践行TAVR探索,献礼百年华诞,2021年7月1日,中南大学湘雅二医院周胜华教授带领心脏瓣膜团队方臻飞教授、胡信群教授等人完成我国自主研发创新的TaurusOne®经导管主动脉瓣系统上市后治疗单纯主动脉瓣反流的首例应用,成功为一例瓣叶明显增生肥厚、弓部夹角锐利、弓部宽度较短、降主动脉扭曲的主动脉瓣返流患者进行了救治。
患者基本情况
本例为女性77岁患者,术前活动后气促,伴胸闷,偶有胸前区疼痛,近期加重并伴双下肢水肿。结合病史及相关检查诊断为主动脉瓣重度关闭不全,二尖瓣、三尖瓣轻度返流,EF值35%,心功能IV级。
术前CT评估
CT结果显示,患者为三叶式主动脉瓣,轻度钙化,瓣叶明显增生肥厚但未见明显融合,结合瓣上结构和左室流出道结构特点,较大可能影响瓣膜植入后的形态及贴壁性,存在瓣膜向下位移的风险,且大概率需要使用瓣中瓣策略完成手术。在瓣膜尺寸的选择上要更为精准,在瓣膜释放时,释放位置更要把握好。该患者还存在弓部夹角锐利,弓部宽度较短,且降主动脉扭曲,极大地考验了器械输送系统的过弓性能。
三叶式主动脉瓣, 瓣叶明显增厚,未见明显融合粘连,瓣叶钙化较低,假体瓣膜锚定难度较高,存在瓣膜位移风险,瓣中瓣风险偏高。
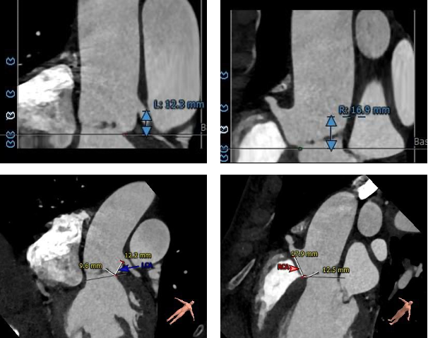
主动脉根部评估
冠脉阻挡风险评估
瓣环上解剖结构评估
双侧股动脉管径尚可,主动脉弓部夹角锐利(54°)、弓部宽度较短(最短处仅58.8mm),降主动脉轻度扭曲,输送器过弓、跨瓣难度较高。
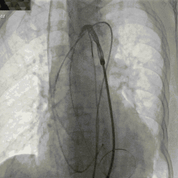
降主血管迂曲,弓部夹角锐利,弓部宽度较短,可谓是“山路十八弯”,得益于TaurusOne®输送系统优异的过弓性能,并在Snare辅助下顺利完成瓣膜系统过弓。
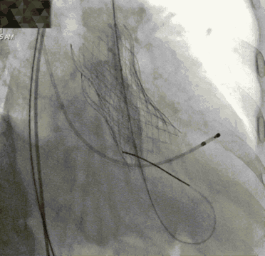
对于单纯返流患者来说,术前也分析了瓣膜移位的风险比较高。结合术前的分析与术中的情况,为保证患者的治疗效果,术中进行了“瓣中瓣”的策略,即第一个瓣膜在非稳定状态下作为锚定骨架,便于第二个瓣膜顺利植入并重建血流动力学。
平行导丝技术第二个瓣膜过弓
第二个瓣膜释放过程
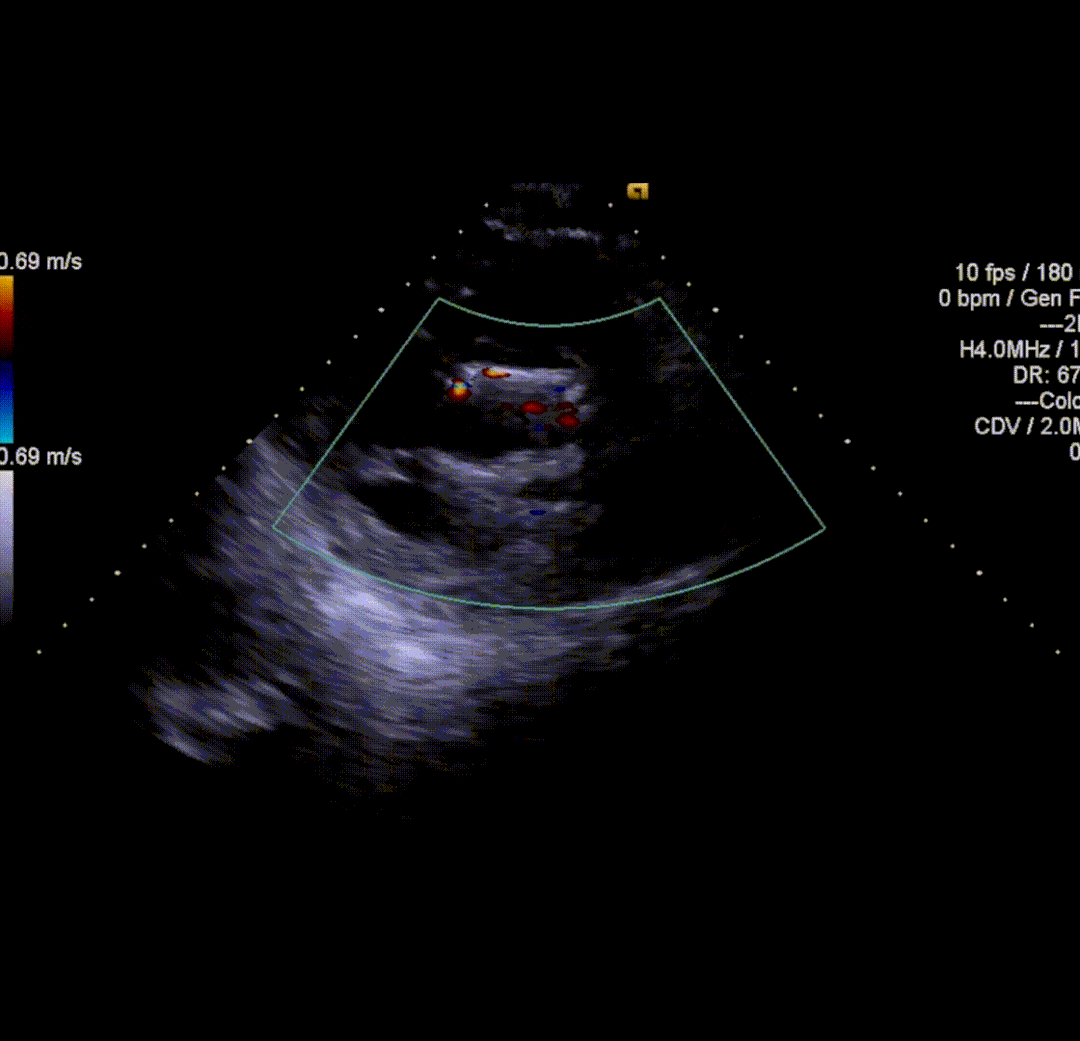
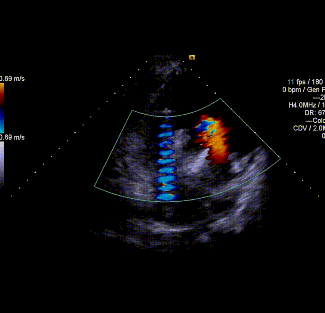
球囊后扩后,瓣膜与周围组织贴合的更好。术后即刻造影结果显示无瓣周漏,工作瓣膜形态优异。术中测量结果显示即刻跨瓣压差降至10mmHg,舒张压从术前35mmHg左右上升到60mmHg以上,术后患者症状明显改善。
球囊后扩
最终造影结果
术后即刻超声评估
本例患者为纯主动脉瓣返流患者,加上弓部夹角锐利,弓部宽度较短,给整体手术增加了不少难度。方臻飞教授和胡信群教授通过术前详尽的检查分析评估,对术中可能出现的情况做了充足的预案,保证了手术的顺利进行。术中采用“瓣中瓣”策略,术后患者血流动力学得到明显改善,为患者带来更长久的生存预期和更高的生活质量。TaurusOne®经导管主动脉瓣系统其输送系统较柔软,易于通过主动脉弓及较大角度的扭曲血管,更加符合本例手术的特殊情况;瓣架整体较短,有更好的径向支撑力;裙边位置较低,可降低冠脉遮挡风险;外裙边设计,可有效减少瓣周漏发生。综合瓣膜设计特点、窦部大小及流出道解剖结构及潜在的升主锚定机制对该例AR患者进行治疗。本例手术的开展再次展现了方臻飞教授和胡信群教授丰富的临床经验和手术积累,为临床上主动脉瓣返流患者的TAVR治疗提供了更多宝贵的参考。
专家寄语
专家简介

