2021年7月18日,南京鼓楼医院王东进教授带领心胸外科团队使用TaurusOne经导管主动脉瓣系统,成功为一例高龄、突发心衰的重度主动脉瓣狭窄伴轻度关闭不全的患者行急诊TAVR手术。患者病情凶险且复杂,王东进教授团队迅速制定手术预案,在全体医护人员的协同配合下瓣膜植入后工作稳定,未出现冠脉阻挡,术后即刻血流动力学得到明显改善。
患者基本信息
患者为79岁老年女性,一周前出现无诱因胸闷不适,咳喘明显,由当地医院转至鼓楼医院急诊。超声心动图显示左房内径增大,左室心肌增厚,EF值50%,主动脉瓣峰值流速5.68m/s,峰值压差128mmHg,主动脉瓣瓣膜增厚、粘连、钙化,提示主动脉瓣重度狭窄伴轻度关闭不全。二尖瓣中度关闭不全,三尖瓣轻-中度关闭不全伴轻度肺动脉高压,少量心包积液。
术前评估
Type0型二叶式主动脉瓣,瓣叶中度钙化并纤维增厚,钙化似云雾状分布于两侧瓣叶。
左冠开口高度稍低,左冠瓣长度偏长。
非横位心,主动脉弓角度与宽度合适。入路血管局部钙化,双侧血管内径良好,整体入路血管条件较好。
术前CT及超声
CT扫描
超声提示重度狭窄
主动脉根部测量
冠脉风险评估
瓣环上结构评估
外周血管及主动脉弓解剖
术前评估与手术策略讨论
该急诊患者影像质量欠清晰,另该患者体位非平卧,给术中投照角度确定带来一些挑战。瓣叶上的钙化预估对人工瓣膜形态影响较大,存在根部损伤及瓣周漏较大可能,大概率需要做后扩张。
冠脉开口高度稍低,左冠瓣瓣叶偏长,综合瓦氏窦内径等因素考虑,有一定冠脉遮挡风险,术中可借助食道超声测量钙化到左冠开口的距离以及评估冠脉血流,再决定是否行冠脉保护。
手术策略方面,综合考虑瓣环及瓣环上结构,选用20mm球囊预扩张,预装TaurusOne AV26瓣膜,在瓣环下0-2mm偏高位释放。
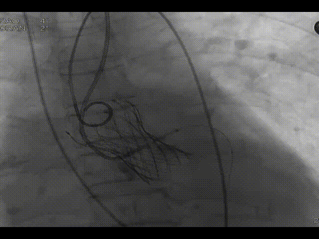
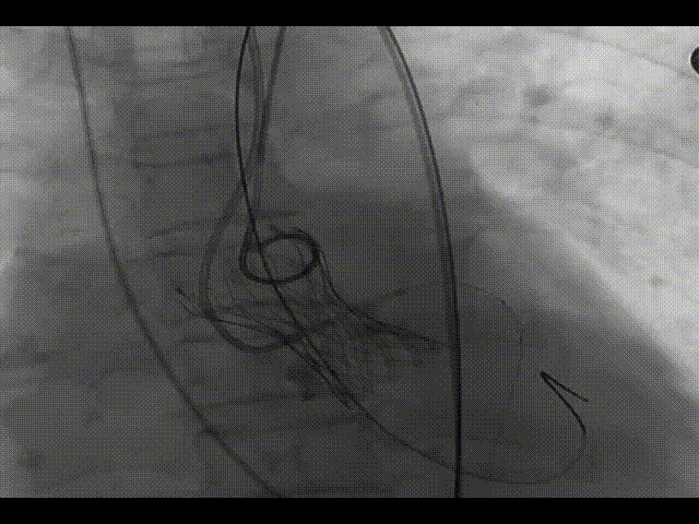
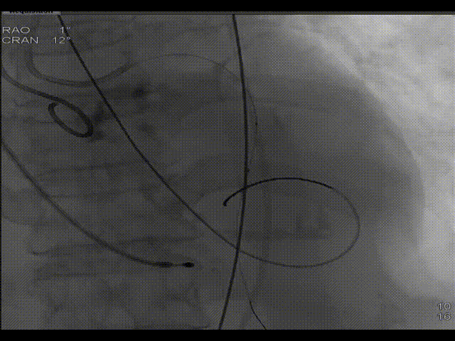
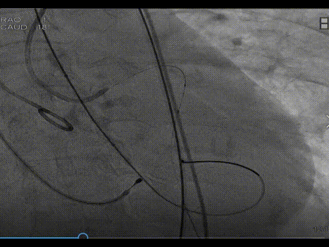
手术过程概览
术中三维超声测量距离及左冠血流
主动脉根部造影
左冠造影及保护
20mm球囊预扩,无漏,冠脉灌注良好
TaurusOne释放过程
食道超声辅助瓣膜定位
瓣膜完全释放
造影显示瓣膜形态欠佳
超声提示形态及血流动力学欠佳
22mm球囊后扩
造影显示形态显著改善,微量瓣周漏
术后即刻评估
超声评估,形态及血流动力学良好
右足左冠造影,灌注良好
王东进教授寄语
该手术是一例急诊TAVR手术,手术准备时间短、要求高,心胸外科团队紧急协调各方面资源,用最快的速度、最短的时间为患者进行了手术,取得圆满成功。术中沛嘉TaurusOne输送器出色的过弓性能和瓣膜释放良好的操控性令人印象深刻。
