(6月3日,TaurusOne首例植入成功后的尹波教授团队)
(7月24日,TaurusElite首例植入成功后的李波教授团队)
2021年6月3日上午,淄博市中心医院尹波教授团队联合安贞医院宋光远教授团队,成功为一名“主动脉狭窄(重度)合并右冠狭窄、小左室”患者,完成了TaurusOne经导管主动脉瓣膜系统上市后,山东地区的首例植入。值得关注的是,在一个月后的7月24日,淄博市中心医院李波教授团队,联合湘雅二医院方臻飞教授团队,成功为一名“主动脉瓣狭窄并反流(中—重度)、二尖瓣反流(中度)、三尖瓣反流(轻度)、心律不齐”患者,完成了TaurusElite上市后,山东地区的首例植入。两例患者预后病情缓解明显,血流动力学指标显著改善,术后随访状况良好,生活质量得到了有效提升。
TaurusOne植入病例回顾
▼▼▼
患者基本信息:
患者为75岁老年男性,主诉“间断性胸闷2个月”入院,临床主要诊断为“主动脉狭窄(重度)合并右冠狭窄、小左室”。既往患高血压40年,“冠心病”病史30余年,患有糖尿病20年,脑梗死后遗症20年,慢性阻塞性肺疾病8年,左侧肢体活动欠灵活。入院超声提示重度主动脉瓣狭窄,主动脉根部直径21mm,窦部直径27mm,左室射血峰值流速5.05m/s,主动脉平均跨瓣压差49mmHg。CT报告示主动脉瓣钙化明显,左右冠存在明显钙化斑块,左室前后径28.7mm。
病例特点:
该病人为一例典型主动脉瓣重度狭窄患者,伴多种基础疾病。
①患者主动脉根部钙化明显,瓣上钙化多分布于左右冠瓣交界处,瓣膜植入后锚定力可,形变及向无冠瓣侧偏移风险较大。
②患者双侧冠脉钙化明显,右冠存在血流灌注不良风险。双侧冠脉开口高度可,冠脉封堵风险较小。
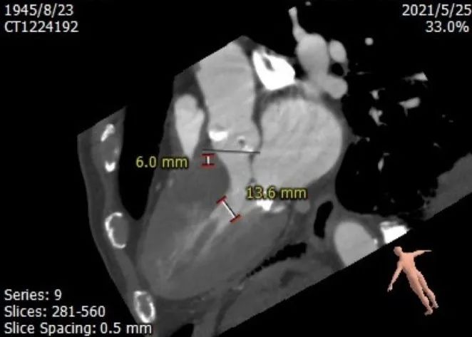
③患者心室腔容积较小,术中存在循环崩溃风险;瓣环下6mm处存在心肌膨出,人工瓣膜植入后左室传导阻滞概率高。
④主动脉弓距及夹角尚可,升主动脉内见散在钙化,过弓手法须轻柔,避免造成血管损伤。
⑤外周入路血管散见钙化灶,右侧股动脉存在钙化斑点,穿刺时应注意避开钙化斑点,器械进入手法须轻柔,避免造成血管损伤。
主动脉根部评估:
CT数据显示该患者为三叶三窦式主动脉瓣。
1. 主动脉瓣瓣环周长70.6mm,平均周长径 22.5mm,SOV:28.5mm*28.7mm*29.9mm,瓣叶增厚,瓣上钙化明显。
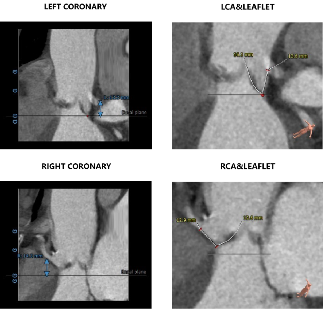
2. 左冠开口高度14.3mm,右冠开口高度16.4mm,高度可,根据瓦氏窦内径和瓣叶长度综合判断,冠脉堵塞风险小,双侧冠脉钙化严重。
钙化评估:
中度钙化,HU850积分472m㎡,RCC钙化最严重,其次为LCC、NCC。
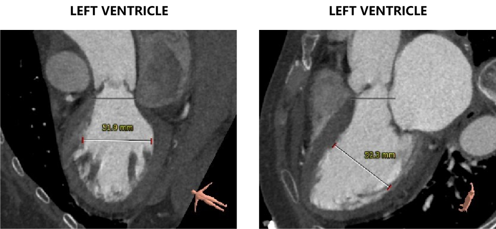
心室情况:
左室前后径28.7mm,左室最小径13.6mm,瓣环下6mm存在心肌膨出,
外周血管及主动脉弓解剖:
患者主动脉弓角度、弓距可。双侧入路血管内径可,CT见明显钙化,股动脉分叉位置可,右侧股动脉存在钙化斑块,存在血管损伤风险。
手术策略讨论:
①患者主动脉瓣钙化较重,瓣环下6mm存在心肌膨出,瓣膜植入后可能存在偏移,左室传导阻滞风险高,应小心释放,释放定位应选择瓣环下0-4mm处。
②患者右侧冠脉钙化严重,术中考虑并行PCI术。
