2021年7月22日,在陈绍良教授的精心指导下,南京市第一医院心内科张俊杰教授带领团队再次完成一例危重病人的高难度大瓣环主动脉瓣重度反流的TAVR手术并向2021 CHINA VALVE(HANGZHOU)成功转播。此次手术得到了医院领导、心胸外科、麻醉科、体外循环组、重症医学科及医务科等科室的大力支持。
病例资料
患者为69岁男性,因胸闷气喘2年,加重半月入院。入院诊断为缺血性心肌病、重度主动脉瓣关闭不全、持续性房颤、慢性阻塞性肺疾病、胃癌胃大部切术后,心超提示全心增大并左室壁运动减弱,左室射血分数28%,左室舒张末期内径70mm,重度主动脉瓣关闭不全,中重度二尖瓣关闭不全,中度三尖瓣关闭不全,中度肺动脉高压,CT提示冠脉有严重狭窄。结合患者病情,张俊杰教授认为这样的患者比较适合外科换心手术,但心外科专家团队认为患者STS评分高达12.487%,手术风险太高,且等待心源的时间不确定,如不尽快手术,可能会影响患者的生命安全,建议尽快行PCI+TAVR一站式手术。
术前CT评估
该患者全心扩大,瓣环与水平成角常规,瓣环较大(周长约87mm),流出道周长月94mm且流出道长度短,形态程喇叭口状。双侧冠脉开口较高,窦宽较宽,窦管结合部直径及高度良好。整体冠脉闭塞风险较低,瓣膜移位风险较高。

AAO
P: 120.7 mm
Maximum D: 38.9 mm
Annulus
P: 87.6 mm
Maximum D: 31.5 mm
LVOT-2mm
P: 91.6 mm
Maximum D: 32.8 mm
LVOT-4mm
P: 94.7 mm
Maximum D: 34.5 mm
LCA Height:15.7 mm
RCA Height:14.3 mm
SOV
Maximum D :38.6 mm
Minimum D :36.7 mm
STJ
Height:22.8 mm
P:112.2 mm
D :36.7 mm
手术过程
在医务处协调下,心胸外科、麻醉科、重症医学科、体外循环组做详尽预案的充分准备下,张俊杰教授成功完成了这一例高难度的TAVR+PCI手术,在全麻和ECMO湿备的保护下,术中首先采用双支架技术成功处理LAD/D1复杂分叉病变,随后成功植入VitaFlow 30瓣膜,术后植入IABP辅助患者的心功能的恢复,并转ICU进一步治疗。
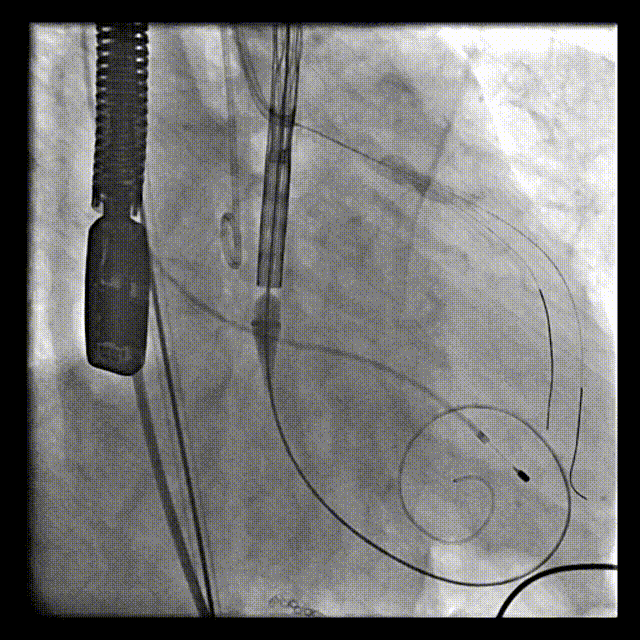
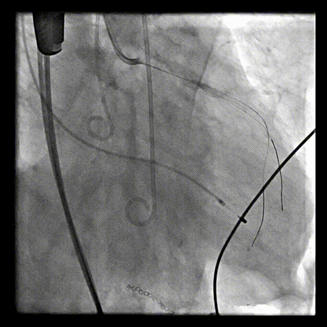
主动脉根部造影示重度主动脉瓣反流
瓣膜释放前定位

