2021年7月12日,中国人民解放军总医院陈韵岱教授团队成功完成TaurusElite®️经导管主动脉瓣系统上市后华北地区的首次植入。成功为一名“横位心、瓣叶厚、心腔小、肾功能不全合并冠脉病变”的患者进行了冠脉介入治疗+经导管主动脉瓣置换的一站式高难度手术。患者瓣膜植入后工作稳定,未出现冠脉阻挡,术后即刻清醒,血流动力学得到明显改善,为患者生命健康带来福音。
患者基本信息:
60岁老年男性,主因“劳累憋气1个月“入院。既往冠心病病史明确,2018年在外院发现右冠夹层于右冠状动脉植入2枚支架,多年高血压病、糖尿病,伴随肾功能损害,胆道支架植入术后,STS评分中危,肌酐水平252.4umol/L,BNP666.6pg/ml。入院心电图提示一度房室传导阻滞。超声心动图显示主动脉瓣叶增厚,回声增强,启闭受限,前向血流速度 4.8m/s,平均跨瓣压差 48mmHg,有效瓣口面积0.8cm²,提示主动脉瓣重度狭窄,未见明显反流。CT报告显示冠状动脉粥样硬化累及多支,局部管腔重度狭窄,主动脉瓣、二尖瓣钙化,不排除冠状动脉支架内再狭窄。
术前CT评估:
主动脉瓣瓣环周长69.8mm,平均周长径22.2mm。SOV:32.3mm*32.7mm*31.6mm,CT数据显示该患者为三叶式主动脉瓣,中度钙化,瓣叶增厚,钙化分布较均匀,主要分布于瓣叶边缘和管壁附着缘,瓣叶未见明显融合。
左冠开口高度15.3mm,右冠开口高度16.5mm,高度可,根据瓦氏窦内径和瓣叶长度综合判断,冠脉堵塞风险小。
瓦氏窦内径、窦管交界内径、升主内径可,主动脉瓣环与水平面夹角62°,横位心,主动脉弓角弓距可。
冠状动脉粥样硬化累及多支,局部管腔重度狭窄。
双侧血管内径可,双侧髂动脉明显迂曲,存在散在钙化,主动脉弓距与夹角位置可,股动脉分叉位置偏高,符合血管入路条件。
病例特点:
该病人为一例主动脉瓣重度狭窄合并冠脉多支病变的患者。
①心脏横位,心腔结构较小。
②冠状动脉支架植入术后,粥样硬化累及多支,局部管腔重度狭窄。
③患者一度房室传导阻滞,植入永久起搏器风险高。
③患者肾功能不全,造影剂肾病风险高,对造影剂使用量把控要求高。
主动脉根部测量:
冠脉高度测量:
钙化分布:
主动脉根部CT动态图:
外周血管及主动脉弓解剖:
手术策略讨论:
①考虑到患者冠脉病变弥漫,支架植入术后,存在支架内再狭窄风险,术中需进行CAG检查,并制定冠脉治疗策略。
②患者心脏横位,同时心腔结构较小,术中注意导丝稳定性,并预备SNARE做辅助。
③患者伴有一度房室传导阻滞,瓣膜释放位置需精准把控,避免永久起搏器植入。TaurusElite®️可多次原位回收,可为手术保驾护航。
③考虑患者伴有肾功能不全,需密切关注造影剂的使用量情况。
④患者双侧髂动脉迂曲,股动脉分叉位置偏高,需注意血管穿刺操作的规范性,避免血管并发症的产生。
手术过程概览:
术前冠脉造影(右冠开口狭窄并伴有夹层)
右冠行PCI手术治疗
主动脉根部造影
导丝轻松跨瓣
20mm球囊预扩
20mm球囊预扩,无明显腰征,少许瓣周漏(靠近二尖瓣方向),未见冠脉阻挡,选择使用TaurusElite®️AV26瓣膜。

