“老爷爷,放轻松不疼的睡一觉手术就结束了。”2021年9月1日,北京大学第三医院唐熠达教授团队正在有条不紊的做着术前准备。这是一位91岁的老年男性患者,术前唐熠达教授团队联合心内、心外、麻醉、超声、电生理、导管室、监护室等多科室对患者进行会诊并制定个性化的手术方案及应急预案。
两小时后手术成功,患者情况得到显著改善,峰值流速降至1.5m/s,术后4天出院,唐熠达教授团队给更多主动脉瓣重度狭窄的患者带来希望。
患者基础信息
91岁男性,入院前5天内昏厥2次,诊断为主动脉瓣重度狭窄,轻度反流;
冠状动脉性心脏病,前列腺增生术后;
左主干及前降支重度钙化伴严重狭窄。
CT评估
钙化积分及分布
心室大小形态
血管入路
根部CT
手术策略
三叶瓣,重度钙化,钙化主要分布在瓣叶游离缘,法式窦结构较大,双冠高度较高,升主动脉未见明显扩张,心脏角度40°,左室大小可,心肌肥厚,主动脉弓部走行较平缓,主动脉弓部可见钙化,过弓轻柔谨慎,以右侧股动脉为主入路。
唐熠达教授团队对病例进行多学科综合分析评估决定行一站式PCI+TAVI手术,结合患者91岁高龄,主动脉根部结构及双侧劲动脉粥样硬化斑块形成,脑动脉硬化情况采用20mm球囊预扩,拟植入VenusA-Valve L26瓣膜。
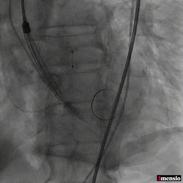
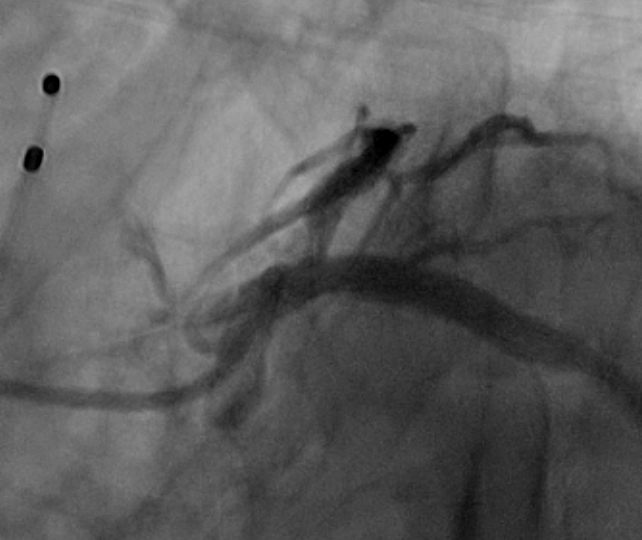
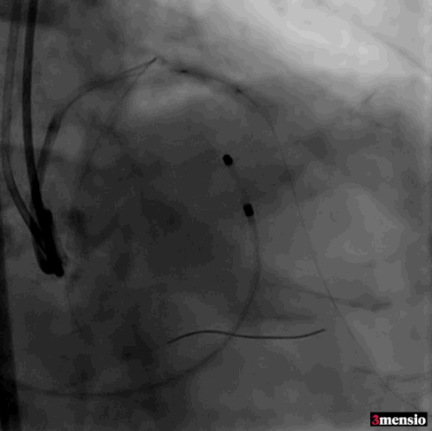
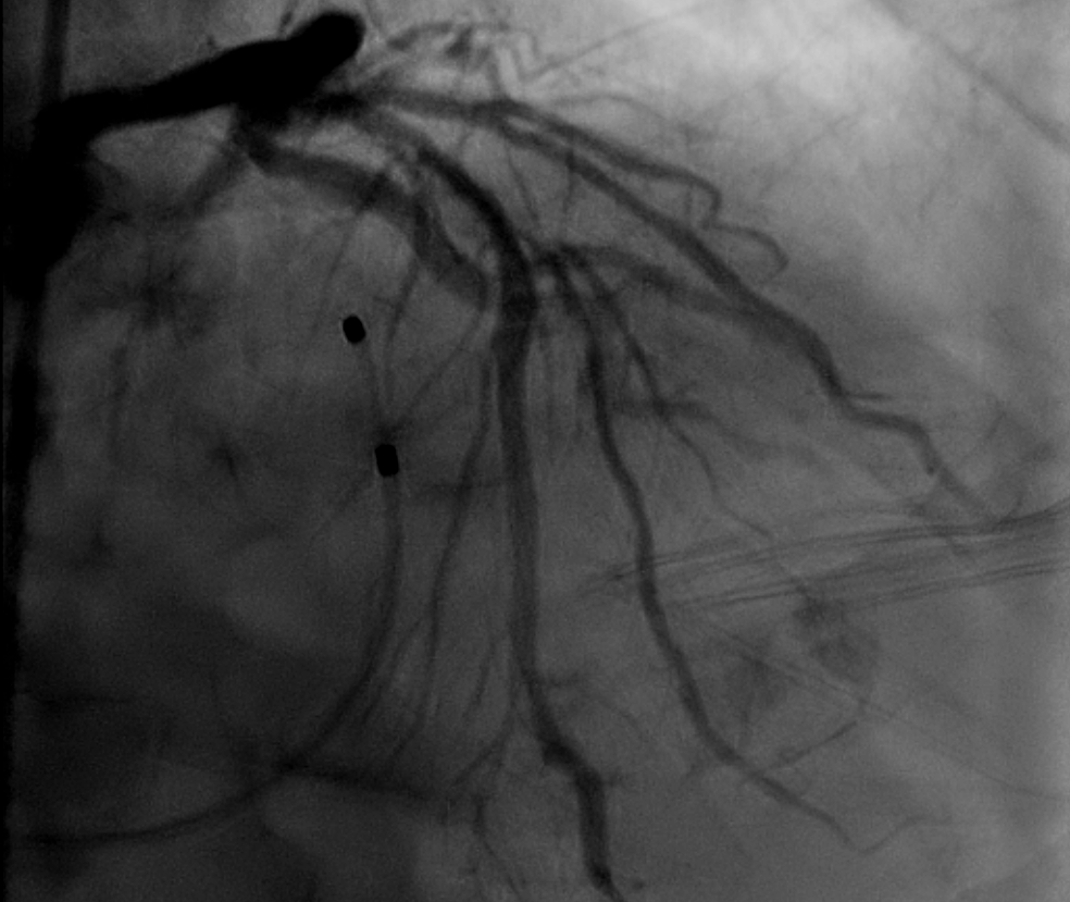
手术过程


