2021年6月23日,江西省心血管病医院洪浪院长带领团队完成一例高难度Type0型二叶式主动脉瓣重度狭窄的TAVR操作。该患者为左室腔较小,术前无返流,循环崩溃风险高,极重度钙化,且有一狭长钙化延升至流出道,升主又有增宽,无疑增加了此次手术的操作难度和风险。
患者介绍:
基本情况:71岁,男性。
临床表现:患者于3年前因胸闷不适于江西省心血管病医院纠正,完善冠脉造影明确冠脉病变,并予以支架植入治疗,术后予药物治疗,病情稳定。1年前出现胸闷不适,主要位于心前区,持续性闷痛,活动后明显,休息后可缓解,一直未予以重视,近3月来,胸痛情况较前明显,为求治疗,来我院就诊,拟“不稳定心绞痛”收治入院。
合并症:冠心病、痛风多年。
心超提示:
主动脉瓣二瓣化畸形重度钙化并重度狭窄、升主动脉扩张;平均跨瓣压差为52mmHg;左室舒张末直径41 mm;EF 51%。
主动脉根部分析:
主动脉瓣二瓣化畸形重度钙化并重度狭窄(钙化积分达1368)、升主动脉扩张;平均跨瓣压差为52mmHg;左室舒张末直径41 mm;EF 51%。
二叶瓣严重钙化
手术过程:
术前讨论洪院长组织心内科、心外科、超声科、麻醉科、介入室等科室进行详细讨论,考虑患者解剖结构以及钙化情况,防止瓣环撕裂,循环崩溃风险发生,洪院长制定严谨的手术策略:采用18mm敖广球囊预扩,术中观察球囊扩张情况,24 VitaFlow 快速释放。
总结病例有以下特点及难点:
1.Type0二叶式主动脉瓣;
2.心室小,循环崩溃风险高;
3.极重度钙化且钙化延升至流出道,存在瓣环撕裂风险。
术中精彩视频:
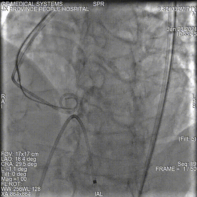
冠脉造影
敖广球囊18mm预扩张
同时进行冠脉风险评估:观察球囊扩张对冠脉的影响
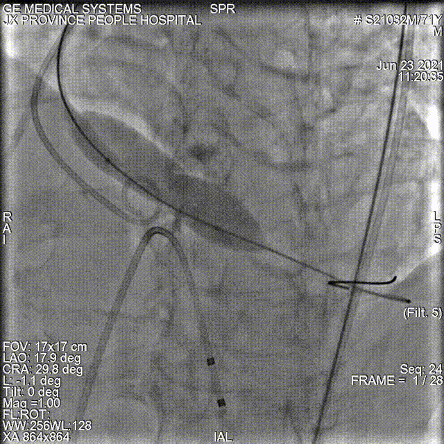
24型号VitaFlow瓣膜精准零位释放,
锚定位置良好。
此时造影显示偏少量偏中量反流,瓣膜形态欠佳,
考虑为瓣叶钙化过重,选择进行球囊后扩。
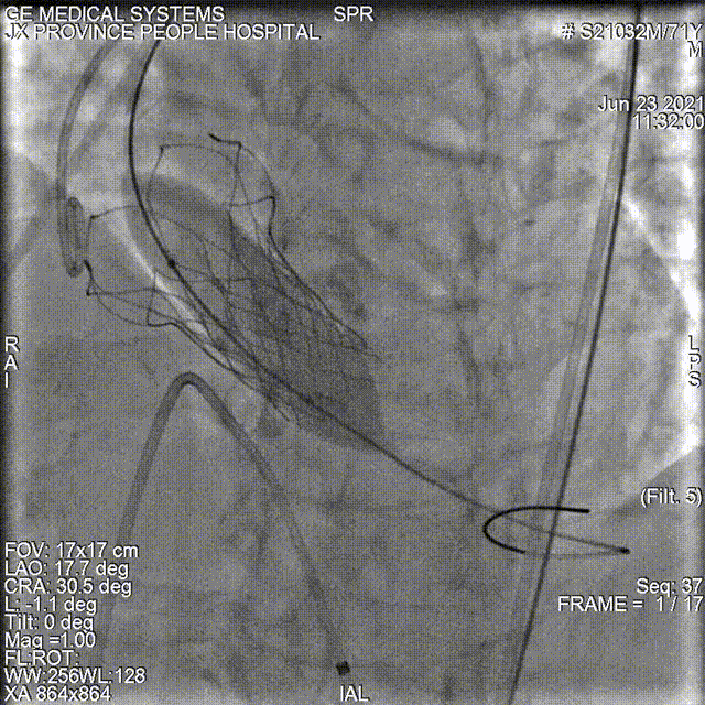
20mm球囊进行后扩
最终造影显示瓣膜仅微量反流
术后即刻超声良好:平均压差:8.0mmHg ;微量瓣周返流。
治疗重度钙化狭窄
需充分评估患者的耐受性和风险性
▼▼▼
本例患者高龄且心功能差,极重度钙化且延升至流出道,然而对于二叶瓣患者本身行TAVR就是一种严峻的挑战,术中有可能会出现瓣膜不能到位或瓣膜释放不良的结果。因此,瓣膜释放过程中需要术者具有丰富的操作经验、高超的控制能力和团队默契的配合。本例手术的顺利操作,为重度钙化狭窄的患者提供了一种安全可行的治疗策略。洪浪院长带领江西省心血管病医院TAVR团队长期从事TAVR治疗,通力配合,不断简约TAVR操作,充分评估患者的耐受性和风险性,这极大程度提高了手术效率,患者恢复更快。
专家简介

主任医师、教授,硕士、博士生导师。
江西省心血管病医院院长,江西省心血管研究所所长;卫计委“冠心病介入诊疗技术培训基地”、“先心病介入诊疗技术培训基地”及“心律失常介入诊疗技术培训基地”主任;中华医学会心血管介入培训江西基地主任;国家药物临床试验江西基地心血管专业主任;中国医师协会心血管分会先心病工作委员会委员;江西省介入心脏病学会理事长;江西省医师协会心血管内科医师分会会长;江西省“冠心病介入治疗质量控制中心”主任;江西省人民医院胸痛中心技术总监;江西省生物医学工程学会心电起搏分会常委;美国心脏节律协会会员;《中国介入心脏病学杂志》及《中国心脏起搏与心电生理杂志》编委;中国医疗保健国际交流促进会心血管健康医学分会委员,中国医疗保健国际交流促进会心血管病学分会委员。
江西省心血管病医院介绍:
江西省心血管病医院起源于1954年,是最先开展心血管介入技术的学科和中国心脏介入的发源地之一。
历经多年的发展,江西省心血管病医院成为江西省首家心血管病专科医院,省内心血管病学科领域的领头羊。江西省心血管病医院现有医护技人员296名,拥有冠脉、电生理、结构性心脏病、心脏起搏、高血压、心衰、心脏康复、心脏大血管外科、血管外科、心血管重症病房等9个亚专业。