③患者左室较小,循环崩溃风险高,球囊预扩前应预装瓣膜,缩短介入时间,避免循环崩溃。
④患者入路血管多见钙化,穿刺及器械进入时应注意避免血管损伤。
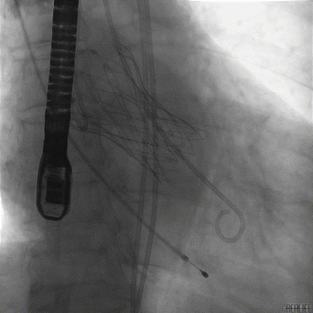
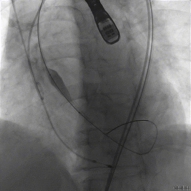
手术过程概览:
术中RCA示冠脉灌注尚可
窦底造影示反流明显
20mm球囊预扩无明显腰征
TaurusOne® 输送器顺畅过弓
造影辅助定位

精准释放
术后即时评估,患者超声下指标改善明显,无明显瓣周漏、瓣中漏;造影示瓣膜工作形态良好,无明显反流。
尹波教授团队术后复盘总结:
本病例是我院心内科开展的TaurusOne经导管主动脉瓣膜系统TAVI手术,患者术前诊断为中度AS,外周条件血管条件尚可,术中风险主要集中于冠脉钙化于股动脉钙化的处理上。因此我们在术前准备过程中,预备了动脉切开与PCI术所需耗材,意在视术中情况,及时改变入路建立方法或合并完成两类导管介入手术。通过团队同仁的配合,器械入路建立并未引发患者股动脉血管损伤;而经术中冠脉造影后,确定患者RCA灌注条件尚可,PCI术指征不明确;经术中讨论确定,暂不行PCI术。经20mm球囊预扩后造影显示,患者主动脉瓣上钙化推移明显,适于植入AV23号瓣膜,验证了术前评估的正确性。
由于患者外周血管钙化较严重,球扩完成后,输送器的进入过程必须轻柔。在输送器过弓过程中,TaurusOne输送器轻柔流畅的弯折过程,给我们团队留下了极佳的印象。最终,经团队密切配合,整个释放过程流畅、一气呵成。瓣膜一次释放完成,定位准确,主动脉反流微量,手术取得圆满成功。无论是输送器的过弓性能,还是瓣膜优秀的封堵效力,都展现了沛嘉TaurusOne瓣膜的不俗品质。希望未来,沛嘉的TaurusOne主动脉瓣膜系统,能够更好的服务临床,使得更多患者获益。
▼▼▼
患者基本信息:
患者为68岁老年女性,主因“反复活动后胸闷、喘憋2月余,加重4天”入院。既往高血压病史明确,2个月前无明显诱因出现胸闷、喘憋、轻微活动后即加重,尚可平卧,休息可调解。行相关辅助检查后考虑诊断为“心功能不全、快速房颤”,给予扩冠、强心、抗凝、利尿等综合治疗后,患者症状较前缓解。近一周患者胸闷、憋喘症状再次发作,并逐渐加重,为求进一步治疗收治心内科。既往心电图提示持续性心房颤动。超声心动图显示左室腔增大,心室壁未见明显增厚。CT报告显示左、右冠内径可,主动脉瓣叶纤维化增厚,微量钙化。
病例特点:
该患者为一例主动脉瓣中重度反流的患者。
①病人主动脉根部未见明显钙化,瓣膜锚定较困难,有向左室位移风险;主动脉瓣环与水平夹角大,近横位心。
②患者左室腔扩张明显,心脏收缩代偿能力较差。
③入路血管无严重钙化及其他病变,双侧血管内径良好,整体入路血管条件良好。
主动脉根部评估:
CT数据显示该患者为三叶三窦式主动脉瓣。
主动脉瓣瓣环周长81.5mm,平均周长径 26mm,SOV:31.8mm*31.5mm*29.6mm,瓣叶增厚,瓣上未见明显钙化,瓣环水平夹角58°。
左冠开口高度18.8mm,右冠开口高度21.9mm,高度可,根据瓦氏窦内径和瓣叶长度综合判断,冠脉堵塞风险小。
HU850钙化积分6mm³
左心室影像:
左室腔增大,心室壁未见明显增厚。
外周血管及主动脉弓解剖:
入路血管无严重钙化及其他病变,双侧血管内径良好,整体入路血管条件良好。
