2021年8月18日,在江西省人民医院-江西省心血管病医院洪浪院长的带领下,在沛嘉主办的“得心应收 行稳致远”可回收TAVR系统全国手术联播活动中(北京阜外医院、北部战区总医院、浙江大学附属第二医院、江西省心血管病医院等),联合超声、麻醉、心外、护理、重症等多学科心脏瓣膜团队成功为一例重度主动脉瓣狭窄合并血小板减少、升主动脉瘤样扩张的患者进行了TAVR手术治疗。TaurusElite优异输送性能保障了器械顺利通过角度较锐利主动脉弓,良好的柔顺性保证器械安全通过升主动脉瘤样扩张部分,出色的稳定性确保瓣膜植入效果,最终患者获得了良好的即刻手术结果,血流动力学得到改善。
患者基本情况:
患者56岁男性,入院超声检查显示主动脉瓣重度狭窄并轻度关闭不全,回声增强、钙化,开放受限,有效瓣口面积约0.73cm2,峰值流速4.6m/s,平均压差53mmHg,最大压差84mmHg。升主动脉增大,左室增厚,LVEF 62%,血小板减少(55)。
术前CT评估:
三叶式主动脉瓣,中度钙化并增厚,钙化分布不均匀,左右交界处存在似嵴样钙化。
左右冠高度尚可,左冠瓣瓣叶长度偏长,综合瓦氏窦内径等因素考虑,冠脉遮挡风险小。
左室流出道内径与瓣环内径相近,瓦氏窦,窦管交界内径可,升主动脉最宽处内径50mm,升主动脉瘤诊断明确。
左室腔内径可,心室壁增厚。
主动脉瓣环与水平面夹角可,非横位心,主动脉弓降部角度较锐利,弓部宽度尚可。
入路血管散在钙化,双侧血管内径良好,整体入路血管条件良好。
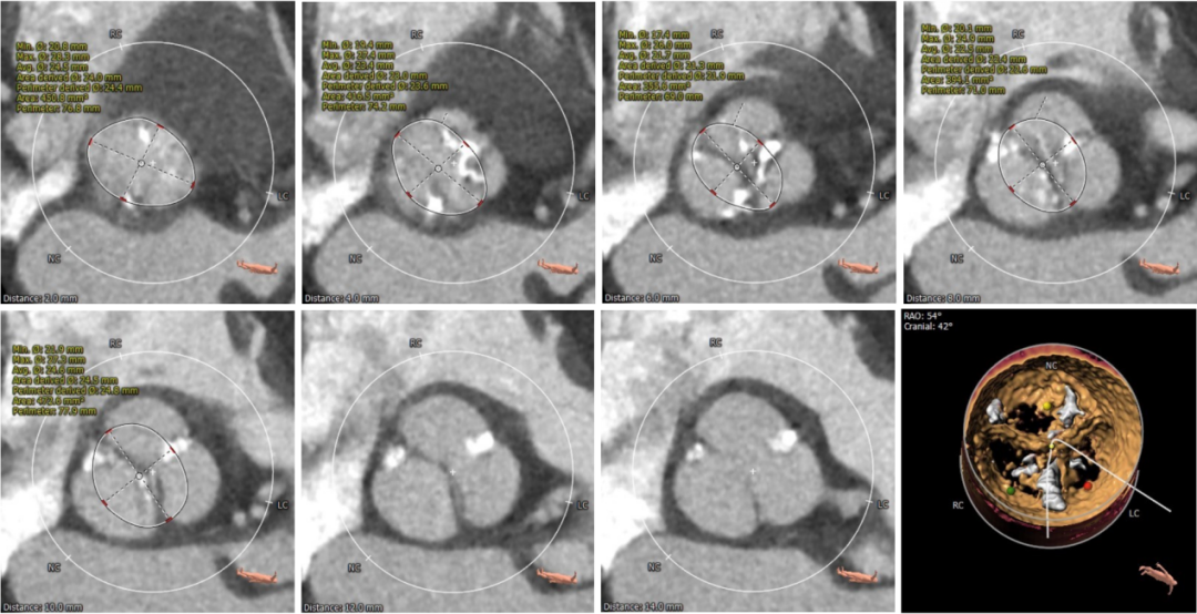
CT动态预览
主动脉根部测量
瓣上结构测量
冠脉阻挡风险及钙化评估
外周血管入路评估
手术难点及策略:
根据术前CT报告分析,本例手术存在以下难点:
• 高钙化三叶式主动脉瓣,左右交界处存在似嵴样钙化,推移难度较大,对人工瓣膜形态存在影响,有根部损伤、瓣周漏风险。
• 升主动脉瘤,术中及围术期存在升主动脉损伤及夹层、破裂可能。
• 弓降部夹角锐利,存在过弓阻力增大可能,可使用超硬导丝控制过弓,必要时使用SNARE辅助。
相应的手术策略:
• 右侧股动脉为主入路,左侧辅助入路,左股静脉植入临时起搏器电极,选择20F血管鞘;
• 瓣膜输送器轻柔输送,若在升主处遇到明显阻力,需要谨慎,必要时采用SNARE技术;
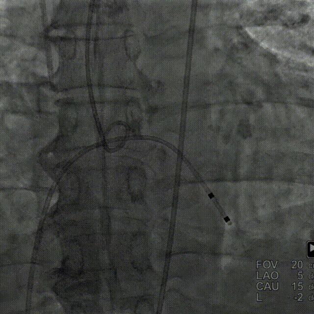
• 术中使用跨瓣角度为LAO 5° CAU 15°(右窦中心位),22mm球囊预扩张,球囊预扩角度为LAO 16° CAU 2°(左冠切线位);
• 预装AV26瓣膜,释放角度推荐RAO 22° CAU 38°(左右重合)左右,释放较高位(瓣环下2mm左右)。释放后调整至左前斜头位进一步确定人工瓣膜形态。手术结束后造影评估入路血管情况,避免遗漏血管并发症情况。
手术过程:
主动脉根部造影,主动脉狭窄伴有明显反流,采用22mm球囊预扩,轻微腰征,造影无漏。
主动脉根部造影
球囊预扩
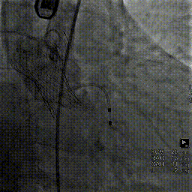
TaurusElite 输送器轻松过弓、跨瓣,TaurusElite AV26瓣膜高位释放。

