2021年7月29日,兰州大学第一医院心脏中心白明教授团队成功完成甘肃首例TaurusElite®经导管主动脉瓣膜系统植入,这也预示着TaurusElite®在甘肃地区投入临床步伐的一个新的迈进!该病例为一例单纯主动脉瓣反流病例,患者高龄,长期主动脉瓣反流导致患者严重心衰,活动耐量极差,严重影响正常生活,曾辗转于多家医院求诊,均考虑患者年龄大、手术风险高而无法接受手术治疗。此次患者慕名来到兰州大学第一医院接受经导管微创介入手术,白明教授团队整体评估后制定手术策略,术中充分利用TaurusElite®可回收功能的有力保障,实现精确定位释放,最终在白明教授团队紧密配合下手术顺利完成,瓣膜释放稳定,患者血流动力学有效改善,将为患者带来更长久的获益!
病例简介
76岁女性患者,主因“间断心悸、头晕5年,加重1个月”入院,既往高血压、房颤病史,NYHA IV级。术前超声提示主动脉瓣重度关闭不全,LAD 39mm,LVEDD 59mm,LVESD 39mm,LVEF 59%,LVEDV 165ml,LVESV 67ml,LW/LVOH 47%,VC 0.33cm。
术前CT评估
• 三叶式主动脉瓣,瓣叶轻度增厚无钙化,未见明显黏连及融合;
• 双侧冠脉开口高度可,窦内未见冗长瓣叶,左、右冠开口可疑钙化;
• 瓦氏窦内径尚可,窦管交界、升主动脉内径可;
• 非横位心,主动脉弓宽度角度可,弓部血管可见局限附壁钙化;
• 双侧股髂血管走行及内径适宜,腹主动脉下段及双侧髂总动脉可见少量散在附壁钙化。
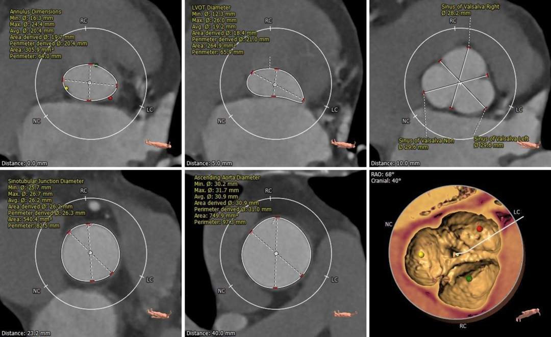
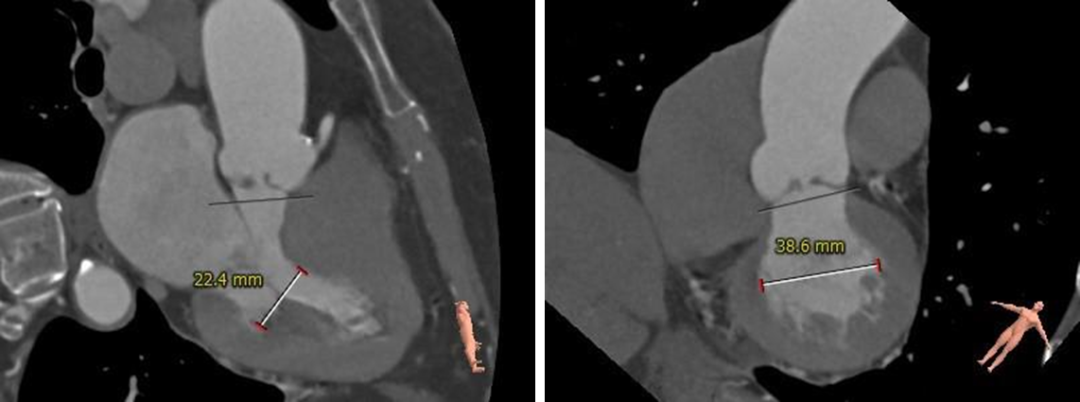
CT总览
根部及入路总览
根部测量