我国知名介入心脏病学专家,中南大学“湘雅名医”,第三届“国之名医,优秀风范“荣誉获得者。现任中南大学湘雅二医院心血管内科主任、主任医师、博士生导师、湖南省心血管病医院(中心)主任、湖南省心血管病介入治疗中心主任、湖南省临床介入治疗质量控制中心主任、湖南省心血管疾病现代医疗技术研究中心主任。
中华医学会心血管病学分会第十一届委员兼副秘书长,中国医师协会心力衰竭分会副主任委员,湖南省心血管病学委员会主任委员,中华医学会心电生理和起搏学会常务委员,中国医师协会心血管内科医师分会常务委员,中国生物医学工程学会心律分会常务委员、中国心律学会常务理事。
卫生部有突出贡献中青年专家、“卫生部优秀青年科技人才”、国家心血管病介入诊疗质量控制专家、国家心血管病中心专家组成员、享受国务院特殊津贴、湖南省学科领军人才。

心血管内科主任医师,教授,博士生导师。湖南省心血管病现代医疗技术研究中心副主任。国家卫计委心血管介入诊疗规范化培训导师(结构性心脏病、冠心病)。
中华医学会心血管病分会结构性心脏病学组委员、中国医师协会结构性心脏病专业委员会委员、亚太结构性心脏病青年俱乐部黄金会员、湖南省医学会结构性心脏病学组副组长。作为写作组成员参与编写我国《经导管主动脉瓣置换术专家共识》。长期致力于结构性心脏病、冠心病介入诊疗工作,先后留学法国、美国学习先进技术。完成中部地区首台TAVR手术,并多次完成急诊TAVR等复杂高危手术,独立完成TAVR百余例。
发表论文40余篇,其中SCI论文20余篇。主持国家自然科学基金1项,卫生部临床学科重点项目1项。获湖南省科技进步二等奖3项,湖南医学科技奖2项,中南大学医疗新技术成果奖3项。

医学博士,主任医师,教授,博士生导师。主要从事冠心病,先心病介入治疗研究;先后留学日本、法国、美国。在湖南省内率先开展急性心肌梗死冠脉内血栓抽吸术,血管内超声的应用,冠脉内旋磨的应用,急性心肌梗死延迟支架植入的策略,冠脉血流储备分数测定等一系列的新技术。近年主持国家自然科学基金面上项目及教育部及省自然科学课题6项,近5年发表SCI论文30余篇;获湖南省科技进步奖项5项;获中南大学医疗成果奖3项,参编专著2部。

