2021年7月21日,云南省阜外心血管病医院张戈军教授及潘家华教授团队成功完成了TaurusElite®经导管主动脉瓣系统上市后云南的首次植入。该台手术同时受邀参加结构心领域权威会议CHINA VALVE(HANGZHOU)会议上直播演示。术中张戈军教授及潘家华教授团队成功为一例高难度二叶瓣主动脉瓣钙化不均匀患者进行了经导管主动脉瓣置换。该病例极具特点,患者为先天性的二叶式主动脉瓣畸形并且伴有不均匀钙化,本身手术难度较大对手术术者及假体瓣膜都有着较高要求,术中使用了TaurusElite®的可回收功能进行了瓣膜的再次精确定位,为手术远期效果及成功率提供了保障。患者植入人工瓣膜后瓣膜工作正常稳定,均未出现并发症,术后即刻患者血流动力学得到了显著改善,为患者带来更长久生存期受益和更高生活质量。
患者基本信息:
患者为75岁男性,胸闷憋气20余年。主动脉瓣重度狭窄伴重度反流,二尖瓣中度反流,合并冠心病,心律失常,二度房室传导阻滞,高血压,外周血管粥样硬化,心功能Ⅲ级。经术前超声心动图诊断,主动脉瓣前向血流速度4.3m/s,峰值压差74mmHg。
术前评估:
病例特点:
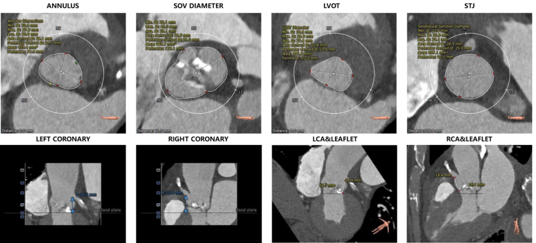
主动脉根部评估:
瓣环上解剖结构评估:
外周血管及主动脉弓解剖:
手术策略讨论:
1.根据外周入路情况推荐左侧股动脉作为主入路,右侧为辅助入路。
2.根据当前影像资料,推荐跨瓣角度为RAO 14° CAU26°左右( 双窦展开位),预扩角度为RAO 14° CAU26°左右( 双窦展开位);推荐释放角度RAO 14° CAU26°左右( 双窦展开位)。
3.根据CT测量瓣环及瓣上结构数值,推荐选择22mm球囊预扩张,AV26瓣膜。
手术过程概览:
主动脉根部造影
22mm球囊预扩
输送器过弓
瓣膜回收再定位
26mm瓣膜释放
术后造影
术后即刻评估:
术后超声
术后几乎无压差,钙化一侧微量反流,瓣膜正常工作。
阜外华中心血管病医院心内科张戈军教授:TAVR技术发展前期,为保证手术安全患者获益,对患者主动脉根部解剖结构要求较高。随着技术的发展更多高难度挑战病例需要去得到有效的治疗,可回收主动脉瓣置换系统手术过程中安全性更高并且给到术者足够的调整空间。针对手术难度较大瓣膜位置要求精准的病例更为有利。
专家介绍

结构性心脏病中心副主任,16病区副主任。国家心血管病中心专家委员会先心病专委会委员、国家医学考试中心心血管内科专科医师考试专家委员会先心病组学术秘书、卫计委先心病介入诊疗国家质控中心秘书等职务。专长:各种先天性心脏病的介入治疗以及经皮瓣膜球囊成形术、经导管瓣膜植入术、经皮左心耳封堵术等各种结构性心脏病介入治疗技术;还擅长于复杂先天性心脏病的影像诊断和镶嵌(外科+介入)治疗技术。

结构性心脏病中心主任。任云南省医院协会心内科管理专业委员会主任委员,亚太地区结构性心脏病专业委员会委员,全国先天性心脏病专业第一届委员会委员等职。专长:从事心血管疾病诊断治疗、教学、科研三十余年,擅长冠心病危重病介入诊疗、先天性心脏病及瓣膜病介入诊疗,累计完成手术逾万例。