2021年7月8日,南京市第一医院陈绍良教授、张俊杰教授团队成功完成TaurusElite®经导管主动脉瓣系统上市后全国首日植入,为一例高龄高冠脉阻挡风险的主动脉瓣重度狭窄患者带来新生,引领中国TAVR领域全面进入“多次可回收时代”。
术后合影
患者基本信息
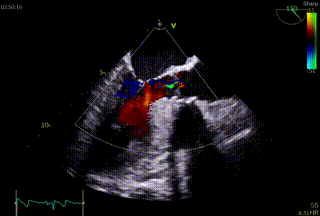
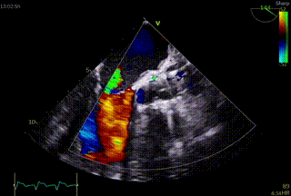
患者为81岁高龄女性,因胸闷气喘近1月入院,既往有高血压、糖尿病、DDD永久起搏器植入、陈旧性脑梗塞病史,心脏彩超显示主动脉瓣瓣叶明显增厚伴钙化,最大峰值流速4.9m/s,最大跨瓣压差95mmHg,平均跨瓣压差57mmHg,提示主动脉瓣重度狭窄伴轻度关闭不全。
术前评估
术前CT显示为三叶式主动脉瓣,瓣膜钙化、瓣叶增厚,伴左-右及左-无瓣叶融合,左右冠脉开口较低,瓣叶冗长,冠脉闭塞风险高,同时合并冠状动脉及主动脉的严重钙化。
瓣环水平夹角为52°,降主动脉全程满布钙化斑块,双侧股动脉散在钙化斑块,血管入路直径偏小,最细处仅为5.5mm。
主动脉根部测量
冠脉高度、瓣叶长度及钙化测量
瓣环上多平面测量
外周血管及主动脉弓解剖
评估与讨论
南京市第一医院张俊杰教授团队在手术前对患者进行整体评估讨论,本例手术最大的难点在于冠脉阻挡风险高和外周血管直径偏细。根据冠脉高度、瓣叶长度、瓦氏窦宽度、钙化分布综合分析,为预防左右冠阻挡,术前预埋Guidezilla保护。
同时,改用左侧股动脉为主入路,右侧辅助入路。球囊扩张采用左冠切线位角度(LAO 18°CRA 26°),并用较小的18mm球囊预扩张。预装AV23瓣膜,瓣膜释放体位左右重合体位(RAO 20°CAU12°),释放深度在4-5mm。球囊扩张和瓣膜释放时,密切关注冠脉灌注情况。
手术过程
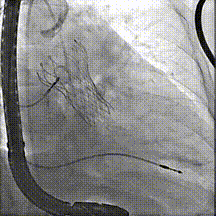
术前左冠造影
术前右冠造影
冠脉保护主动脉根部造影
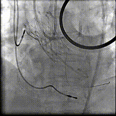
18mm球囊预扩
过弓及跨瓣
瓣膜定位
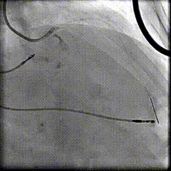
瓣膜释放
可回收功能调整瓣膜深度
瓣膜释放过程
术后评估
右足位,瓣膜形态,冠脉灌注良好
左头位造影
术前与术后超声,瓣口面积从0.6cm²提升至 2.2cm²,血流动力学优异。
张俊杰教授病例总结
该病例的特点为:
1.高龄女性,主动脉瓣狭窄(重度)伴关闭不全(轻度),合并症多,外科手术风险大,患者及家属选择TAVI治疗;
2.术前分析
• 入路分析:患者双侧股动脉、主动脉均钙化,入路细,左侧较右侧稍好,选择左侧主入路,扩张鞘逐级扩张后置入大鞘,如困难,用其本身内联鞘。并备好外周覆膜支架,防止并发症发生。
3.术中:
• TaurusElite®继承了TaurusOne®优良的瓣膜设计,输送系统增加可回收功能的同时,兼备良好的轴向刚性和过弓柔顺性。
• 本例患者主动脉弓夹角呈锐角,最短弓距偏小,瓣环水平夹角偏大,预估输送系统过弓及跨瓣会有难度,但术中操作非常顺滑,体验很好。
总的来说,沛嘉这款可回收瓣膜有望挑战更多高难度病例,同时缩短医生学习曲线,让术者安心,让病患顺心。
陈绍良教授寄语
南京市第一医院心内科是一个专注于技术创新的团队,以改善疑难心肺血管病患者预后为使命。在院领导及各兄弟科室的大力支持下,在张俊杰主任带领下已完成TAVR手术超过100例,手术例数及难度均位居苏皖地区首位。TaurusElite®是沛嘉医疗自主研发的第二代经导管主动脉瓣系统,也是中国获批的最新一款可回收系统,随着“金牛二号”的上市和植入,希望能与沛嘉医疗一起,推动中国结构性心脏病介入治疗的蓬勃发展,给更多患者带来福音。
专家简介

医学博士、主任医师,教授,博士生导师。南京市第一医院副院长、心内科主任。享受国务院政府特殊津贴,获原卫生部突出贡献中青年专家、江苏省333高层次人才培养第一层次、江苏省突出医学成就奖、第一批江苏“卫生领军人才、科教强卫工程医学杰出人才、南京市科技功臣、南京市劳动模范、南京市政府参事等荣誉称号。长期从事心内科的临床医疗、科研及教学工作。擅长心血管病的基础研究、临床诊断与治疗,尤其是在介入心脏病学领域具有丰富的经验、娴熟的技术和丰富的研究成果。在心肌细胞再生、分叉病变及肺动脉高压介入治疗方向原始创新性地发明了DK CRUSH及肺动脉去神经术。

医学博士,主任医师,南京市第一医院心内科常务副主任、心导管室主任,国家卫计委冠心病介入培训导师。担任中华医学会心血管病分会青年委员、心血管临床研究学组秘书、中国医师协会心血管内科医师分会血栓防治学组委员、卫健委冠脉介入培训导师、美国心血管造影与介入学会会员(FSCAI)。担任亚洲分叉病变俱乐部及冠状动脉分叉病变峰会秘书长、美国经导管心血管治疗(TCT)主席团成员、及中国经导管心血管治疗(CIT)理事以及资深工作组成员。担任中华心血管病杂志通讯编委、JACC中文版、JACC Cardiovascular Interventions中文版和EHJ Cardiovascular Imaging中文版编委, 担任EuroIntervention、JAMA Cardiology 杂志的审稿人及国家自然科学基金评审专家。长期从事于心血管疾病的临床和研究工作,在冠心病介入诊断与治疗,以及经导管主动脉瓣置换(TAVR)治疗重度主动脉瓣狭窄及关闭不全等方面具有丰富的经验和娴熟的技术。近五年以第一作者或通讯作者发表SCI论文30余篇(累计IF超过150;其中两篇JACC,最高IF:24.094;一篇EHJ,IF:29.983),参编著作5部及国内外指南和专家共识10部。近四年来作为主持人负责国家自然科学基金面上项目2项、江苏省六大人才高峰项目、江苏省社会发展面上项目、南京市有突出贡献中青年专家、南京市中青年拔尖人才项目以及十三五南京市青年人才培养项目(第一层次)。荣获2018 年中华医学科学技术奖二等奖(排名第二)、2018 年江苏省医学科技奖一等奖(排名第二)以及 2018 年江苏省科学技术奖一等奖(排名第二)。