2021年8月26日上午,中国医师协会心血管分会会长,中国心血管健康联盟主席葛均波院士,成功于上海德达医院,应用新一代可回收瓣膜系统TaurusElite®为一位重度主动脉瓣狭窄患者完成上市以来上海地区首例植入。此次接受手术的患者,长期受主动脉瓣狭窄困扰,心功能差活动耐量降低,严重影响正常生活,曾辗转于当地多家医院求诊,均考虑患者手术风险高而无法接受手术治疗。此次患者慕名来到上海德达医院,手术当日葛均波院士、葛雷教授带领手术团队紧密配合,在TaurusElite®可回收功能的保驾护航下,实现瓣膜精确定位释放,手术顺利完成,术后患者血流动力学指标及症状明显改善,为患者带来更多的临床获益!
患者基本信息:
患者为81岁老年女性,主因“反复胸闷10余年,加重3月余”入院。患者10年前活动后出现胸闷、气促,无胸痛、晕厥等不适,症状尚可忍受,遂未予重视;既往有“高血压”病史5年余,最高血压140/100mmHg,具体诊治不详,3月前因“双侧冠状动脉弥漫性钙化、狭窄”行支架置入术,于右冠中远段及后降支植入2.75*29mm、3.5*22mm支架各一枚,于前降支近段病变处植入4.0*23mm支架1枚;近3月来,患者无明显诱因再发胸闷、气促,症状较前加重,晕厥2次,遂前来就医,以“主动脉瓣狭窄伴关闭不全;心力衰竭、心功能Ⅲ级(NYHA分级);冠状动脉粥样硬化性心脏病(PCI术后);原发性高血压病2级(很高危组)”诊断收治入院。
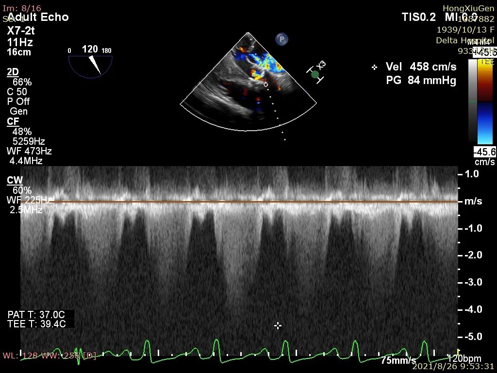
入院行相关辅助检查后,心电图示“窦性心动过速;S-T段变化;左心室高电压”;心脏彩超示“主动脉瓣狭窄(重度)伴关闭不全(轻度)、峰值流速450cm/s、平均压差46mmHg、估测主动脉瓣开放面积0.7cm²;二尖瓣关闭不全(轻中度),三尖瓣少量反流,左室收缩功能减低;LVEF:36%”。
主动脉根部评估:
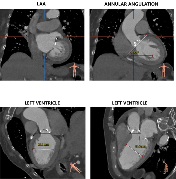
CT数据显示该患者为三叶三窦式主动脉瓣。
主动脉瓣瓣环周长77.0mm,平均周长径 24.5mm;LVOT周长89.1mm,平均周长径28.4mm;SOV:28.5mm*29.3mm*32.0mm;STJ平面周长94.6mm;瓣叶增厚,瓣上钙化明显,HU850积分1341mm³, HU560积分2499mm³,升主动脉最大直径44.1mm。
左冠开口高度11.0mm,右冠开口高度15.0mm,左冠高度较低,根据瓦氏窦内径和瓣叶长度综合判断,左冠堵塞风险不高;右冠瓣叶长度较长,存在一定封堵风险,合并患者原有冠脉疾病,考虑右冠灌注不良风险较高;左室腔增大,心室壁未见明显增厚。
外周血管及主动脉弓解剖:
入路血管严重钙化并有较大迂曲,双侧血管内径良好,主动脉弓部见环状钙化。
病例特点:
该患者为一例高冠脉风险的重度AS患者。
①患者主动脉根部钙化集中,利于瓣膜固定;
