经典病例
病史资料
患者为66岁男性,今年8月出现反复胸闷、胸痛等症状,常规药物治疗无法缓解症状。9月初上述症状再次发作,在地方医院确诊为“主动脉瓣重度狭窄、陈旧性心肌梗死”,后转入中国人民解放军总医院心血管病医学部进行进一步治疗。入院后患者即出现夜间阵发性呼吸困难,端坐呼吸等左心衰竭症状,急诊TAVR手术势在必行。
术前检查
心脏彩超
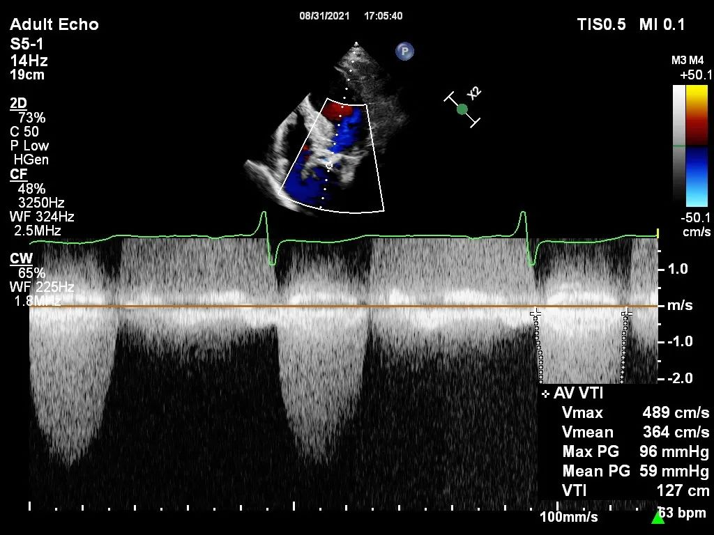
峰值流速:5.0m/s
峰值跨瓣压差:100mmHg
平均跨瓣压差:61mmHg
左室射血分数EF值:0.28
左室舒张末期内径(LVD):5.6cm
主动脉瓣评估:左心扩大,主动脉瓣狭窄重度伴轻度反流
主动脉CT
CT 测量评估
瓣环周长96.11mm
瓣膜严重钙化
钙化积分测量高达 3294.4
手术策略及操作
手术难点
1、主动脉瓣极重度钙化,钙化积分近 3300,手术本身有一定挑战;
2、患者既往有陈旧性前壁心肌梗死,左心室射血分数仅有28%,且突然出现急性左心衰,需要急诊TAVR治疗;
3、术前如果没有CT数据支持,对于瓣膜选择和入路的建立有很大的困难;但患者心衰严重,CTA可能加重心衰。
手术策略
1、患者立即行CTA;
2、CTA完成后患者直接入手术室植入ECMO,影像团队同时进行手术相关数据分析;
3、确定瓣膜型号,在保证安全的情况下,尽快的完成手术。
手术操作
本病例窦部情况尚可,冠脉风险较低, 瓣环周长96.1mm,选择植入27mm瓣膜。具体手术步骤如下:
1、全麻监护,ECMO辅助支持,经右侧股动脉行TAVR术;
2、快速起搏,选用20mm球囊扩张;
3、VitaFlow #27瓣膜植入;
4、左室180bpm起搏下预扩张主动脉瓣;
5、完全扩张后,主动脉根部造影微量反流;
6、回撤球囊停止临时起搏
瓣环周长96.11mm
右冠脉畅通
球囊预扩无冠脉阻塞
瓣膜完成定位
瓣膜释放中
瓣膜完成释放
球囊后扩调整形态
瓣膜形态,极微量周漏
工作人员紧张准备中
结语
由于患者病情突然恶化,在评估不够充分的情况下进行手术,陈韵岱主任团队的压力可想而知。TAVR手术强调团队合作,涉及多个学科的专业评估,从术前评估、术中治疗,到术后管理都离不开团队的紧密配合。
经过2个小时紧张有序的操作,手术取得圆满成功。术后即刻显示,瓣膜释放完毕后,患者的血流动力学状态明显好转,主动脉瓣前向血流速度降至1.6m/s,且瓣周漏近乎为零,达到了预期的治疗效果,患者苏醒后顺利从CCU转至普通病房。
通过克服多重困难,中国人民解放军总医院心血管病医学部此次TAVR手术取得圆满成功,是医院综合实力及多学科合作联动能力的集中体现,标志着中国人民解放军总医院心血管病医学部在治疗危重瓣膜疾病患者和主动脉瓣极重度钙化患者方面迈上了新的台阶,为全国更多患者带来了新的福音。
主任简介

主任医师、教授、博士生导师,心脏介入学和心血管影像学学术带头人。现任解放军总医院心血管病医学部主任、全军老年心血管病研究所所长。兼任中国医疗保健国际交流促进会心血管病学分会主任委员、全军心血管内科专业委员会主任委员、中国医师协会胸痛专业委员会副主任委员/心血管内科医师分会常务委员、中华医学会心血管病学分会委员,《Journal of Geriatric Cardiology》(SCI 收录)主编。
先后主持国家及省部级课题21项;牵头国内外多中心临床研究22项,获省部级二等奖以上科技成果6项,作为第一完成人获国家科技进步二等奖1项(2019年)、省部级成果一等奖2项、二等奖3项,授权国家发明专利12项,近5年以第一或通讯作者在JACC、JACC-Cardiovascular Imaging和 J Pineal Research等国际知名期刊发表论文143篇,IF最高20.59,主编专著5部。近5年牵头并发布心血管病行业指南或专家共识5项。

心血管病医学部结构性心脏病科主任,副主任医师;美国杜克大学医院、德州医学中心访问学者。目前担任中华医学会心血管病学分会创新与转化学组委员,中国医师协会转化医学学组委员,亚洲心脏瓣膜病学会中国分会心脏瓣膜病介入治疗技术学术委员会常委,全军心血管病专业委员会结构学组委员,亚太结构性心脏病青年俱乐部黄金会员等。