TaurusElite®️轻松过弓
瓣膜定位
TaurusElite®️缓慢展开
瓣膜工作状态
检查位置及效果
瓣膜释放
瓣膜释放后形态位置良好
造影少量返流
(靠近二尖瓣方向)
选择22mm球囊后扩治疗
术后即刻评估:
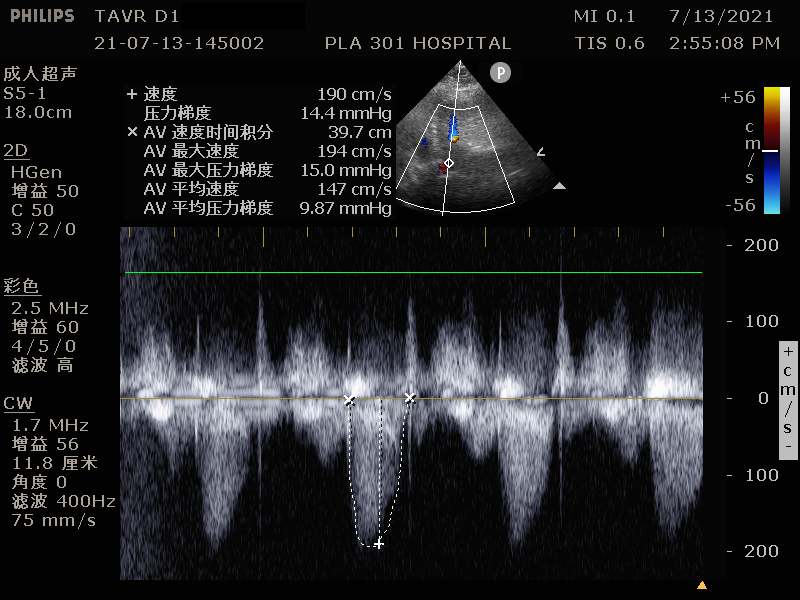
术后平均跨瓣压差降至4mmHg,效果非常好。
术后患者超声结果:
患者AV前向血流速度降低至1.9m/s,平均跨瓣压差10mmHg,手术效果非常理想。
刘长福教授病例总结:
这是一例富有挑战性的重度AS合并CHD的手术,患者右冠近端狭窄并伴有夹层,冠脉病变弥漫,同时主动脉瓣重度狭窄,心脏横位,心腔结构较小,瓣叶增厚。所以在对冠脉的保护治疗、瓣膜的贴合稳定以及术中的精细操作和精准评估都提出了很高的要求。最终在团队的密切配合下,无需SNARE辅助轻松过瓣,瓣膜释放定位精准,一次完成,未使用可回收功能,未植入永久起搏器。手术取得圆满成功。手术的成功也离不开沛嘉TaurusElite®️瓣膜的优良表现,从术中输送器过弓的柔顺性到瓣膜释放时的稳定性,都体现了金牛瓣优秀的产品设计,虽然未能使用上TaurusElite®️的可回收功能,但也为我们手术提供了信心和保障,希望未来金牛瓣可以更多的应用于临床,造福更多的患者。
陈韵岱教授寄语:
随着我国老龄化进程的加剧,退行性主动脉瓣病变的患者也越来越多,导致突发意外事件发生概率逐年攀升。而且中国的主动脉瓣病变患者具有瓣叶病变复杂,钙化程度重,高龄且合并症多的特点。对我们临床工作提出了非常高的要求和挑战。2010年解放军总医院作为国内首批派往欧洲系统学习TAVR技术的单位,并于2011年组建全军首个TAVR手术专家团队,经过10年耕耘打磨,集结了解放军总医院心脏中心的全技术支持,建立了完善的术前、术中和术后患者管理随访系统。用实力守护患者的生命之门。在党的百年华诞之际,也伴随着金牛瓣的上市和植入,希望能与沛嘉医疗一起推动中国结构性心脏病介入治疗领域蓬勃发展,造福广大结构性心脏病患者。
专家介绍

主任医师、教授、博士生导师,心脏介入学和心血管影像学的学术带头人。现任解放军总医院心血管病医学部主任、全军老年心血管病研究所所长。兼任中国医疗保健国际交流促进会心血管病学分会主任委员、全军心血管内科专业委员会主任委员、中国医师协会胸痛专业委员会副主任委员/心血管内科医师分会常务委员、中华医学会心血管病学分会委员,《Journal of Geriatric Cardiology》(SCI 收录)主编。
先后主持国家及省部级课题21项;牵头国内外多中心临床研究22项,获省部级二等奖以上科技成果6项,作为第一完成人获国家科技进步二等奖1项(2019年)、省部级成果一等奖2项、二等奖3项,授权国家发明专利12项,近5年以第一或通讯作者在JACC、JACC-Cardiovascular Imaging和 J Pineal Research等国际知名期刊发表论文143篇,IF最高20.59,主编专著5部。近5年牵头并发布心血管病行业指南或专家共识5项。
个人完成各类复杂介入手术近万例,国内率先突破“介入禁区”的无保护左主干病变介入治疗,临床成果被国际指南收录并推广里该项技术的中国应用。完成全军首例经皮主动脉瓣膜置入术、顽固性高血压Simplicity射频消融、在国际上首次完成OFR在线分析指导临界病变介入手术、国际首次使用混合现实技术完成下腔静脉滤器植入术。
创办“心脏影像与心脏干预-CICI大会”、“INSIGHT”介入诊疗提高班、进行24次国际手术转播,为军内外培养大量介入骨干,为印度,日本、巴基斯坦等国家和地区培养200余名国际介入人员。兼任三所高等医学院校博士生导师,培养毕业研究生101人,包括博士后8人,博士45人,硕士48人。

心血管病医学部结构性心脏病科主任,副主任医师;美国杜克大学医院、德州医学中心访问学者。目前担任中华医学会心血管病学分会创新与转化学组委员,中国医师协会转化医学学组委员,亚洲心脏瓣膜病学会中国分会心脏瓣膜病介入治疗技术学术委员会常委,全军心血管病专业委员会结构学组委员,亚太结构性心脏病青年俱乐部黄金会员等。

副主任医师,硕士生导师,解放军总医院心血管学部结构性心脏病科副主任,医学博士,哈佛医学院博士后访问学者,左心耳封堵全球带教专家。连续4年完成左心耳封堵数量北京市第一,擅长冠心病精准介入治疗,左心耳封堵预防房颤脑卒中,经皮主动脉瓣膜置换术,高脂血症等治疗。

心血管医学部副主任医师,医学博士。从事冠心病介入治疗及经皮主动脉瓣膜置换术。擅长腔内影像技术指导下的复杂病变介入治疗,经皮主动脉瓣膜置换术。在国内外期刊发表论文30余篇。任中国循证心血管病杂志编委,中国老年医学会医养结合委员会委员。

心血管内科超声心动图室副主任医师、医学博士;中华医学会心血管病学分会女性健康学组委员;中国超声医学工程学会超声心动图委员会青年委员;中国医师协会整合医学分会整合影像学专业委员会委员;北京女医师协会超声医学专业委员会委员;专业方向为心血管影像;美国宾西法尼亚大学访问学者。