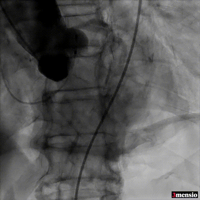
根部造影
跨瓣
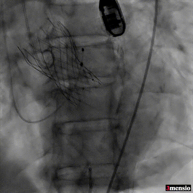
20mm球囊预扩
标准位释放定位
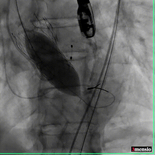
23mm球囊后扩
术后造影
瓣膜定位精准,标准位释放,轻微瓣周漏,术后效果良好,手术取得圆满成功。
专家简介

心内科主任,血管医学研究所常务副所长,北大医学部分子心血管学教育部重点实验室副主任。曾为北京协和医学院心内科博士生导师及生物医学工程博士生导师,享受国务院政府特殊津贴,国家杰出青年科学基金获得者,教育部长江学者特聘教授,国家百千万人才工程“有突出贡献中青年专家”,首都科技领军人才。学术团体兼职主要包括中华医学会心血管病分会代谢性心血管疾病学组组长、北京精准医学学会理事长、美国心脏病学院Fellow、欧洲心脏病学院Fellow、美国心血管造影和介入学院Fellow等。曾获2016年度首都十大杰出青年医师、2018年杰出心血管病研究奖。
作为项目负责人先后牵头“十二五”、“十三五”国家科技支撑计划、973项目子课题、国家杰出青年科学基金及多项大规模多中心临床试验。目前共发表文章100余篇,其中包括在Circulation, Hepatology, JACC等国际著名杂志上共发表SCI论文60余篇,主编参编专著10余部。现有发明专利三十余项。

医学博士,北京大学第三医院心血管内科副主任医师,中华医学会心血管病学分会临床研究学组委员,中国医师协会心血管内科医师分会国际交流学组委员。专业特长:冠心病及介入治疗,高血压病、高脂血症、心脏瓣膜病、心力衰竭等心血管常见疾病的诊治。参与编写《急性ST段抬高型心肌梗死诊断和治疗指南(2019修订版)》、《家族性高胆固醇血症筛查与诊治中国专家共识》、《中国骨髓腔内输液通路临床应用的专家共识》,参与编译多部专著,参与国家(十三五)重大慢性非传染性疾病防控研究专项子课题“冠状动脉支架内血栓防治关键技术研究”、首都特色基金“北京地区心脏骤停患者复苏骨髓腔输液应用现状调查及骨髓腔输液标准流程的开发和应用”等,担任中国介入心脏病学杂志、EHJ介入治疗期刊青年编委,CCI杂志中文版编委。已在国内外期刊发表论文二十余篇。

于北京大学获医学博士学位,曾于美国斯坦福大学医院进修。职业专长为心血管常见疾病及冠心病介入治疗、冠状动脉功能学评价。主持了多项临床技术的开展。负责国家自然科学基金(青年基金)及多项临床研究工作,发表多篇中英文学术论文。现任中华医学会心血管分会信息化学组委员、中国医疗保健国际交流促进会精准心血管病分会青年委员、北京大学医学部心血管学习联络人。

副主任医师。长期从事心内科临床工作,主要专业方向为冠心病介入诊疗;同时,对高血压、高脂血症、心力衰竭、心律失常和冠心病的药物治疗也具有丰富的临床经验。主要研究方向为血管内皮功能及冠状动脉微循环功能异常的机制及诊疗。担任北京医学会心血管病学分会第九届委员会女性心血管病学组委员、中华医学会《中华临床医师杂志》审稿专家。