手术策略讨论:
①患者左、右冠状动脉内存在连续钙化灶,存在冠脉灌注不良风险,须制定冠脉保护策略。
②患者主动脉瓣纤维化增厚明显,无明显钙化,人工瓣膜可能发生位移,有瓣膜滑脱风险,左室传导阻滞风险较大,善用TaurusElite可回收功能,接近零位释放,多次校正释放位置。
③患者主动脉弓距可,主动脉弓夹角可,但过弓手法仍应尽量轻柔,避免引起血管损伤。
④患者外周血管未见明显钙化,入路血管内径可,入路条件良好,但仍须保持谨慎,避免外周血管并发症的发生。
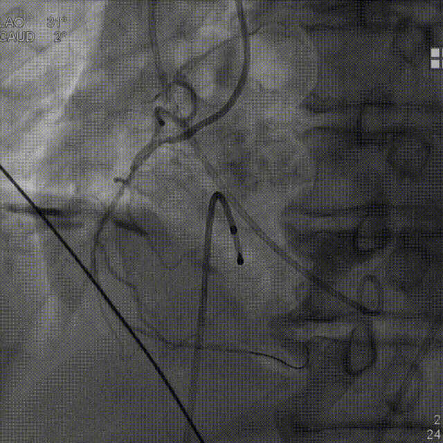
手术过程概览:
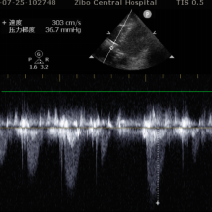
术前平均跨瓣压差36.7mmHg,左室射血峰值流速303cm/s,造影示明显反流。
两次球扩,第一次向主动脉内滑脱,第二次球囊扩张真诚,未见明显腰征,按术前评估选择AV29号瓣膜。
造影下第一次释放,定位不理想,回收后预备重新释放。
精准再定位,释放于预定位置,瓣膜工作状态良好,造影示微量瓣周漏。
术后即刻评估:
超声示微量瓣周漏,患者血流动力学指标显著改善,植入后平均跨瓣压差5mmHg,植入后峰值流速1.5m/s。
李波教授团队术后复盘总结:
这是一例单纯AR合并多种基础疾病的病例。患者主动脉根部未见明显钙化,径向锚定力来源较单一,术前评估考虑存在较大瓣膜移位风险。同时患者双侧冠状动脉可见钙化亮影,术中及瓣膜植入后,须避免冠脉封堵或灌注不良的发生。
患者外周血管条件较好,器械入路建立及器械过主动脉弓部相对顺畅。在瓣膜定位过程中,通过善用造影辅助,与TaurusElite的可回收功能,我们成功将瓣膜定植于预定释放位(瓣环下约2mm处)。瓣膜释放后形态规整,工作状态良好,未发生明显位移。最终结果印证了术前考量,即在瓣上钙化不足,径向锚定力来源较单一的情况下。通过增厚瓣叶提供的摩擦力、自膨瓣扩张带来的主动脉根部结构压缩力、以及人工瓣膜流入端与左室流出道的摩擦力,整体瓣膜仍能获得较为充足的锚定力,使得瓣膜移位风险降低。
专家介绍

副主任医师, 淄博市中心医院心内科副主任,兼任东院区心内科二病区主任,淄博市医学会心力衰竭分会副主任委员,淄博市医学会健康管理分会副主任委员,淄博市老年医学会心血管病分会副主任委员,山东康复医学会心脏康复分会委员,中国微循环学会血栓防治专家委员会委员,目前致力于冠心病复杂病变的介入治疗及心力衰竭、肺动脉高压的治疗,发表SCI论文4篇。获省科技进步三等奖、市科技进步二等奖各一项;获第九届淄博市青年科技奖。

淄博市中心医院,副主任医师,博士,硕士生导师。医务部副主任,心内科副主任。主要从事动脉粥样硬化性疾病的基础与临床研究。山东省医师协会心内科分会常委,山东省医师学会心力衰竭专业委员会委员,淄博市心血管介入质控中心副主委,淄博市医学会心血管专业委员会委员,淄博市医学会心血管专业委员会青年学组副组长。
作为主持人承担国家自然科学基金1项;山东省重点研发计划1项;山东省自然科学基金2项。以第一或通讯作者身份发表SCI文章19篇,累计影响因子61分,单篇最高他引1000 余次,收录为ESI高被引和热点论文。获得山东省医学科技奖三等奖一项,淄博市自然科学优秀学术成果一等奖二项,淄博市重大科技成果二等奖2 项。被评为山东省齐鲁卫生与健康杰青人才,淄博市中青年医学拔尖人才培养对象,淄博市青年名医。