2021年9月3日,武汉协和医院心内科程翔教授带领心内TAVR团队完成TaurusElite经导管主动脉瓣系统植入手术,成功为一例广泛钙化合并瓣叶严重增厚及关闭不全的三叶式主动脉瓣狭窄横位心患者进行了救治,术中程翔教授团队选用了TaurusElite可回收系统,实现了瓣膜的精准释放,显著改善了患者的血流动力学,获得了出色的即时手术效果,保障了患者的远期预后。
运筹帷幄丨全面诊断评估,预判手术风险,制定手术方案
患者基本情况
患者67岁女性,术前间断胸痛6年余,加重6天,入院超声检查显示主动脉瓣钙化并重度狭窄及重度关闭不全,瓣叶开放明显受限,收缩期瓣口射速明显增快,峰值流速5m/s,峰值跨瓣压差高达100mmHg,舒张期左室流出道见大量反流信号。
术前CT评估
CT结果显示:
• 三叶式主动脉瓣,瓣叶轻中度钙化,钙化分布欠均匀,主要分布在瓣叶边缘及管壁附着缘,瓣叶严重增厚,局部交接粘连
• 左右冠开口高度尚可,未见明显冗长瓣叶
• 流入端形态呈直桶状,瓦氏窦、窦管交界内径偏大,升主动脉瘤样扩张
• 左室腔内径可,心室壁增厚
• 主动脉瓣环与水平面夹角近70°,横位心,主动脉弓角度与宽度可
• 入路血管散在钙化,双侧血管内径良好,整体入路血管条件良好
手术难点策略
根据术前CT报告分析,程翔教授指出本例手术存在以下难点:
• 瓣叶严重增厚伴局部交接粘连,轻中度钙化,锚定力尚可,根据钙化分布与形态,预估人工瓣膜形态影响较小,根部损伤及瓣周漏风险较小,瓣膜移位及瓣中瓣风险适中。
• 冠脉高度尚可,综合瓦氏窦内径等因素考虑,冠脉遮挡风险不高 。
• 瓣环平面水平夹角较大,主动脉弓部夹角与弓距可,预估输送系统可顺利过弓,跨瓣难度增高,必要时备Snare辅助 。
• 双侧入路血管条件良好,穿刺规范操作,避免出现入路血管并发症。
通过对手术难点的分析,TAVR团队经过全面的讨论,制定出相应的手术策略:
• 推荐右侧股动脉为主入路,左侧辅助入路,推荐20F血管鞘。
• 根据当前影像资料及测量数据,推荐跨瓣角度为LAO 13° CAU 8°(右窦中心位)左右。
• 推荐使用22mm球囊预扩张,推荐球囊预扩角度为LAO 21° CRA19° (左冠切线位)左右,推荐预装AV26瓣膜。
• 释放角度推荐LAO 4° CAU 35°(左右重合)左右,释放高度推荐较高位(瓣环下0- 2mm)。释放后建议调整至左前斜头位( LAO 21° CRA19°)进一步确定人工瓣膜形态。
• 手术结束后建议造影评估入路血管情况,避免遗漏血管并发症情况。
步步为营丨过弓释放,精准有度,收放自如
手术过程
主动脉根部造影,伴有明显反流。
主动脉根部造影
导丝跨瓣
选择22mm球囊进行预扩,结果显示具有明显腰征,无瓣周反流,遂即选择TaurusElite 26mm瓣膜,凭借其优异的柔顺性,轻松完成过弓。

球囊预扩
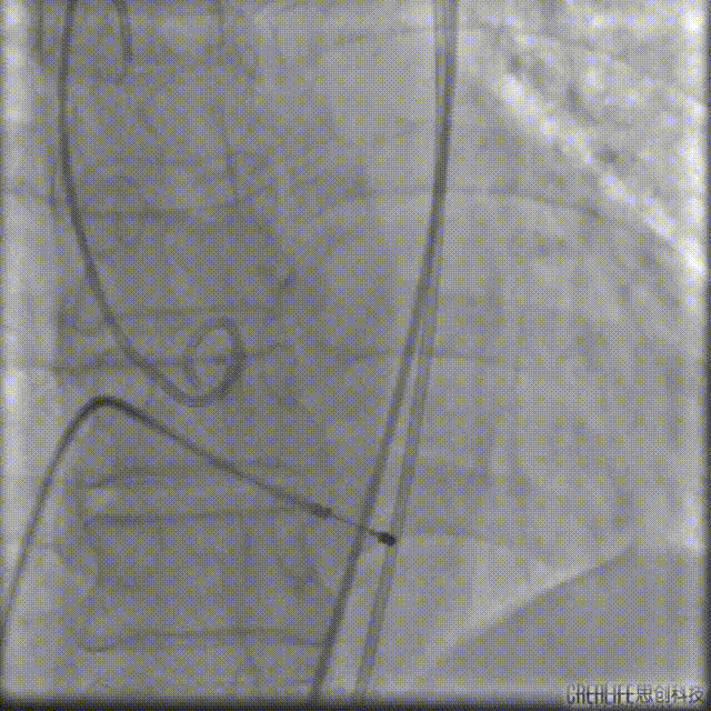
TaurusElite顺利过弓
根据术前策略,考虑到瓣上结构,需要近零位释放,精准定位,并至释放工作位,左右重合及左冠切线位评估瓣膜位置良好,最终释放后造影评估少量瓣周漏。
瓣膜定位
瓣膜释放

术后造影
华中科技大学附属协和医院心血管内科是华中地区唯一的一家集国家重点学科、国家临床重点专科、国家区域医疗中心试点输出医院(心血管内科)、教育部生物靶向重点实验室一体的心血管临床、教学、科研中心。
专家简介

医学博士,二级教授/主任医师,博士生导师,美国心脏病学会Fellow (FACC)。
华中科技大学附属协和医院心内科主任,心研所副所长。《中华心血管病杂志》编委,《临床心血管病杂志》常务副主编。中国医师协会心血管内科医师分会委员,中华医学会心血管病学分会青委会副主委,武汉医学会心血管病学分会主委,湖北省医学会心血管病学分会副主委。主持国家自然科学基金9项,以通讯作者在Circulation, J Am Coll Cardiol, Eur Heart J等杂志发表SCI论文40余篇。获树兰医学青年奖、省科技进步一等奖各一项,参编《心血管内科学(第3版)》、《心脏病学》等专著。临床上擅长冠心病介入诊疗和血脂异常的诊治。