②患者左冠瓣冗长,结合瓦氏窦内结构,存在较大左冠封堵危险,右冠瓣叶长度较长,合并患者原有冠脉疾病,右冠灌注不良风险较高;
③入路血管严重钙化合并迂曲,主动脉内多发钙化,血管条件较差;
④患者心功能较差,循环崩溃风险较高。
手术策略讨论:
①患者左、右冠状动脉内存在连续钙化灶,瓣叶相对冗长,存在冠脉阻塞风险,须制定冠脉保护策略;
②患者主动脉瓣钙化严重,钙化集中于无冠窦与右冠窦部,推移难度较大,人工瓣膜展开形态可能较差,存在瓣周漏风险,在球囊预扩时应注意钙化灶运动情况;
③患者主动脉弓距可,主动脉弓夹角可,降主动脉及主动脉弓多发钙化,过弓手法应尽量轻柔,避免引起血管损伤;
④患者外周血管多发钙化,迂曲严重,入路血管内径可,入路条件较差,须轻柔操作,避免外周血管并发症的发生;
⑤患者心功能较差,须准备体外循环装置。
手术过程回顾:
1、经右侧颈静脉留置临时起搏电极;以左侧股动脉为辅入路,并在造影指导下穿刺右侧股动脉为主入路;
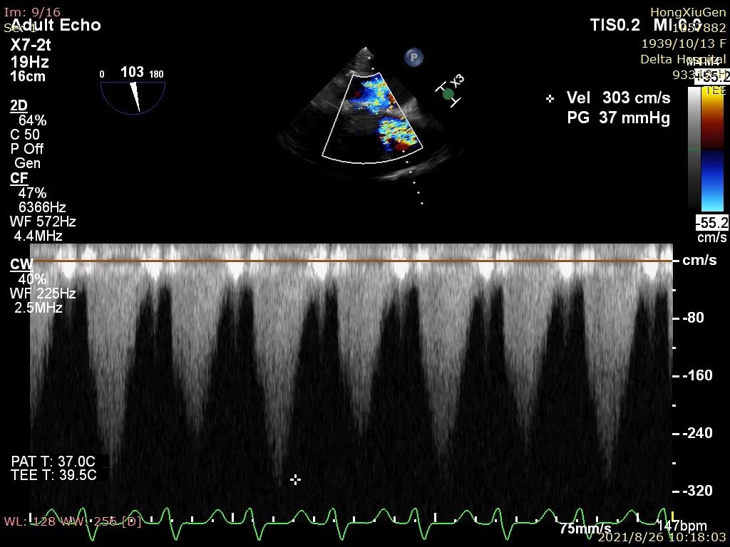
4、180次/分快速起搏下以22mm 球囊进行第一次预扩张,扩张同时造影示明显腰征,球囊受挤压上跳。扩张后超声示跨瓣压差37mmHg,峰值流速303cm/s,主动脉狭窄情况得到改善,主动脉瓣叶活动性增强;
5、180次/分快速起搏下以22mm 球囊进行第二次预扩张,扩张同时造影示明显腰征,球囊受挤压下滑,右冠显影不明显,考虑灌注不良,超声示两次球扩未造成患者主动脉根部明显损伤变形;
6、术中讨论决定行右冠保护措施,经右桡动脉送入6F JR3.5指引导管,行右侧冠脉造影,示患者右侧冠状动脉近段狭窄;
7、经6F JR3.5指引导管,送入3.5×28mm支架至RCA近段,预备行烟囱支架术;
9、超声评估示平均跨瓣压差约5mmHg、微量瓣周漏,造影未见明显反流影;
10、猪尾导管测压显示,平均跨瓣压差约2mmHg,造影示瓣膜定位良好、开放良好,极少量瓣周漏,患者血流动力学指标稳定,血压约101/55mmHg,人工瓣膜开口面积2.06cm2,标志手术成功。
术后讨论:
1、本例手术难点与亮点:
本病例难点包括主动脉瓣极重度钙化,跨瓣困难,球扩推移困难及瓣膜展开不良;其次是高冠脉灌注不良风险,包括冗长瓣叶阻挡及冠脉狭窄性病变;最后,外周血管多发钙化导致的血管风险,同样可能引发外周血管损伤。针对这些难点,本例手术采取应对策略如下:
专家介绍

中国科学院院士、长江学者、教授、博士生导师。现任中国医师协会心血管分会会长,中国心血管健康联盟主席,复旦大学附属中山医院心内科主任,上海市心血管临床医学中心主任,上海市心血管病研究所所长,安徽省立医院院长,复旦大学生物医学研究院院长,复旦大学泛血管医学研究院院长,复旦大学泛血管基金理事长,教育部“心血管介入治疗技术与器械”工程研究中心主任,中国医学科学院学部委员、美国心血管造影和介入学会理事会理事,美国心脏病学会国际顾问,世界心脏联盟常务理事,世界华人心血管医师协会荣誉会长、美国哥伦比亚大学客座教授。