2021年7月17日,青岛市市立医院本部院区王正忠教授团队成功完成TaurusOne®经导管主动脉瓣系统上市后青岛地区的首次植入。成功为一名“主动脉瓣病变并反流(中大量)、左心大、二尖瓣退变、三尖瓣反流(少量)、 PCI术后”的患者进行了经导管主动脉瓣置换手术。
瓣膜植入后工作稳定,未出现冠脉阻挡,术后即刻清醒,血流动力学得到明显改善,为患者生命健康带来福音。
患者基本信息:
68 岁老年男性,主因”发作性胸痛、胸闷2年余,加重伴心慌3月“ 入院。既往冠心病病史明确,2021年4月13日在本部院区行IVUS指导下左前降支支架植入术,术后给予抗凝、抗血小板凝集、降压、降脂等治疗。门诊以“冠状动脉硬化性心脏病、冠状动脉支架植入后状态、主动脉瓣关闭不全”收住我科,多年高血压病、糖尿病,伴阵发房颤 。入院心电图提示电轴左偏。超声心动图显示主动脉瓣叶增厚,回声增强,提示主动脉瓣中重度关闭不全;升主动脉最大径40mm,提示升主动脉扩张。CT报告显示PCI术后,左、右冠内径可,主动脉瓣增厚明显,未见钙化。
术前CT评估:
⦁ 双侧血管内径可,存在明显钙化,主动脉弓距与夹角位置可,股动脉分叉位置可,符合血管入路条件。
病例特点:
该患者为一例主动脉瓣中重度反流的患者
①病人主动脉根部未见明显钙化,瓣膜锚定较困难,有向左室位移风险
②患者冠状动脉支架植入术后,粥样硬化累及多支
③患者外周血管钙化严重,入路风险较高,需注意防范外周血管风险。
主动脉根部测量:
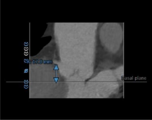
冠脉高度测量:
左冠开口高度14.1mm
LEFT CORONARY
右冠开口高度17.3mm
RIGHT CORONARY
钙化分布:
主动脉根部CT动态图:
外周血管及主动脉弓解剖:
手术策略讨论:
①考虑到患者冠脉病变弥漫,支架植入术后,存在支架内再狭窄风险,术中需进行CAG检查,并制定冠脉治疗策略。
②患者主动脉瓣钙化、增厚不明显,人工瓣膜位移可能发生位移,有瓣膜滑脱风险,左室传导阻滞风险较大。
③患者主动脉弓存在连续钙化灶,过弓手法应尽量轻柔,避免引起血管损伤。
④患者外周血管钙化严重,入路条件较差,穿刺及器械进入时,须保持谨慎,避免外周血管并发症的发生。
⑤患者有糖尿病、PCI术后既往史,长期服用抗凝药物,术中应注意止血,避免患者失血过多。
手术过程概览:
术前冠脉造影,冠脉灌注正常

术前超声多普勒影像
主动脉根部造影
可见中重度反流
导丝轻松跨瓣

Taurus输送器柔顺的姿态,过弓不伤弓
瓣膜释放,彰显配合精准
瓣膜释放后形态位置良好,造影微量返流
术后即刻评估:
主动脉根部造影:
王正忠主任病例总结:
这是一例富有挑战性的单纯AR瓣膜植入术,患者既往疾病病情复杂,合并冠脉植入术后,对于人工瓣膜植入后的顺利工作产生了较大挑战。同时由于患者外周血管条件较差,对术者建立入路、导入器械的技术,都存在一定考验。最终,在安贞医院张海波教授的支持下,经团队密切配合,外周入路建立与跨瓣操作顺利完成。沛嘉TaurusOne®输送器以其极佳的过弓能力,让我们团队印象深刻。瓣膜一次释放完成,定位准确,主动脉反流微量,手术取得圆满成功。无论是输送器的过弓性能,还是瓣膜优秀的封堵效力,都展现了沛嘉TaurusOne®瓣膜的优秀设计。希望未来,沛嘉的“金牛瓣”可以更多的应用于临床, 造福更多的患者。
张海波教授病例总结:
这是一例很有挑战性的病例,单纯AR,无狭窄无钙化,LVOT小于瓣环,心肌肥厚,容易从下向上挤压瓣膜。瓣膜在释放锚定时会有很大困难。只能依赖于自膨瓣的oversize和释放时精准定位。所以术前评估和瓣膜型号的选择尤为重要。这个病例的瓣环平均径是24.3mm,通常返流的病例在选择瓣膜型号时会比瓣环oversize15%左右,评估后,选择了29号瓣膜比较合适。不仅仅要评估瓣环,我们通过评估主动脉根部整体的结构,精准测量,为手术做了充足准备。术中,我们采用沛嘉公司的瓣膜产品,利用了LVOT,瓣环,STJ,升主动脉多平面立体锚定来协助瓣膜的固定,同时沛嘉瓣膜及输送系统的表现都非常优异。输送器柔软,轻松过弓,定位精准,释放过程容易掌控,整个过程流畅一气呵成。为我们国产瓣膜产品感到骄傲,也希望沛嘉公司能给我们带来更多更好的产品,为临床医生提供更多治疗方案,造福患者。
专家介绍

主任医师,医学博士,硕士生导师。
中华医学会青岛市心血管分会副主任委员;青岛市心血管介入分会副主任委员;中华医学会青岛市起搏与电生理副主任委员;山东省起搏与电生理分会委员;山东省医师协会心律失常分会委员;山东省复杂冠心病介入俱乐部会员;《当代医师》杂志编委。
2006年曾在德国埃森学习先进的心脏介入技术;2013-2015年在渥太华心脏病研究院介入培训。
熟练掌握冠脉内支架植入术、冠脉内血栓经皮导管抽吸、冠脉内旋磨术、FFR、IVUS、IABP等技术。熟练掌握永久起搏器埋藏技术。第一作者发表国家级及省级文章30余篇,SC2篇,作者专著2部。曾获山东省优秀青年岗位能手、青岛市优秀青年医学专家称号。

副主任医师,博士,青岛市优秀青年医学专家。
专长优势:擅长IVUS、OCT、FFR等腔内影像技术指导的冠心病的精准介入治疗,永久性起搏器植入及TVAI。发表SCI论文10余篇,国家核心期刊10余篇。青岛市科学技术奖1项。欧洲心脏病学杂志(EHJ)中文版编委。学会兼职:中国老年保健协会心血管专业委员会委员,中国老年学和老年医学学会心血管病精准医疗专家委员会青年委员,中国老年保健医学研究会慢性病防治管理委员会委员,山东省预防医学会心血管疾病防治分会委员,青岛市医学会心血管病专科分会青年委员,青岛市心脏康复学专科分会委员。