2021年7月19日,首都医科大学附属北京朝阳医院心脏中心王乐丰教授团队再次同期完成一例高难度复杂PCI+TAVR手术。该患者严重左主干+三支病变,钙化扭曲,同时重度主动脉瓣狭窄合并冠脉闭塞高风险。王乐丰教授团队联合心内,心外,麻醉,超声,导管室,监护室等多科室对患者进行会诊,制定了详细的手术方案及应急预案确保手术顺利进行。这是该团队继一周前成功完成一例肝硬化、三系减少患者一站式同台PCI+TAVR后的又一次突破。
患者基本信息
女性,81岁,继往高血压,糖尿病,贫血病史。13年前外院行冠脉支架术。近半年患者胸痛症状再次加重,发作时ECG广泛ST段压低,患者不能平卧,伴双下肢肿。外院复查造影示严重左主干三支病变,拟行外科手术转入我院。心脏超声示:主动脉瓣重度狭窄,轻度返流。跨瓣流速458cm/s,平均跨瓣压差52mmHg。BNP 797pg/mL,cTNI 0.22ng/mL,血色素86g,肌酐清除率47.34mL(min*1.73m2)。STS评分5.9%。心脏团队评估后考虑患者高龄,难以耐受外科手术,遂决定纠正心衰后同期行PCI加TAVR手术。
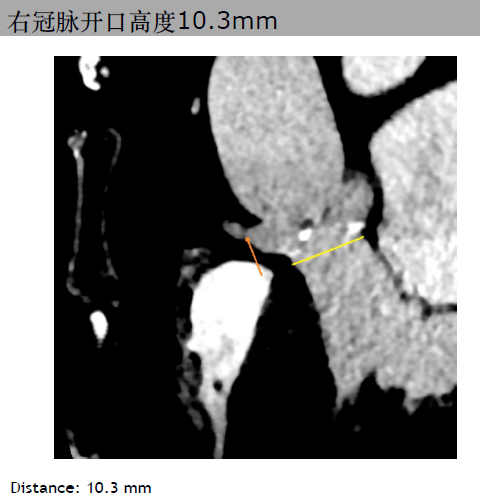
术前CT及3D打印评价
三叶瓣,主动脉瓣环平均直径21.3mm。右冠脉高度10.3mm,右窦直径:28.4mm。左冠脉高度14.1mm,左窦直径:30.4mm。STJ平均直径25.4mm,高度17mm。
为进一步评估冠脉闭塞风险,术前行3D打印。23mm球囊扩张,探针探察双侧冠脉未堵塞。
右冠开口未堵塞,但灌注缝隙相对偏小
左冠开口未堵塞
手术过程
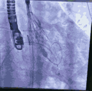
(一)2021年7月10日IABP支持下冠脉旋磨,左主干支架
复查造影示冠脉为均衡型,左主干+三支病变。扩张左主干病变时患者出现胸痛发作、呼吸困难伴血压下降,立即置入IABP。球囊预扩张充盈不充分,在IABP支持下行冠脉旋磨。可见LM-LAD明显成角,分段多次缓慢推进1.75bur旋磨左主干及LAD。切割球囊扩张后在guidzila支持下,左主干分叉病变行crush支架术式。





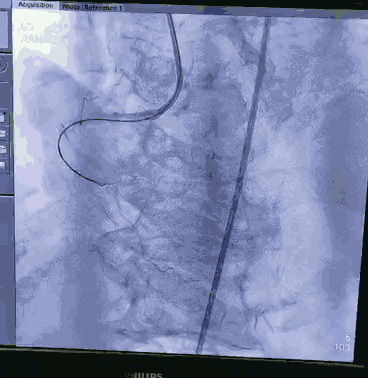
(二)2021年7月19日同台干预RCA加TAVR手术
采用右股动脉为主入路,左股动脉为冠脉保护预留。先尝试干预PL慢性闭塞病变,XT-R导丝通过闭塞病变,在球囊锚定下,1.25球囊通过病变扩张。复查造影显示闭塞远端血管细小,放弃进一步干预右冠。
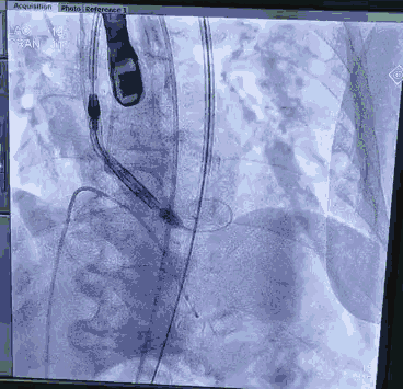
顺利跨瓣,测得跨瓣压差62mmHg。送20mm球囊扩张主动脉瓣,经右桡动脉猪尾导管造影,冠脉切线位未见右冠脉显影。为策安全,决定对RCA行冠脉保护,送JR4导管及guidzila和3.5球囊行冠脉保护。置入24mm微创 vitaflow瓣膜标准位释放。复查造影显示少量主动脉瓣返流,左右冠显示良好,撤除右冠保护。术后测压差为10mmHg。缝合双侧股动脉。术后恢复良好,次日转回普通病房,顺利出院。

王乐丰教授团队成员徐立主任医师接受采访时介绍,北京朝阳医院心脏中心多年常规开展先心病,心肌病和大血管病变的介入治疗,尤其在AMI室间隔穿孔介入治疗方面有独到经验。在此基础上,该团队拓宽了结构性心脏病介入治疗新领域。现已成功开展了TAVR,瓣周漏栓堵,PFO封堵、左房耳封堵等新技术,无围术期死亡病例。北京朝阳医院心脏中心从成立伊始就坚持心内外科合一,近年来大力开展一站式杂交手术进一步强化了内外科合作。心内外科一体化的理念有利于从患者利益出发,为患者提供最优化治疗策略。
专家简介

主任医师,心脏中心副主任,心导管室主任。长期从事心血管病临床医疗教学及科研工作,尤其在介入心脏病学领域颇有造诣,做出了突出贡献。承担和参与了国家自然科学基金、北京市自然科学基金、卫生部科研基金等科研项目多项。荣获北京市科技进步二等奖。现兼任中华医学会心血管介入培训中心学术委员会委员。任《中华心血管病杂志》、《中国介入心脏病学杂志》等杂志编委。在国内外刊物上已发表文章百余篇。主编《急性冠脉综合征从基础到临床》一书。现兼任中华医学会心血管介入培训中心学术委员会委员,任《中华心血管病杂志》、《中国介入心脏病学杂志》等杂志编委。在国内外刊物上已发表文章百余篇,主编《急性冠脉综合征从基础到临床》一书。承担和参与了国家自然科学基金、北京市自然科学基金、卫生部科研基金等科研项目多项。荣获北京市和国家科技进步二等奖。
专家门诊时间:周二下午,周三上午

主任医师,医学博士,北京朝阳医院导管室副主任。
目前主要从事冠心病和结构心脏病的介入治疗工作,无重大并发症。在急性心肌梗死急诊介入治疗和复杂病变的PCI治疗方面有较丰富经验,协助多家医院开展介入治疗工作。长期在冠心病监护室工作,擅于处理心血管危重症,尤其是在ACS重症患者的临床处理方面有较丰富经验。主要研究方向为ACS抗栓治疗及急性心肌梗死的急诊PCI治疗。承担和参与多项课题,发表中英文论文30多篇。
专家门诊时间:每周四上午