TaurusElite轻松过弓

瓣膜释放
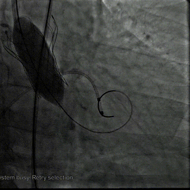
超声检测存在瓣中漏,瓣膜形态不佳,于是用22mm球囊后扩,最终造影显示瓣膜位置合适,冠脉灌注良好,左右钙化嵴处微量瓣周漏。
球囊后扩
术后根部造影
手术即刻超声评估,主动脉瓣工作良好,轻微瓣周漏。

超声评估
本次手术的成功不仅仅展现江西省人民医院洪浪教授团队TAVR技术的积累与沉淀,也是团队“医者仁心”的体现。从患者入院开始,洪浪教授团队积极与患者及其家属沟通,结合患者意愿与手术风险,多学科的综合评估从而制定适合患者的手术方案,保障患者的疗效与远期获益。本例手术的成功也为更多临床上有升主动脉瘤患者的TAVR治疗提供了宝贵的经验。
专家点评:
TAVR发展初始,主要是为无法行外科手术瓣膜置换,或外科手术治疗风险较高的患者提供了一种新的治疗手段。近来,由于临床证据的不断丰富,TAVR的适应证也不断扩大,从2020年国内外新指南来看,选择TAVR或SAVR更多的是关注患者年纪、意愿等因素。传统的外科手术风险高,需要将患者的胸骨正中劈开,同时需要体外循环的辅助,手术创伤大等问题使很多国内患者望而却步。TAVR目前在国内开展的医院尚有限,其开展的难点较多:需要多科室协作,对于心脏团队整体要求较高,对拟行TAVR患者需要CTA数据进行精确测量、评估,来确定采用人工瓣膜的类型、大小,确定瓣膜释放位置、手术入路选择等。
随着TAVR技术的普及,尤其是TaurusElite可回收系统的上市,进一步降低了操作的难度,给术者调整的机会,增加了手术的信心。TaurusElite优异的输送性能更好的帮助临床挑战主动脉弓、升主动脉条件不好的病例,给此类患者提供了更多的临床选择方案。TaurusElite瓣膜出色的稳定性,避免了以往面对高钙化病变的时候瓣膜下滑的情况,同时有可回收功能的加持,帮助临床在术中获得更好的即刻疗效。有理由认为,TAVR未来很有可能会一定程度上替代外科手术,成为主动脉瓣狭窄的一种主流治疗方法。
专家简介

主任医师、教授、 硕士、博士生导师。
江西省心血管病医院院长,江西省心血管研究所所长;卫计委“冠心病介入诊疗技术培训基地”、“先心病介入诊疗技术培训基地”及“心律失常介入诊疗技术培训基地”主任;中华医学会心血管介入培训江西基地主任;国家药物临床试验江西基地心血管专业主任;中国医师协会心血管分会先心病工作委员会委员;江西省介入心脏病学会理事长;江西省医师协会心血管内科医师分会会长;江西省“冠心病介入治疗质量控制中心”主任;江西省人民医院胸痛中心技术总监;江西省生物医学工程学会心电起搏分会常委;美国心脏节律协会会员;《中国介入心脏病学杂志》及《中国心脏起搏与心电生理杂志》编委;中国医疗保健国际交流促进会心血管健康医学分会委员,中国医疗保健国际交流促进会心血管病学分会委员。

硕士研究生,主治医师。
心血管内科十病区;中部复杂冠心病介入治疗青年委员会江西组副组长;江西省介入心脏病学会青年专业委员会副主任委员;江西省介入心脏病学会会员。2018年于北京阜外医院研修瓣膜介入治疗。
主要研究方向:高危复杂冠心病、复杂心脏瓣膜疾病介入治疗,擅长OCT、IVUS、FFR以及常见心血管疾病的诊疗。