2021年9月1日,北京大学第三医院唐熠达教授带领结构性心脏病团队与浙江大学附属第二医院王建安教授团队密切合作,顺利完成一例应用国产DragonFly经导管二尖瓣瓣膜夹系统治疗重度二尖瓣反流(mitral regurgitation, MR)病例。该例手术为北京地区首例应用国产经导管二尖瓣缘対缘修复器械治疗重度MR的病例,迄今为止国内仅少数医院可以开展本项治疗。
手术剪影
患者病史:
患者为80岁老年女性,间歇胸闷,胸痛10余年,冠心病和心衰等症状,7月底行PCI开通LAD。
心脏超声检查提示:二尖瓣后叶(P2)脱垂,并存在腱索断裂,重度二尖瓣反流。
手术方案:
在经过术前充分的讨论后,结合本患者较高STS评分,其进行心脏外科手术风险的评估结果为高风险(High Risk)。在与患者及家属充分沟通后,决定使用DragonFly二尖瓣瓣膜夹系统完成缘对缘修复介入治疗。
手术过程:
患者在麻醉科团队保驾护航下,器械经股静脉穿刺房间隔,通过输送系统送入左心房,到达二尖瓣瓣膜反流处,在经食道超声心动图及DSA引导下,术者通过反复评估二尖瓣膜脱垂范围、抓捕位置、反流程度之后,进行精准夹合,成功植入DragonFly瓣膜夹1枚。术后超声即刻患者反流降低至轻度,二尖瓣跨瓣平均压差未超过4mmHg,左房压下降,肺静脉逆流减轻,血流动力学改善明显,手术取得圆满成功。
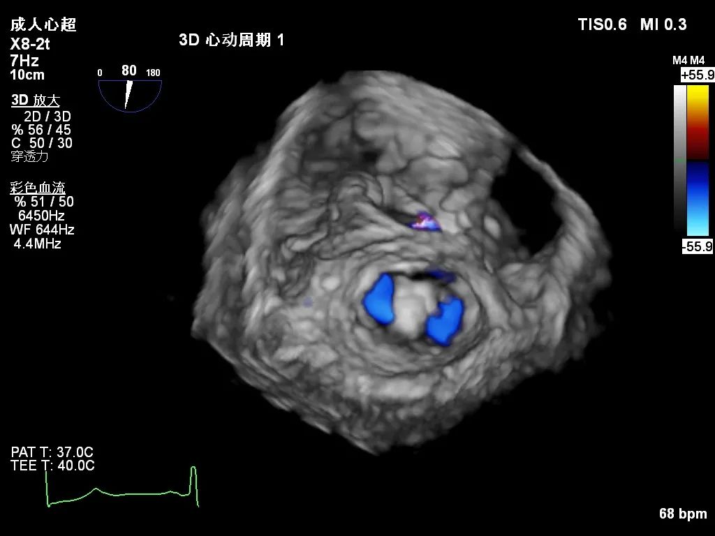
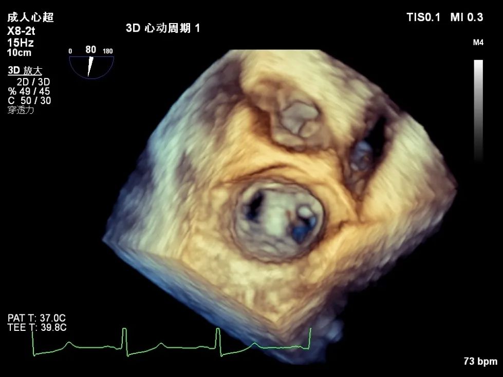
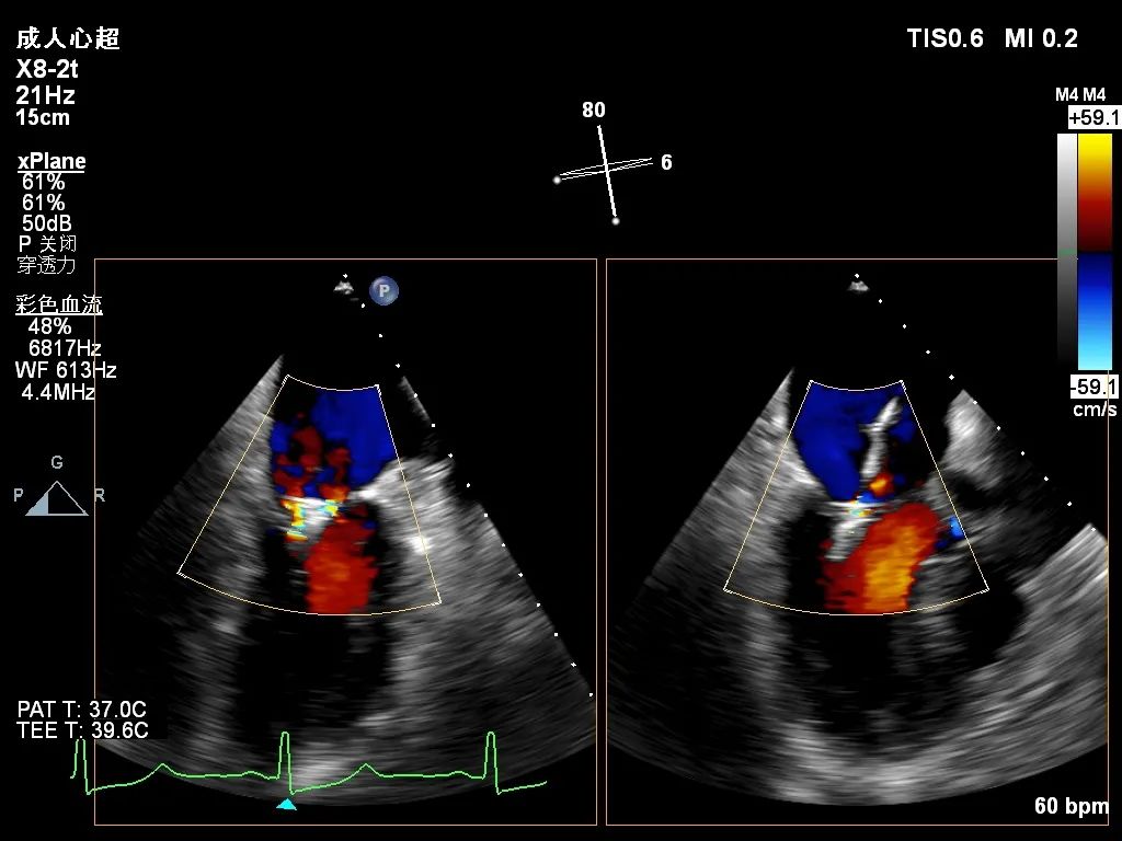
