2021年8月17日,南华大学附属第一医院心血管外科团队成功完成TaurusElite经导管主动脉瓣系统在重度钙化Type0型二叶瓣主动脉瓣狭窄患者中的应用,为一例心衰的主动脉瓣狭窄患者进行了救治。术前该院心血管外科联合心内科、超声影像科、麻醉科“未雨绸缪”对患者病情进行全面评估,术中“步步为营”保障每个手术细节的精准操作。TaurusElite可回收性能也在术中得到充分体现,1次全回收,多次部分回收,最终精准释放,位置稳定,无瓣周漏,显著改善了患者的血流动力学,获得了良好的即可效果,并保障患者远期疗效。
患者基本情况
患者71岁女性,入院超声检查显示主动脉瓣重度狭窄并轻度关闭不全、瓣叶增厚、回声增强,活动受限峰值流速473cm/s,平均压差60mmHg,最大压差90mmHg,瓣口面积约0.27cm2。左心增大,LVEF 37%,升主动脉增大。
术前CT评估
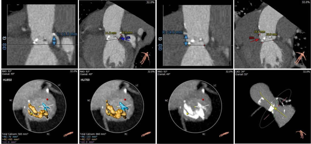
Type0型二叶式主动脉瓣,重度钙化,钙化发布不均,位置靠右前侧,根据钙化形态预估,术中钙化推移难度较大,对人工瓣膜形态影响较大,存在人工瓣膜移位及瓣周漏风险。
左冠高度稍低,左冠起始处可见局限钙化,左冠瓣瓣叶长度偏长,综合瓦氏窦内径等因素考虑,左冠存在遮挡风险。
左室腔内径有增大,心室壁增厚。
入路血管多处钙化,腹主动脉分叉前病变较重,双侧血管内径良好,整体入路血管条件尚可。
主动脉根部测量
瓣上结构测量
冠脉阻挡风险及钙化评估
外周血管入路评估
手术难点及策略
根据术前CT报告分析,本例手术存在以下难点:
重度钙化Type0型二叶瓣,对人工瓣膜形态影响较大,瓣周漏风险较高。
根据钙化形态,瓣膜释放后预计整体向左后方推移,存在人工瓣膜移位风险。
左冠瓣瓣叶长度偏长,综合瓦氏窦内径等因素考虑,左冠存在遮挡风险。 入路血管多处钙化,术中存在入路血管并发症可能。
相应的手术策略:
右侧股动脉为主入路,左侧辅助入路,使用20F血管鞘。
Type0型二叶式主动脉瓣狭窄跨瓣困难,根据当前影像资料及测量数据,跨瓣角度为LAO 11° CRA 15°(双窦展开位)。
术中采用使用18mm球囊预扩张,球囊预扩角度为LAO 21° CRA 25°(左冠切线位)左右,必要时使用冠脉保护措施。 预装TaurusElite AV23瓣膜,释放角度LAO 11° CRA 15°左右,为避免瓣膜移位,采用较高位(瓣环下0-2mm)释放策略,术中根据情况进行必要的回收、调整。 手术结束后造影评估入路血管情况,避免遗漏血管并发症情况。
手术过程
主动脉根部造影,主动脉狭窄伴有明显反流,采用18mm球囊预扩,轻微腰征,造影无漏。
主动脉根部造影
球囊预扩
TaurusElite 输送器轻松过弓、跨瓣,LAO 11° CRA 15°投照角度下,第一次定位。

TaurusElite轻松过弓
第一次定位
第一次释放后,造影评估深度偏深,随即完全回收。
第一次释放
第一次回收
由于患者本身是Type0型二叶瓣,加上钙化较重,给瓣膜植入的位置增加了难度,术中释放多次释放部分回收后,最终释放一个比较满意的位置。
最终定位
最终释放
瓣膜稳步脱钩后,造影显示瓣膜位置合适,冠脉灌注良好,无瓣周漏。
稳步脱钩
最终造影
手术即刻超声测量,主动脉瓣工作良好,无反流,与术前超声测量数据对比,流速、跨瓣压差得到有效改善。

超声评估
术前、术后血流动力学评估
重度钙化Type0型二叶瓣主动脉瓣解剖,其不对称解剖形态,给瓣膜的尺寸选择与释放都带来了非常大的挑战。尤其是不对称的钙化与Type0型二叶瓣椭圆的开口面积易造成瓣膜贴壁不充分,从而导致大量的瓣周漏,影响患者预后。TaurusElite经导管主动脉瓣系统其输送系统的回收特性,帮助术中进行多次定位,获得一个良好的释放位置。高密度的流入段设计保证了足够的径向支撑力,使得瓣膜与周围组织贴靠良好,同时外裙边的设计有效减少瓣周漏风险。对于冠脉阻挡风险的患者,其收腰设计降低了冠脉阻挡风险。
专家点评:
南华大学附属第一医院心外科冯耀光主任在术后讲到自己的感受,本次手术是科室独立完成的一例复杂Type0型二叶式主动脉瓣狭窄,手术效果非常好,患者的状况也得到了很好的改善,整体手术结果是非常满意的。术前综合分析,科室讨论手术方案的时候还是有诸多担心,患者本身心衰,身体状况很不好,不能接受外科手术。其解剖为Type0型二叶式主动脉瓣伴有重度的钙化,对TAVR的介入治疗又提出了非常高的要求,而团队TAVR的开展还处于积累阶段,缺乏一定的经验。术中瓣膜释放的过程多次出现了位置不合适的情况,也得益于TaurusElite优良的可回收表现,使得最终释放在一个良好的位置,术前担心的瓣周漏、瓣膜移位等问题也得到了解决。TaurusElite可回收系统大大增加了团队手术的信心,让团队在手术过程中进退有余,降低了手术风险。尤其是对于还在积累经验的中心,提供了更多的余地,简化了操作难度,在整个心脏中心团队,包括心外、心内、超声影像、麻醉等,通力合作下获得更加良好的治疗效果,保障了手术的疗效。相信在未来,TaurusElite可回收系统会更加有助于TAVR技术在国内的开展,帮助更多的患者获得有效的治疗。
专家简介

主任医师,医学博士,硕士生导师。现任南华大学附属第一医院胸心血管外科主任、南华大学附属第一医院大外科副主任。于1999年在中国阜外心血管病医院,2002年至2005年在中南大学湘雅二医院,2012年在美国 Mayo clinic医院、2014年德国柏林心脏中心的心血管外科进修及学习。主持及参与国家级、省部级课题7项,参与编写医学专著2部,发表文章30余篇,2018年度被评为湖南省首届“湖南好医生”称号。