2021年9月14日,无锡明慈心血管病医院杨光院长团队成功应用TaurusElite®经导管主动脉瓣系统,为一例高龄二叶式主动脉瓣重度狭窄患者带来新生。
患者基本信息
患者为81岁高龄男性,因反复胸闷气喘近3年,再加重10天入院,既往有高血压病史20余年,心脏彩超显示主动脉瓣瓣叶明显增厚伴钙化,最大峰值流速4.3m/s,最大跨瓣压差75mmHg,平均跨瓣压差40mmHg,主动脉瓣舒张期可见轻度反流,提示主动脉瓣重度狭窄伴轻度关闭不全。
术前评估
• 术前CT显示为Type 1型二叶式主动脉瓣,瓣叶严重增厚,左右冠窦瓣叶融合并形成纤维嵴。中度钙化,钙化分布不均匀,最严重处为无冠窦瓣叶处。
• 左右冠开口高度可,左右冠瓣叶长度<左右冠开口到左冠瓣叶附着缘距离。
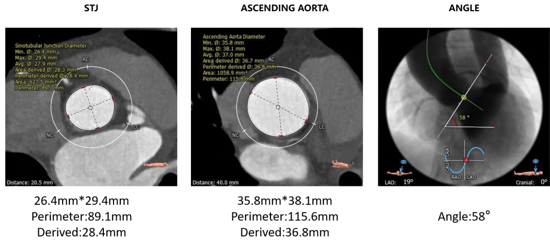
• 瓣环水平夹角为58°,右侧髂总动脉条状钙化,入路血管管径良好。
主动脉根部测量
冠脉高度、瓣叶长度及钙化测量
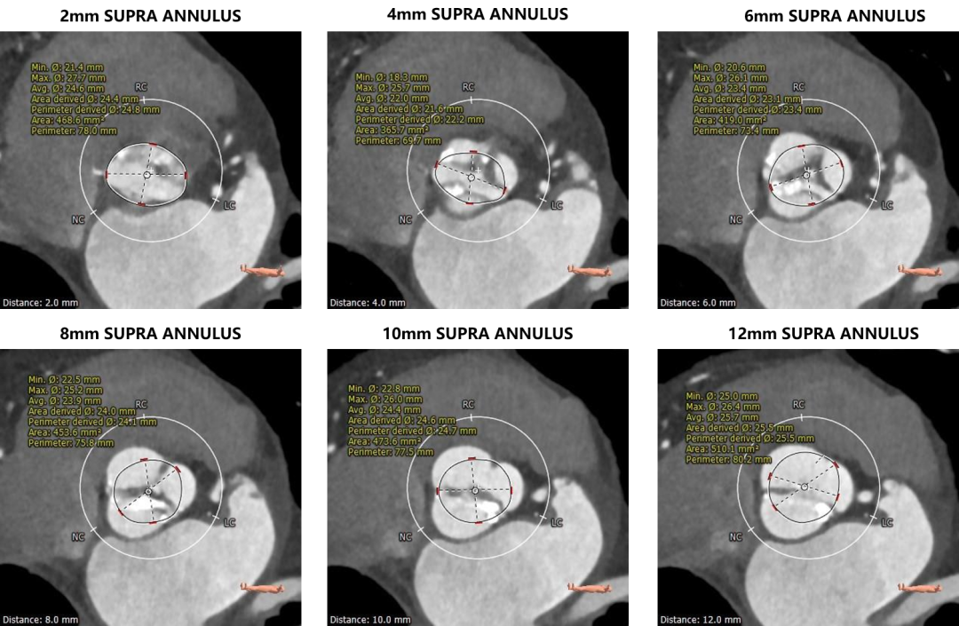
瓣环上测量
外周血管及主动脉弓解剖
评估与讨论
无锡明慈心血管病医院杨光院长团队在手术前对患者进行整体评估讨论,并在手术前进行手术模拟。本例手术最大的难点在于Type 1型二叶式主动脉瓣,钙化严重且分布不均且严重纤维增厚,不对称的解剖形态给瓣膜尺寸选择和释放带来了一定的挑战,钙化分布欠均匀及Type 1型二叶瓣椭圆的开口容易造成瓣膜贴壁不充分从而产生一定的瓣周漏风险,所以术中对于瓣膜的控制和及时调整显得非常重要。
手术策略:右侧股动脉为主入路,左侧辅助入路。选用20mm球囊行预扩张,预扩角度为左冠切线位(LAO 28° CRA 1°)。预装AV26瓣膜,由于左右重合体位太大,瓣膜释放体位采用无冠窦最低法,调整至(LAO 4° CAU 27°),释放深度控制在2-4mm。
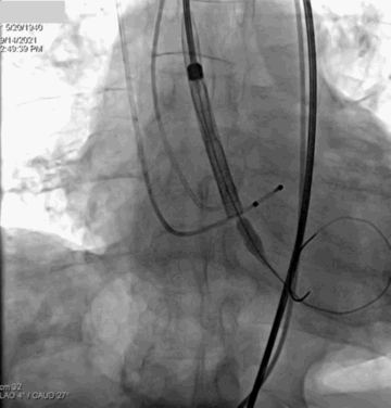
手术过程

主动脉根部造影

20mm球囊预扩

输送器过弓

瓣膜系统跨瓣
瓣膜释放
瓣膜精准定位

瓣膜流畅释放至功能位

瓣膜完全释放
右足位造影
术后评估
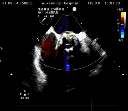
超声短轴
超声长轴
瓣膜植入后,压差从术前70mmHg降至10mmHg以下,瓣膜形态良好,手术圆满成功。
手术团队点评
专家简介

心脏外科主任,主任医师、医学博士、江南大学客座教授、曾任第四军医大学西京医院心外科教授。
从业二十余年,擅长各类复杂危重心脏和大血管外科手术,技术全面精湛,主刀完成心脏手术超万例。擅长多瓣膜微创切口手术、主动脉夹层动脉瘤急诊外科手术、多种先心病微创切口手术、冠状动脉搭桥常规及微创切口手术。其中先心手术80%采用微创小切口、风湿性心脏病中以多瓣膜微创小切口占比70%。这些危重疑难急症心脏外科手术的开展填补了无锡地区的空白。
在国内外杂志发表学术论文二十余篇,曾为德国柏林医师学会委员,《中国心脏杂志》常务编委,《中国心血管病研究杂志》编辑委员会委员。获陕西省科技进步一等奖一项,2015年被评为无锡市社会事业领军人才。