卒中与栓塞预防是心房颤动(房颤)治疗的基石。非瓣膜性房颤患者中超过90%的血栓形成于左心耳1。口服抗凝药物存在出血风险、长期依从性不佳等问题,因此经皮左心耳封堵(LAAO)成为房颤卒中预防的又一重要手段。对于房颤卒中与栓塞风险高危患者,如果存在高出血风险、超高龄、无法长期口服抗凝药物等情况, LAAO甚至成为唯一选择。
目前应用最广泛的LAAO器械为Watchman封堵器和ACP封堵器,以及国产的LAmbre封堵器(图1)。PROTECT-AF研究2和PREVAIL研究3最先证明LAAO与华法林相比在卒中预防方面达到非劣效性,且显著降低大出血风险。随后的PRAGUE-17研究4对LAAO(35.9% Watchman, 2.8% Watchman-FLX, 61.3% Amulet)和新型口服抗凝药(NOAC)(95%为阿派沙班)进行比较。LAAO组的首要复合终点(包括卒中、栓塞、心血管死亡、出血、手术相关并发症)达到非劣效性,出血事件较NOAC稍有降低(7.4% vs. 5.5%)。近期一项入组19个RCT研究的网络荟萃分析提示,LAAO较NOAC预防卒中效果相当,且大出血风险降低20%5。
图1 三种临床广泛采用的封堵器
随着手术经验的积累,LAAO围术期相关并发症风险将逐渐降低。Yerasi等的荟萃分析6入组49项研究共计3585例接受LAAO的患者,手术成功率为96.3%。围术期卒中发生率和死亡率分别为0.31%和0.28%,心包积液的发生率为3.28%,证实LAAO手术的安全性。
LAAO手术适应症与患者选择
2020年最新欧洲心脏协会房颤指南对LAAO预防卒中的推荐仍为IIb类(B级证据)。欧洲心律协会专家共识建议,可考虑行LAAO的卒中高危患者(CHA2DS2-VASc≥2分)包括:①高出血风险(HAS-BLED≥3)、终末期肾病或接受透析治疗;②长期口服药物依从性差;③口服抗凝药仍然出现卒中;④接受左心耳电隔离等。需要注意的是LAAO的禁忌症为二尖瓣机械瓣置换术后、中重度二尖瓣狭窄。适应症的把握与患者选择是提高LAAO临床获益的重要保证。
左心耳封堵手术策略
术前:由经食道超声(TEE)排除左心耳血栓,并评估左心耳口部大小、深度,以指导选择合适尺寸的封堵伞。心脏增强CT(或肺静脉CT)也可用于评估心耳形态。
术中:经TEE或心腔内超声(房颤射频消融术同期使用)评估封堵可靠性。封堵器展开后,多角度造影及超声影像评估是否露肩、封堵器周围漏。尝试回拉封堵器,评价固定可靠度,即满足PASS原则(P-位置,A-锚定,S-大小[压缩8-20%],S-封堵[残余血流<5mm])。器械在体内传送过程中需时刻警惕空气栓塞风险,并提前在体外检查导管内有无嵌顿气泡。
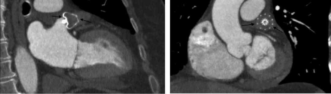
术后:术后45-60天服用口服抗凝药物(华法林或NOAC),45-60天后改为双联抗血小板药维持6个月;如封堵良好,6个月后复查TEE或CT(图2),如封堵良好,改为阿司匹林终身单抗。对于出血高危患者也可以在术后即可进行双联抗血小板,6个月后改为单抗。
图2 CT影像下的LAAO封堵器
专家简介

医学博士,北京大学第三医院心内科。英国伯明翰大学心脏科学中心Research Fellow。中国老年医学会老年病学分会委员,中国老年保健医学研究会老年心血管病分会青年委员。Cerebrovascular Disease杂志编辑、审稿人,BMC Neurology杂志审稿人。主要从事心律失常与心电生理临床及研究工作。发表SCI及中文核心期刊论文30余篇。

中共党员,医学博士;北京大学第三医院 心内科副主任医师;北医三院机场院区综合内科副主任;专业以心律失常疾病的药物及手术治疗、心脏疾病的康复治疗为重点研究方向;担任中国老年保健医学研究学会老年心血管病分会青年委员、中国生物医学工程学会心律分会青年委员、中国人体健康科技促进会高血压防控与研究专业委员会常务委员。