金牛现粤,献礼百年。2021年06月29日,在党的100年华诞即将到来之际,广东省人民医院罗建方教授团队完成TaurusOne®经导管主动脉瓣系统上市后的华南地区首次植入,成功为一例瓣叶严重纤维增厚、横位心、“小左室”患者进行了救治。
患者基本情况
患者女性,73岁,主诉胸闷、心悸2年,心脏瓣膜病(主动脉瓣重度狭窄,二尖瓣重度反流,三尖瓣重度反流),阵发性心房颤动,先天性主动脉瓣二叶瓣畸形,既往病史高血压30余年。
影像学检查结果
超声检查
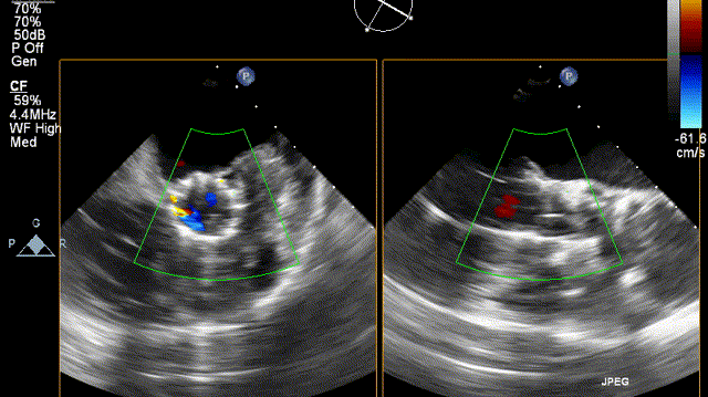
超声结果显示主动脉瓣退行性病变,重度狭窄并轻度反流;主动脉瓣瓣口流速5.9m/s,峰值跨瓣压差138mmHg,平均跨瓣压差72mmHg,瓣环内径20mm,升主增宽,主动脉弓内径36mm,反流彩束面积2.3cm²,LVOT-VTI:28.9cm。此外,患者同时合并左室壁增厚,左室舒张功能减退,节段性室壁运动异常,重度二尖瓣反流,重度三尖瓣返流,轻度肺高压。
术前CT检查及评估
主动脉根部评估
Type1型二叶瓣,右无冠窦发育不全,交界处形成非钙化嵴,伴有瓣叶严重纤维增厚。
右冠高度11.8mm,左冠高度19.3mm,双侧瓣叶长度小于瓣叶附着缘到冠脉开口距离,冠脉遮挡风险较小。
主动脉瓣环与水平面夹角77°,呈横位心。
瓣环上解剖评估
瓣环上轻度钙化,瓣叶纤维增厚明显,瓣上最狭窄处周长:59.5mm,直径:18.8mm。
左心室解剖评估
左心室腔小、心肌肥厚,术中超硬导丝、球囊、瓣膜胶囊腔的压迫下均有可能出现急性大量主动脉瓣反流而导致低血压甚至循环崩溃的风险。
外周入路血管评估
外周入路血管散在钙化,腹主动脉分叉前较严重,双侧入路血管管径良好,主动脉局部钙化较严重,整体入路血管条件尚可。
手术难点及策略
由检查诊断结果显示,患者病情复杂多变,大大增加了本次手术的操作难度和风险,经过术前分析,罗建方教授指出:
患者为横位心,瓣环平面水平夹角77°,增加了术中跨瓣难度。同时主动脉局部钙化较严重,术中需要注意轻柔操作,避免损伤血管入路。
患者瓣叶严重纤维增厚,轻度钙化,流入端呈倒锥子形态,术中存在人工瓣膜位移风险较高,需要释放过程十分注意。
心室壁严重增厚,为“小左室”,存在循环崩溃风险,术前进行心功能调整及充分补液扩容,保持足够前负荷,术中需要时刻关注患者循环情况。
通过对手术难点的分析,罗建方教授团队经过详细讨论,并制定出相应的术中策略:
选择右侧股动脉为主入路,同时准备好Snare,以保证瓣膜系统顺利跨瓣。
选择18mm球囊预扩,推荐球囊预扩角度LAO 6° CRA 29°,为避免术中循环崩溃,球囊扩张前需预装瓣膜。
为保证瓣膜的植入的效果,选择AV23瓣膜,在LAO 6° CRA 29°角度下释。释放高度推荐标准位(瓣环下2-4mm)。释放后可调整至右前斜足位进一步确定人工瓣膜形态。
罗建方教授团队术中讨论
手术过程

