2021年7月15日,浙江省人民医院崔勇教授团队成功完成TaurusElite®经导管主动脉瓣系统全国上市后在心外科的首例植入,为一位86岁高龄主动脉瓣极重度狭窄患者带来新生。
团队合影
患者基本信息
患者为86岁老年女性,左房增大,室间隔与左室后壁增厚。收缩期主动脉瓣瓣上流速5.4m/s,峰值压差117mmHg。超声提示主动脉瓣重度狭窄伴轻度关闭不全,二尖瓣轻度反流,三尖瓣轻度反流。
术前评估
三叶式主动脉瓣,重度钙化,钙化较均匀分布于瓣叶边缘并延伸连接血管壁。
左右冠高度合适,冠脉可见局部钙化,左冠瓣长度>冠脉开口与瓣叶附着缘距离。
瓦氏窦、窦管交界及升主动脉整体内径较小;左右交界及左冠窦上方升主动脉壁有一长条型严重钙化,延近小弯侧延申至升主动脉。
入路血管钙化严重,弓部、腹主动脉起始段及髂动脉分叉前后钙化极重,多处环状及近环状钙化,双侧血管内径尚可。
主动脉根部测量
冠脉高度、瓣叶长度测量
瓣环上多平面测量
外周血管及主动脉弓解剖
评估与讨论
冠脉风险方面,左右冠高度适中,虽然左冠瓣瓣叶长度偏长,但是结合瓦氏窦内径,钙化形态因素考虑,术中冠脉遮挡风险较小。
TaurusElite®AV23瓣膜,瓣环下0-2mm偏高位,在左右重合体位下释放。
手术过程
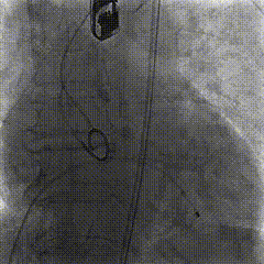
主动脉根部造影
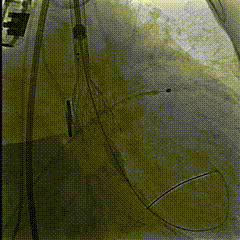
18mm球囊预扩,无腰,造影剂轻微渗漏
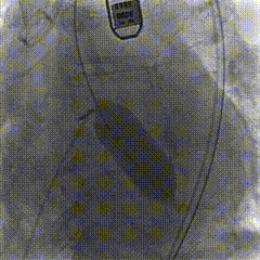
瓣膜释放至工作体位,一次成功
瓣膜形态位置良好,冠脉灌注良好
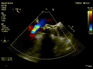
术后评估
长短轴超声显示瓣膜形态良好,血流动力学良好
手术团队合影
崔勇教授病例总结及寄语
这是一个86岁高龄的脆弱病重老奶奶,主动脉瓣极重狭窄,全身血管多发硬化,经评估仅有TAVR经股动脉换瓣是最适合她的选择! 因为这是沛嘉公司TaurusElite可回收介入瓣膜在心外科的全国首例植入,整个科室非常重视。我们术前对产品,CT评估,体外模拟器以及手术策略进行了深入细致的讨论,最终在团队的协作下,瓣膜一次到位释放成功!术后跨瓣压差从100多降到10mmHg以下,晚间病人情况稳定,恢复良好,第二天上午转出监护病房。
这例手术的成功标志着浙江省人民医院心外科在瓣膜病全线治疗方面跻身国内顶尖中心行列! 我们可以为患者提供无死角的完全解决方案,根据病人年龄、病情、对生活质量的要求等因素综合考虑,制定实施包括常规开胸手术、腋下微创外科手术、经股动脉、经心尖介入瓣膜手术等方法在内的最佳治疗方案!也期待与沛嘉一起,造福更多患者。
专家介绍

心脏外科主任,第二军医大学外科学博士学位,长期从事心血管外科专业。于2010年至2012年赴加拿大阿尔伯塔大学中心进行高级临床进修,在加拿大主刀300余例心脏手术。目前为加拿大心外科医师学会会员,美国胸外科医师学会会员,浙江省医学会胸外科分会常委,浙江省医师协会心外科分会副会长。擅长高龄、复杂冠心病搭桥手术,大血管手术、各种重症瓣膜病瓣膜置换/成形手术及复杂先心病的外科矫正手术,尤其是胸腔镜辅助右腋下小切口多瓣膜手术,在国内开展最早,例数最多,具有鲜明特色。