瓣膜稳定释放
释放后造影:瓣膜位置良好,无瓣周漏
术前术后超声对比
术后效果
患者术后24小时停用呼吸机辅助呼吸、48小时成功拔出IABP。复查心超提示人工瓣膜工作良好,无瓣周漏,心功能较术前改善,二尖瓣返流由术前的中重度减少至轻度。
这一例高难度重度主动脉瓣反流的TAVR手术的圆满成功获得了线上各位专家的高度肯定,张俊杰教授介绍道:“对于重度主动脉瓣反流患者的TAVR治疗,目前还是Off-Lable的状态,对于外科手术高危患者的TAVR治疗,我们仍处于探索性的阶段。
2021年5月15日,陈绍良教授牵头设计并启动了SEASON AR的研究,入组纯反流且外科风险高危、虚弱或拒绝外科手术的病人,旨在探讨与药物治疗相比较,TAVR治疗外科高危的重度主动脉瓣反流的安全性和有效性。该研究是由中国医生发起的、国际首个前瞻性、多中心随机对照研究比较药物治疗与TAVR治疗重度主动脉瓣反流安全性及有效性的研究,相信该研究结果的公布定能为TAVR治疗重度主动脉瓣反流提供中国经验。
南京市第一医院TAVR团队
专家介绍

医学博士、主任医师,教授,博士生导师。南京市第一医院副院长、心内科主任。享受国务院政府特殊津贴,获原卫生部突出贡献中青年专家、江苏省333高层次人才培养第一层次、江苏省突出医学成就奖、第一批江苏“卫生领军人才、科教强卫工程医学杰出人才、南京市科技功臣、南京市劳动模范、南京市政府参事等荣誉称号。长期从事心内科的临床医疗、科研及教学工作。擅长心血管病的基础研究、临床诊断与治疗,尤其是在介入心脏病学领域具有丰富的经验、娴熟的技术和丰富的研究成果。在心肌细胞再生、分叉病变及肺动脉高压介入治疗方向原始创新性地发明了DK CRUSH及肺动脉去神经术。现担任美国心脏病学院(ACC)及美国心脏学会(AHA)多个专科委员会委员、美国心血管造影与介入协会(FSCAI)董事会成员、美国生物化学及分子生物学会(ASBMB)委员、欧洲心脏学会(ESC)委员、亚太分叉病变俱乐部(APC)及CBS大会主席、亚太介入心脏病学会(APSIC)理事,国家卫健委能力建设和继续教育心血管病学专家委员会副主任委员、中国医师协会心血管内科医师分会副会长、中国研究型医院协会心血管循证与精准医学专业委员会副主任委员、中华医学会心血管病分会心血管临床研究学组组长、中国病理生理学会血管医学专业委员会副主委等。担任《JACC Cardiovascular Interventions》杂志特约编委及中国区副主编、《European Heart Journal》中文版副主编,《Cardiology Discovery》副主编,《Catheterization Cardiolovascular Interventions》及《EuroIntervention》的特约编委等杂志的编委及多个SCI杂志审稿人。近年来获科技研究成果40余项,主持国家自然科学基金重大及面上项目4项;组织国际性、前瞻性、多中心临床研究10余项;获发明专利、实用新型专利、国际专利30余项。主编、副主编专著10部,参编20余部。作为第一和通讯作者发表SCI收录论文200余篇,单篇最高影响因子29.983。2014至2020年连续7年入选“医学”类中国高被引学者榜单,单篇论文最高被引用1000余次以上,为中国心血管专业论文被引最多篇次。双对吻挤压术(DK CRUSH术式)被2018年欧洲心脏病学年会(ESC)《心肌血运重建指南》向全球推荐。2020年荣登全国心血管病专家学术影响力百强名单第二名。

医学博士,主任医师,南京市第一医院心内科常务副主任、心导管室主任,国家卫计委冠心病介入培训导师。担任中华医学会心血管病分会青年委员、心血管临床研究学组秘书、中国医师协会心血管内科医师分会血栓防治学组委员、卫健委冠脉介入培训导师、美国心血管造影与介入学会会员(FSCAI)。担任亚洲分叉病变俱乐部及冠状动脉分叉病变峰会秘书长、美国经导管心血管治疗(TCT)主席团成员、及中国经导管心血管治疗(CIT)理事以及资深工作组成员。担任中华心血管病杂志通讯编委、JACC中文版、JACC Cardiovascular Interventions中文版和EHJ Cardiovascular Imaging中文版编委, 担任EuroIntervention、JAMA Cardiology 杂志的审稿人及国家自然科学基金评审专家。长期从事于心血管疾病的临床和研究工作,在冠心病介入诊断与治疗,以及经导管主动脉瓣置换(TAVR)治疗重度主动脉瓣狭窄及关闭不全等方面具有丰富的经验和娴熟的技术。近五年以第一作者或通讯作者发表SCI论文30余篇(累计IF超过150;其中两篇JACC,最高IF:24.094;一篇EHJ,IF:29.983),参编著作5部及国内外指南和专家共识10部。近四年来作为主持人负责国家自然科学基金面上项目2项、江苏省六大人才高峰项目、江苏省社会发展面上项目、南京市有突出贡献中青年专家、南京市中青年拔尖人才项目以及十三五南京市青年人才培养项目(第一层次)。荣获2018 年中华医学科学技术奖二等奖(排名第二)、2018 年江苏省医学科技奖一等奖(排名第二)以及 2018 年江苏省科学技术奖一等奖(排名第二)。