2021年7月26日南方医科大学南方医院心血管内科修建成教授率领瓣膜介入团队,在麻醉科团队、ICU团队、心外科团队、介入科团队、超声科团队以及影像科等兄弟科室全力配合下成功完成了广东省首次TaurusElite®经导管主动脉瓣系统植入,成功为一例二尖瓣成形、主动脉瓣替换、升主动脉内膜撕裂局部修复术后生物瓣衰败患者解除了病痛。
运筹帷幄,步步为营
全面评估手术风险,详细制定手术方案
患者基本情况
患者老年男性,76岁,于2015年行二尖瓣成形,主动脉瓣替换术,二尖瓣植入32#Physio I二尖瓣成型环,主动脉瓣位植入23#爱德华人工瓣膜(perimount 21)。近一年半出现活动后气促,经诊断主动脉生物瓣重度狭窄合并重度关闭不全,考虑患者年龄及脑梗死等危险因素,外科二次手术风险高,经过充分的术前食道超声及心脏CTA的评估,修建成教授团队认为,目前国际上“瓣中瓣”(Valve in Valve)技术可为该患者解决病痛,在与患者家属充分沟通后,采用经股动脉途径为患者进行主动脉瓣的“瓣中瓣”植入。
影像学检查结果
超声检查
心脏彩超:1、主动脉瓣置换后生物瓣重度狭窄合并重度关闭不全;主动脉瓣瓣口流速Vmax 4.24m/s,峰值跨瓣压差72mmHg,平均跨瓣压差36mmHg,瓣环内径20.9mm,升主34.2mm。2、左房增大;3、升主动脉增宽;4、室间隔增厚;5、二尖瓣、三尖瓣及肺动脉瓣返流(轻度);6、左室舒张顺应性减退。
术前CT检查
主动脉根部评估
术前CT:三窦氏主动脉瓣,主动脉瓣SAVR术后,SMVP术后,二尖瓣人工瓣环距主动脉瓣环约5mm;瓦式窦内径尚可,窦管交界、升主动脉内径可。
左心室解剖评估
左心室心腔稍偏小,可能会出现急性大量主动脉瓣反流而导致低血压甚至循环崩溃的风险。
入路评估
外周入路血管散在钙化,双侧入路血管管径良好,整体入路血管条件尚可。
手术难点及策略
1、患者外科人工瓣膜置换术后,与常规AS病例解剖相比,锚定难度较高;
2、TAVR瓣膜植入位置要求精准,既要达到治疗生物瓣衰败的目的,又不能影响自体二尖瓣瓣膜功能,如有瓣周漏,瓣周漏需控制在少量范围以内;
3、左室心腔小,术中循环稳定挑战较大,需麻醉医师密切关注给予支持;
4、选择合适的瓣膜很重要,瓣膜产品要能够精准释放,释放后位置稳定,要具备多次可回收功能,最终达到理想的治疗效果。
通过对手术难点的分析,修建成教授团队经过详细讨论,并制定出相应的术中策略:
1、选择20mm球囊预扩,推荐球囊预扩角度LAO 11 CRA20(左冠切线位),为避免术中循环崩溃,球囊扩张前需预装瓣膜,具体释放瓣膜型号结合球囊预扩情况决定;
2、为保证瓣膜的植入的效果,预选择AV26瓣膜,在RAO 11 CAU20角度下释。释放高度推荐较高位(瓣环下0-2mm)。释放后可调整至左前斜头位进一步确定人工瓣膜形态。
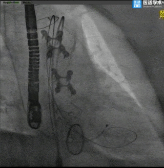
手术过程
主动脉根部造影
球囊预扩
TaurusElite®顺利过弓
TaurusElite®首次释放
TaurusElite®首次回收
TaurusElite®二次释放
TaurusElite®二次回收
TaurusElite®最终释放形态
术后评估
主动脉瓣术后平均压差7mmHg,无瓣周漏。
对本例手术,修建成教授团队通过术前详尽的检查分析评估,对可能发生的各种突发情况进行充分预估,并准备了相应的应对预案,手术中采用左前斜头位体位,较高位释放(0-2mm),术后跨瓣压差降至7mmHg,血流动力学得到有效改善,为患者带来更长久的生存预期和更高的生活质量。本例手术的成功开展再次展现了修建成教授团队在诊治高难度复杂主动脉瓣膜疾病的雄厚实力和丰富经验,为临床上解剖异常、情况复杂的患者行TAVR治疗提供了更多的参考,也为外科生物瓣膜毁损后的老年高危心脏瓣膜病患者的治疗提供更多的信心!
术后采访
修建成教授寄语:南方医科大学南方医院作为广东地区率先开展TAVR的中心,积累了相当多经验,本次手术成功也充分展现了我们在实践中不断进步的成果。此例患者为生物瓣损毁后VIV植入患者,这对于瓣膜输送器跨瓣能力、瓣膜释放后的稳定性都提出了非常高的要求。TaurusElite®经导管主动脉瓣系统升级为更精进的输送系统,兼备了良好的轴向刚性和过弓柔顺性以及瓣膜释放操作稳定性,瓣膜定位精准在术中得到了良好的体现,其可回收性能表现亦是可圈可点,在术中良好展现。他指出,主动脉瓣重度狭窄的的手术治疗几乎不容出错,在过往不可回收时代,手术只有一次机会加上这次病例为外科二尖瓣成形、主动脉瓣替换术后生物瓣衰败患者,与常规AS病例解剖相比,锚定难度更高,瓣膜植入位置要求更为精准,既要达到治疗生物瓣衰败的目的,又不能影响自体二尖瓣瓣膜功能。而有了可回收瓣膜系统后,我们可以在术中随时调整,选择最佳的释放位置,能让患者得到更好效果的治疗。对于TAVR手术开展,需要手术团队更注重对各成员的技术磨练,通过各类型手术经验累积,以拔高整个团队的诊疗水平。随着可回收瓣膜时代的到来,可回收瓣膜有望全面降低手术风险,同时缩短医生学习曲线。本次广东地区首例TaurusElite®成功植入,带来治疗技术向更高难度挑战的保障,以及更稳定的病人术后获益,相信随着国内医生经验的累积与国产厂家的不断创新,将进一步推动中国结构性心脏病介入治疗的蓬勃发展,给更多主动脉瓣病变患者带来福音。
专家介绍

中华医学会心血管病学分会第九届委员会动脉粥样硬化与冠心病学组委员;中华医学会心血管病学分会第九届委员会青年委员会委员;第三届中国人类遗传资源管理专家组成员;广东省介入性心脏病学会冠脉影像与功能学分会副主任委员兼秘书长;广东省医学会心血管病学分会第十届委员会青年委员会副主任委员;广东省介入性心脏病学会冠心病介入分会委员;广东省介入性心脏病学会周围血管介入分会委员;广东省胸痛中心协会理事;广东省医学会老年医学分会动脉粥样硬化组秘书;广东省医学会医学科普与健康传播分会常委;广东省中西医结合学会心血管介入专业委员会第一届委员会委员;广东省中医药学会老年病专业委员会第一届委员。