2021年6月29日,乐山市人民医院周洋教授团队成功完成TaurusOne®经导管主动脉瓣系统上市后西南地区的首次植入。成功为一例结合多瓣膜疾病患者进行了经导管主动脉瓣置换。该病例极具特点,患者同时患有主动脉瓣、二尖瓣及三尖瓣多瓣膜病变。周洋教授团队针对该病例的特殊性及患者自身的身体情况做了详细的分析,根据分析制定了一系列的治疗方针并在和患者家属沟通后决定优先为其治疗主动脉根部的病变,为多瓣膜疾病治疗的优先处理等级决策提供了优秀案例。患者植入人工瓣膜后瓣膜工作正常稳定,均未出现并发症,术后即刻患者血流动力学得到了显著改善,为患者带来更长久生存期受益和更高生活质量。
患者基本信息:
患者为70岁女性,患有肝硬化。一年前曾患胆囊结石,重度贫血,20年前因风湿性心脏病接受了二尖瓣机械瓣置换术。后经术前超声心动图诊断,患者属高龄高危:主动脉瓣重度狭窄伴轻度反流,主动脉瓣前向4.9m/s,平均垮瓣压差53mmHg。
术前评估:
1.主动脉瓣瓣环周长77.8,平均周长径24.1。
2.主动脉瓣成三叶式,瓣叶增厚并伴有四级钙化,钙化分布不均匀,左无交界处钙化融合形似嵴并延伸至血管壁。
3.左右冠脉开口高度可,冠状动脉钙化严重。
4.心脏增大伴左心室壁增厚,左心耳部血栓形成,二尖瓣机械瓣植入,心包少量积液。
5.双侧股动脉入路血管管径良好,少量轻微钙化,内径最窄处近临界值。
病例特点:
该病人为一例典型主动脉瓣重度狭窄患者,结合二尖瓣情况手术难度大。
1.瓣叶钙化并纤维化增厚对人工瓣膜形态存在影响,左无冠窦交界处钙化为根部最大影响因素。
2.根据CT分析钙化分布、瓣叶长度及瓦氏窦宽度预估左冠存在遮挡可能性。
3.二尖瓣机械瓣置换术后,二尖瓣瓣环紧邻主动脉瓣瓣环,影响主动脉瓣人工瓣膜锚定和封堵,手术难度大,释放位置需精准。
主动脉根部评估:
瓣环上解剖结构评估:
外周血管及主动脉弓解剖:
手术策略讨论:
1. 考虑到患者瓣叶有增厚钙化及冠脉风险,并且在不影响二尖瓣基础上顺利释放瓣膜所以在导丝跨瓣和瓣膜释放高度的选择上需要做充分的预估准备。术中需通过主动脉根部造影和球囊预扩确定瓣膜尺寸。
2. 考虑到患者瓣叶长度高于冠脉开口高度,且瓣叶有增厚,存在冠脉阻挡风险,所以术中根据球囊预扩情况可能需要冠脉保护。
3. 术中实行的20球囊的预扩,AV26瓣膜的释放,瓣膜释放后发现还有展开的余地,故进一步选择23的球囊进行后扩使人工瓣膜更贴合主动脉根部结构。
4. 根据术前CT评估,跨瓣角度为LAO 12° CAU 5°(右窦中心位)左右,球囊预扩角度为LAO 32° CRA 2°(左冠切线位)左右,释放角度为RAO 16° CAU 24°(左右重合)左右。使用20mm球囊预扩,根据沛嘉TaurusOne®产品设计特点采取瓣环平面下2-4mm高度释放策略。
5. 患者双侧入路血管条件佳,常规选择右侧股动脉为主入路,左侧为辅入路。
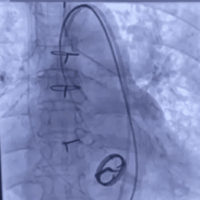
手术过程概览:
主动脉根部造影
导丝跨瓣
20mm球囊预扩张
输送器柔顺过弓
瓣膜定位
瓣膜缓慢释放
23mm球囊后扩张
瓣膜释放后造影评估
术后即刻跨瓣压差对比:
术后压差从46mmHg降至6mmHg
术后超声心动图提示:主动脉瓣人工瓣膜前向1.9m/s,平均垮瓣压差约6mmHg,微量反流,左室壁博幅正常范围,心包未见积液,手术效果良好。
专家简介

心血管外科学博士,乐山市人民医院胸心外科副主任,副主任医师,中共党员,陆军军医大学(原第三军医大学)毕业,师从全国胸心血管外科著名专家肖颖彬教授。
现任亚洲心脏瓣膜病学会委员,中国医师协会心血管外科分会大血管学组委员,中国医师协会心脏重症瓣膜病专委会委员,中国医师协会心脏重症专业委员会结构性瓣膜病专家委员会委员,中国医师协会冠心病学组委员,中国非公立医疗机构协会心血管外科专业委员会结构心脏病学组常务委员,中国研究型医院学会心脏瓣膜病学专业委员,中国研究型医院学会房颤治疗专业委员,四川省医学会胸心外科分会委员,四川省医学会全省会员代表,四川省第二届健康科普专家,四川省及乐山市优秀共产党员,乐山市“卫生名医”,乐山市首批“嘉州英才”,乐山市学术和技术带头人,第十四批省卫生健康委学术技术带头人后备人选,。作为项目负责人主持省级课题两项,市级课题三项。以第一作者发表SCI论文四篇,中文核心论文四篇。其2019年发表于SCI期刊《SCIENTIFIC REPORTS》论文获得乐山市第十三届优秀科技学术论文特等奖。同年,其发表的“经胸封堵术对室间隔缺损的影响以及转为开胸手术的meta分析”荣获四川省2019年度优秀论文奖,并参编人民军医出版社《高原军事卫生防护学》等专著。
四川省地市级三甲医院心血管外科首例开展微创经皮卵圆孔未闭(PFO)介入封堵术,针对长期不明原因头痛、偏头痛以及反复脑梗的患者,尤其是中青年患者,疗效显著,目前手术量与手术技术居于全省领先地位。