血管内皮功能及冠状动脉微循环功能异常的机制及诊疗。担任北京医学会心血管病学分会第九届委员会女性心血管病学组委员、中华医学会《中华临床医师杂志》审稿专家。