南京鼓楼医院心胸外科目前是江苏省十三五医学重点学科、江苏省大血管疾病诊疗中心,是华东地区规模最大的心胸大血管疾病诊治中心之一,目前本中心每年完成各类心脏大血管手术超2500例,尤其在微创心脏外科、高龄及危急重症心脏病的诊疗方面独具特色,每年收治的老年患者占比超过50%,先后完成了国内首例90岁、94岁高龄患者的心脏外科手术,对高龄退行性瓣膜病变的诊疗极富经验。除了常规开展开胸手术、各类小切口微创手术治疗各类瓣膜修复与置换等手术以外,已全面掌握并独立常规开展经心尖、经股动脉入路的介入瓣膜置换手术,可以根据病人病情来提供经股途径或经心尖途径等多种治疗策略,累计开展TAVR介入瓣膜手术近百例,整体数量和质量居于华东地区前列,治疗病种囊括重度主动脉瓣狭窄、重度主动脉瓣关闭不全、二尖瓣术后损毁瓣中瓣、三尖瓣术后损毁瓣中瓣等各种高危高龄复杂病例。期待未来沛嘉公司有更多优秀的产品服务于临床,造福广大结构性心脏病患者。
专家介绍:

医学博士,主任医师,南京大学医学博士后导师,南京大学、南京医科大学、北京协和医学院、南京中医药大学、东南大学、江苏大学、徐州医科大学教授、博硕士生导师,享受国务院政府特殊津贴。现为江苏省大血管疾病诊疗中心主任,南京市心血管病临床医学中心主任,鼓楼医院心血管病中心主任,南京大学心胸血管疾病研究所所长,鼓楼医院心胸外科行政主任。担任国际微创胸心外科学会委员、中国医药生物技术协会心血管外科技术与工程分会副主任委员、中国医师协会心血管外科医师分会常委、中国研究型医院学会心脏瓣膜病学专业委员会常委、国家心血管病专家委员会微创心血管外科专业委员会常务委员、中国医师协会机器人外科医师分会委员、江苏省医学会心血管外科分会候任主任委员、江苏省医学会心血管外科分会大血管外科学组组长、南京医学会胸心血管外科专科分会委员会名誉主任委员。已参加各类心血管手术并主刀超万例,手术范围涵盖先心病、瓣膜病、冠心病、胸部动脉瘤等各种心血管手术的最高难度部分,手术成功率在99%以上。尤其是其1997年首创的右腋下小切口心脏手术技术在国内外学术界产生广泛影响。荣获中华医学科技奖三等奖、江苏省科学技术奖二等奖、江苏医学科技奖一等奖、华夏医学科技奖三等奖等诸多荣誉,获全国十大最美医生、中国医师协会心血管外科金刀奖、全国卫生系统先进工作者、中国好医生月度人物、感动中国·江苏年度人物、江苏省有突出贡献中青年专家、南京好市民、感动南京年度人物、南京医科大学名医、南京市十大科技之星等诸多荣誉。

心胸外科行政副主任, 主任医师,医学博士,南京大学硕士生导师,美国宾州大学医学院、密西根大学附属儿童医院访问学者,入选江苏省十三五科教强卫工程医学青年人才,江苏省医学会心血管外科分会委员及大血管学组委员。擅长1.大血管疾病:主动脉瘤、主动脉夹层的手术及介入治疗;2.瓣膜疾病:瓣膜成形及置换手术;3.冠心病:不停跳搭桥手术;4.微创心脏手术:动脉导管未闭、房间隔缺损和室间隔缺损的介入封堵手术,介入主动脉瓣置换手术等。