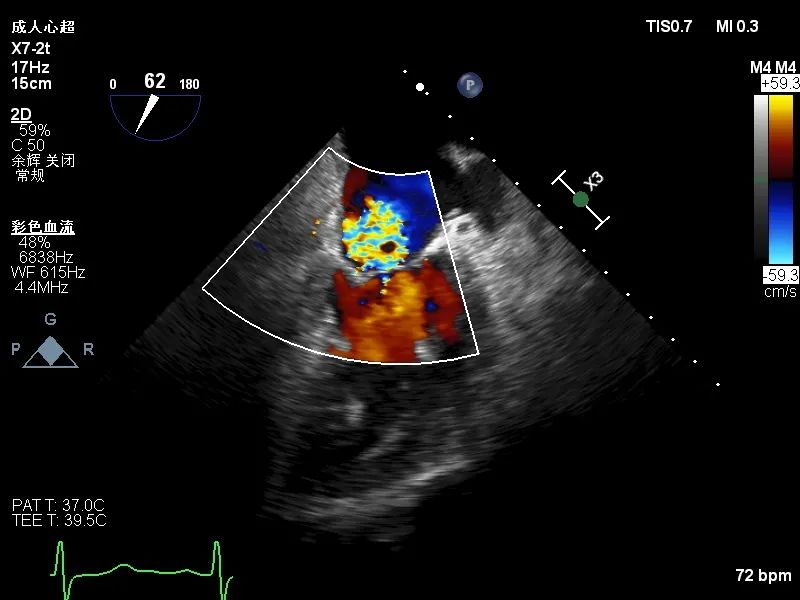
患者影像:
术前超声心动图
术后超声心动图
术后超声心动图
DSA视窗下DragonFly二尖瓣瓣膜夹释放
总结:
二尖瓣反流(mitral regurgitation, MR)是常见的瓣膜性心脏病,在西方国家 75岁以上人群中中度至重度MR的患病率超过10%。而传统的外科开胸手术因其较高的手术风险并不适用于外科手术高危患者,过去十年间已经发展了多种经导管治疗MR的介入手术方法,其中缘对缘修复技术,由于其具有创伤小、死亡率低、术后恢复快、效果与传统外科手术相当等优点,正日益得到重视。目前在全球范围内,经导管二尖瓣缘对缘修复技术的适应证已全面覆盖器质性二尖瓣反流和功能性二尖瓣反流,为不适宜外科手术的高危患者带来了新的治疗方式,经导管二尖瓣缘对缘修复术无需开胸、无需体外循环及其相关的心脏停跳再复跳带来的心肌缺血再灌注损伤,无需切开心脏,只需一个股静脉穿刺点即可完成二尖瓣的修复。
北京大学第三医院唐熠达教授率领的结构心团队,协同医院多学科,顺利开展经导管二尖瓣缘对缘修复介入治疗,为无法进行外科开胸的二尖瓣重度反流患者带来新的治疗方案和新的希望。
专家简介

心内科主任,血管医学研究所常务副所长,北大医学部分子心血管学教育部重点实验室副主任,北京协和医学院心内科博士生导师及生物医学工程博士生导师,享受国务院政府特殊津贴,国家杰出青年科学基金获得者,教育部长江学者特聘教授,国家百千万人才工程“有突出贡献中青年专家”,首都科技领军人才,中华医学会心血管病分会代谢性心血管疾病学组组长,北京精准医学学会理事长,美国心脏病学院Fellow,欧洲心脏病学院Fellow,美国心血管造影和介入学院Fellow等。