主动脉根部造影
导丝跨瓣
球囊预扩

TaurusOne顺利过弓

TaurusOne标准位释放
术后造影
术后即刻评估
术后即刻跨瓣压差
主动脉根部TEE评估
对本例手术,罗建方教授团队通过术前详尽的检查分析评估,对可能发生的各种突发情况进行充分预估,并准备了相应的应对预案,手术中采用左右重叠体位,标准位释放,术后跨瓣压差降至0mmHg,血流动力学得到有效改善,为患者带来更长久的生存预期和更高的生活质量。本例手术的成功开展再次展现了罗建方教授团队在诊治高难度复杂主动脉瓣膜疾病的雄厚实力和丰富经验,也为临床上心室腔小、心肌肥厚、横位心的Type1型二叶瓣患者行TAVR治疗提供了更多的参考。
术后采访
罗建方教授寄语:“随着科学技术的创新发展,临床治疗已从早年的单一选择转变为多样化预案,在面对复杂多变的病情,可以选取更优化患者治疗效果的诊疗方案,带给患者更长远的生存期及更好的生活质量。随着TAVR技术及器械的更新迭代,在术中过弓、跨瓣、定位释放等环节中,术者可以更有信心追求技术提升,从而治疗更多的复杂疑难病症。”
他表示,广东省人民医院作为华南地区率先开展TAVR的中心,积累了相当丰富的经验,本次手术成功也充分展现了我们在实践中不断进步的成果。此例患者为严重的横位心,同时瓣叶增厚严重,这对于瓣膜输送器跨瓣能力、瓣膜释放后的稳定性都提出了非常高的要求。TaurusOne®经导管主动脉瓣系统优异的设计,其良好的过弓性能,平衡的柔顺性,以及瓣膜释放稳定性在术中得到了良好的体现,更好地配合术者团队的精湛技术。他指出,TAVR手术开展需求手术团队更注重对各成员的技术磨练,通过各类型手术经验累积,以拔高整个团队的诊疗水平。本次华南地区首例TaurusOne®的成功植入,带来治疗技术向更高难度挑战的保障,以及更稳定的病人术后获益,相信随着国内医生经验的累积与国产厂家的不断创新,将进一步推动我国TAVR的发展,给更多主动脉瓣病变患者带来福音。
专家介绍

医学博士、主任医师、博士生导师。现任广东省人民医院南海医院院长、广东省人民医院血管病诊疗中心主任、广东省冠心病防治研究重点实验室副主任。
学术任职:
美国心脏病学院Fellow (FACC)、欧洲心脏病协会Fellow (FESC)、美国心血管造影与介入学会Fellow (FSCAI)、首批Global Hybrid Algorithm Community国际认证Hybrid CTO带教专家、卫生部心血管疾病介入诊疗培训基地(冠心病介入治疗)导师。
中华医学会心血管病学分会大血管学组副组长、中国研究型医院学会心血管影像专业委员会副主任委员、中国研究型医院学会血管医学专业委员会副主任委员、中国医疗保健国际交流促进会血管疾病分会副主任委员、中国医疗保健国际交流促进会难治性高血压与周围动脉病分会副主任委员、中国医药教育协会血管医学分会副主任委员、广东省介入性心脏病学会周围血管介入分会主任委员、广东省医师协会心血管介入医师分会副主任委员、广东省医师协会心血管内科医师分会常务委员、广东省医学会心血管病分会结构性心脏病学组副组长等。
血管疾病多学科协作论坛(VMDT)执行主席、冠心病与周围血管介入沙龙(CPIS)执行主席、亚太CTO俱乐部广州峰会共同执行主席、亚洲心脏病学会年会秘书长等。
技术特长:
擅长复杂冠脉病变、主动脉疾病、瓣膜疾病、周围血管病等的介入治疗。在国内率先开展脑保护装置下颈动脉介入治疗、经桡动脉行肾动脉介入治疗、快速起搏与经皮穿刺主动脉腔内修复术(TEVAR),2016年4月完成华南地区首例经导管主动脉瓣置换术(TAVR),2019年2月成功实施全球首例经股动脉途径TAVR联合TEVAR一站式手术,团队整体TAVR手术量已超过500台,已经帮助全国100家中心开展TAVR手术。
科研成果:
获中国医药教育协会科学技术奖二等奖1项、广东省科学技术奖二等奖2项、三等奖2项。参编学术专著6部,发明专利4项,发表学术论文100余篇。先后承担省市级课题数项,培养硕博士20余人,目前在研经费超过500万元。

医学博士,副主任医师,硕士导师。
学术任职:
中国医师协会心血管病分会结构组委员;广东省介入性心脏病协会结构分会常务委员;广东省医师协会心血管介入医师分会委员;广东省医师协会高血压分会青年委员;广东省医院协会心血管质控管理分会结构性心脏病学组委员;中国大湾区心脏协会精准诊疗分会委员;中国结构周秘书长;血管疾病多学科协作论坛(VMDT)秘书。
技术特长:
擅长经导管主动脉瓣置换术,手术量超600台,帮助全国70多家中心开展TAVR手术。擅长复杂冠脉病变、主动脉疾病、瓣膜疾病、周围血管病等的介入治疗。