2021年7月18日,四川省人民医院结构性心脏病团队成功完成TaurusElite®经导管主动脉瓣系统上市后西南地区的首次植入。成功为一例重度主动脉瓣狭窄的患者进行了经导管主动脉瓣置换术。术中四川省人民医院结构心脏病团队使用了TaurusElite®的可回收功能,实现了瓣膜位置的超精准释放,显著改善了患者的血流动力学,在TAVR领域跨入了领先的“可回收时代”。
患者基本信息:
患者为55岁女性,左心显著增大、心功能IV级、CKD3期、营养不良,一般情况差。超声提示:主动脉瓣增厚,瓣叶开放显著受限,关闭不佳;二尖瓣稍增厚,后瓣动度差,开放稍受限。心包腔少量积液,主动脉瓣前向血流加速Vmax=4.8m/s,PGmean=62mmHg。超声提示主动脉瓣重度狭窄伴中度反流,二尖瓣轻微狭窄,三尖瓣轻度反流。
术前评估:
1.主动脉瓣瓣环周长86.9mm,平均周长径27.6mm。
2.主动脉瓣呈三叶式,瓣叶纤维增厚,瓣叶粘连严重,钙化散在分布。
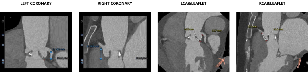
3.左右冠脉开口高度可,冠状动脉内径较粗,左冠瓣长度大于冠脉开口至瓣叶附着缘距离。
4. 主动脉瓣环与水平面夹角可,主动脉弓角度与宽度可。入路血管局限少量钙化,双侧血管内径良好,整体入路血管条件尚可。
病例特点:
该病人为一例典型主动脉瓣重度狭窄患者
瓣叶纤维化增厚严重,左冠瓣长度大于冠脉开口至瓣叶附着缘距离,左侧冠脉有一定堵塞风险。
该病例少量钙化,合并主动脉瓣中度反流,瓣膜锚定难度偏高,有瓣膜位移风险。需采用较高位(瓣环下0-2mm)释放策略,释放位置需精准。
脉根部评估:
外周血管及主动脉弓解剖:
手术策略讨论:
李刚、曾杰教授带领团队进行术前讨论
1.该病例主动脉瓣瓣环平均径、周长径数值位于瓣膜推荐型号AV29至AV31型号之间,需综合考虑左侧冠脉阻塞风险和瓣膜位移风险,术中需通过主动脉根部造影和球囊预扩确定瓣膜尺寸。
2.患者瓣叶增厚严重,左冠瓣长度大于冠脉开口至瓣叶附着缘距离,存在冠脉阻挡风险,术中需根据球囊预扩情况决定是否做冠脉保护。
3.根据术前CT评估,跨瓣角度为LAO 5° CAU 5°(右窦中心位)。球囊预扩角度为LAO 5° CRA 5°(右窦中心位),释放角度为RAO 25° CAU 29°(左右窦重合)。使用25mm球囊预扩,根据沛嘉TaurusElite®产品设计特点采取瓣环平面下0-2mm高度释放策略。
4.患者双侧入路血管条件合格,常规选择右侧股动脉为主入路,左侧为辅入路。
手术过程概览:
曾杰教授及结构性心脏病团队在术中操作TaurusElite®TAVR 系统。
术前根部造影
导丝跨瓣
球囊预扩
瓣膜过弓
第一次定位
第一次释放
第一次回收
第二次释放
第二次释放后造影
第二次回收释放
第三次释放
瓣膜最终释放造影
后扩
后扩造影
术后即刻评估:
术后超声心动图显示:主动脉瓣人工瓣膜前向1.6m/s,平均跨瓣压差由瓣膜植入前的69mmHg降至约10.5mmHg,微量反流,使用25mm球囊后扩,之后平均跨瓣压差为8mmHg,无返流,手术效果良好。
专家介绍

四川省医学科学院 四川省人民医院心血管内科主任,主任医师,硕士生导师。
《实用医院临床杂志》编委,《心血管病学进展杂志》编委。
美国心律学会Fellow,中国生物医学工程学会心律学分会委员,中国医师协会心血管内科医师分会委员,中国医师协会心血管内科医师分会第二届抗栓委员会委员,中国高血压联盟第五届理事会理事,四川省医学会心电生理与起搏专业委员会副主任委员,四川省康复学会心血管病康复专业委员会主任委员,四川省医师协会心血管病分会副会长。成都市心血管专委会副主任委员,四川省人民医院胸痛中心技术总监。
科研项目“超声心脏的心电生理学的应用基础研究”,于2003年获四川省科技进步一等奖,“生理性起搏的系列研究(应用研究)”于2009年获成都市医学科技奖一等奖。
2010年11月~2011年5月在香港中文大学威尔斯亲王医院做访问学者。

心内科主任医师,冠脉亚专业组长 四川省卫健委学术技术带头人 卫生部冠脉介入基地导师 四川省专家服务团特聘专家。长期从事心血管疾病临床诊疗与研究,擅长冠心病临床诊疗及冠状动脉介入。
学术任职:中国医师协会心血管分会超声心动图和影像学组委员;四川省医学会心电生理与起搏专委会委员;四川省医师协会心血管分会委员;四川省康复学会心血管专委会副主任委员;中国康复医学会心血管病专委会全国青委;四川省医学会循证医学专委会委员;成都市医学会心血管专委会冠脉学组委员;成都市中西医结合学会脑心同治专委会副主任委员。
主持并参与卫生厅,医学会及科技厅多项课题;以第一作者,通讯作者在国内外期刊公开发表论著20余篇,SCI3篇。

副主任医师,硕士生导师。
心内科结构组组长;国家卫计委房颤脑卒中防治委员会委员;亚太结构性心脏病青年俱乐部黄金会员;中华医学会心电生理和起搏分会左心耳封堵工作委员会委员;中华医学会心电生理和起搏分会左心耳封堵首批技术培训导师;四川省医师协会心血管医师分会委员;四川省心血管康复专委会常委;四川省卫健委学术技术带头人后备人选;WATCHMAN左心耳封堵术全球带教专家,“桃李奖”获得者。