三叶式瓣,瓣叶增厚黏连,无钙化
冠脉高度
冠脉开口高度可,未见冗长瓣叶
左室测量
左室心肌肥厚
入路及弓部
入路内径及走行适宜,弓部角度宽度可
病例特点
• 单纯反流,主动脉瓣叶纤维增厚,无明显钙化 ;
• 瓣环、瓦氏窦、STJ尚未发生严重扩张;
• 长期返流,心功能差,左室扩张;
• 整体评估冠脉风险低,入路及弓部无明显限制因素。
术前讨论
白明教授带领手术团队对患者病情进行充分术前讨论分析,制定手术策略。
• 患者高龄女性,重度主动脉瓣反流,瓣叶纤维增厚,但无明显钙化,长期反流已导致患者心功能较差,左室肥厚扩张,入院时心衰症状明显,NYHA IV级。通过CT评估发现,该患者的另一特点,根部整体解剖情况较为理想,相较以往的反流患者,该患者瓣环、窦部、STJ等结构尚未发生严重扩张改变,这为施行TAVR手术提供了相对有利的条件,综合患者病情考虑决定进行经导管主动脉瓣置换。
• 反流病例,瓣叶单纯增厚无钙化存在,瓣膜锚定力低于传统狭窄患者预期,但基于根部结构综合分析,该患者LVOT以及窦部以上结构均能提供相对的辅助锚定,增加瓣膜的稳定性。考虑综合风险,该手术对定位植入精度和稳定性提出了较高要求,手术将采用TaurusElite®可回收瓣膜系统AV23瓣膜,采取瓣环下0-2mm定位释放策略,充分利用TaurusElite®的多次可回收功能作为保障,必要时进行部分回收或全回收调整位置,以达到最佳释放定位。
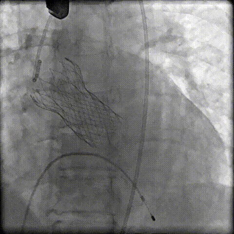
术中影像
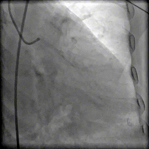
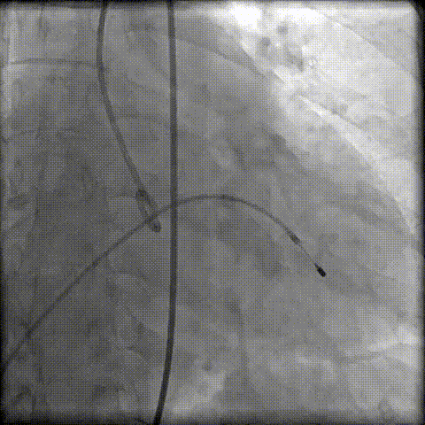
术前冠脉评估
“右足”+“左头”根部造影评估
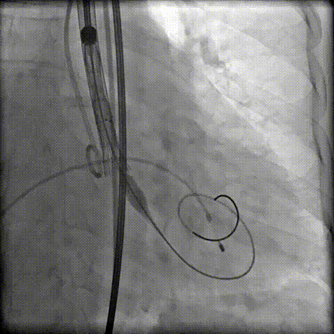
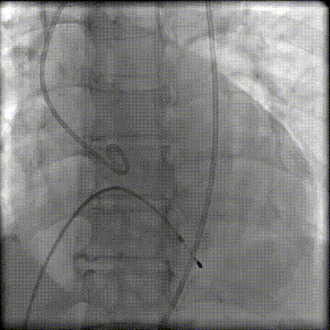
第一次定位释放

工作位瓣膜“上跳“,完全回收后二次定位
第二次定位释放

顺利脱钩撤鞘,瓣膜位置及形态理想,无明显瓣周漏
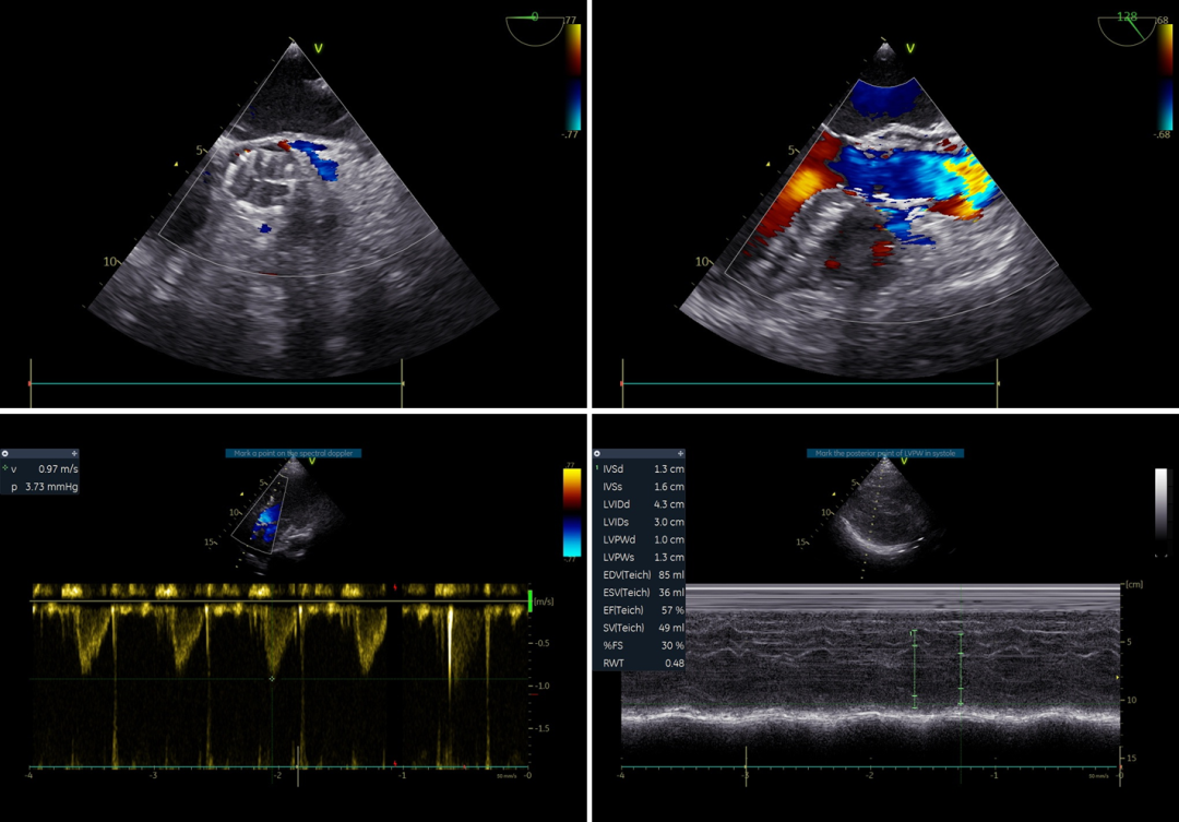
术后血流动力学
瓣膜展开良好,无明显瓣周漏;人工瓣膜流速0.97m/s,压差3.73mmHg;植入后30min,EDV 85ml(术前165ml),ESV 36ml(术前67ml)
术者寄语
此次我院成功开展了首例TaurusElite®植入手术,同时也是对又一种国产瓣膜的全新尝试。此次首例开展即选择了难度较高的单纯反流病例,同时患者年龄较高,心功能较差,也对手术的安全性和精确性提出了更高的要求。TaurusElite®具备的多次可回收功能为这一需求提供了更多的操作冗余和机会,最终术中通过一次完全回收,对瓣膜进行重新定位调整,最终使瓣膜到达了稳定理想的释放位置,手术顺利完成,患者血流动力学有效改善。很高兴看到TaurusElite®作为又一个国产瓣膜展现出的良好性能和稳定性,也期待越来越多这样新产品的出现以造福更广大的结构性心脏病患者。
专家介绍
主任医师,医学博士,教授,硕士生导师,兰州大学第一医院副院长;甘肃省医学会心血管病专业委员会主任委员;甘肃省心血管疾病重点实验室主任;甘肃省心血管介入专业质控中心主任;甘肃省领军人才;甘肃省卫生健康行业骨干人才;中国医师协会心律学专业委员会委员;中国医师协会胸痛专业委员会委员;中国胸痛中心认证专家;国家卫健委冠心病、心律失常及先心病介入培训基地导师。