献礼党的100周年华诞,2021年6月29日,浙江大学医学院附属第一医院马量教授、李伟栋教授团队成功完成TaurusOne®经导管主动脉瓣系统全国上市后在心脏大血管外科的首次植入,为一例极具挑战的Type1型二叶式主动脉瓣重度狭窄患者带来新生。
团队合影
患者基本信息
患者为78岁老年男性,因“反复胸闷气促10余年,冠脉支架植入术后1月余”入院。
该患者病情复杂,基础条件较差,除主瓣重度钙化狭窄外,心功能3级,胸腔积液,血小板减少,且合并高血压、糖尿病、哮喘,肺气肿等疾病。
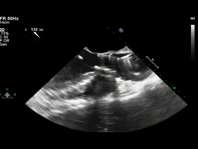
心脏多普勒超声诊断为:重度主动脉狭窄伴中度反流,二尖瓣轻中度反流,三尖瓣轻度反流,左房增大。
术前评估
右冠高度合适,左冠高度稍低,左冠瓣长度>冠脉开口与瓣叶附着缘距离。
主动脉瓣环与水平面夹角稍大,双侧血管整体入路条件良好。
主动脉根部测量
冠脉高度及瓣叶长度测量
钙化分布
瓣环上多平面测量
外周血管及主动脉弓解剖
评估与讨论
该患者左冠窦和无冠窦钙化严重,预估球囊扩张时推移左无的融合嵴难度较高,同时人工瓣膜释放时会偏向右冠窦,可能有显著变形并导致瓣周漏的风险。
冠脉风险方面,虽然左冠瓣瓣叶长度>冠脉开口距离,但是结合瓦氏窦内径,左冠窦瓣叶钙化分布等综合因素考虑,术中冠脉遮挡风险较小。
经过团队严谨的评估及充分的讨论,使用右侧股动脉为主入路,选定跨瓣和球囊预扩角度为左冠切线位,20mm球囊预扩张。预装载TaurusOne®AV26瓣膜,瓣环下0-2mm偏高位,在左右重合体位下释放。
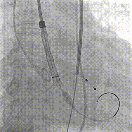
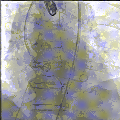
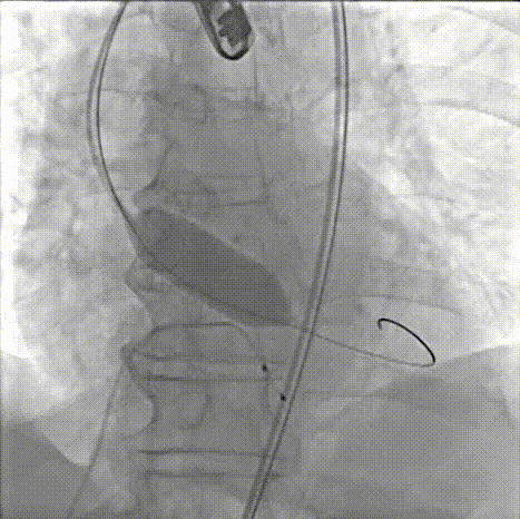
手术过程
主动脉根部造影轻中度反流
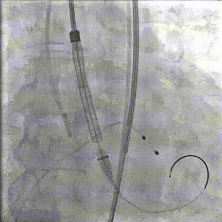
20mm球囊预扩,有腰无漏,冠脉显影良好
TaurusOne轻松过弓
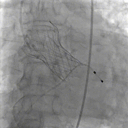
瓣膜定位
瓣膜释放
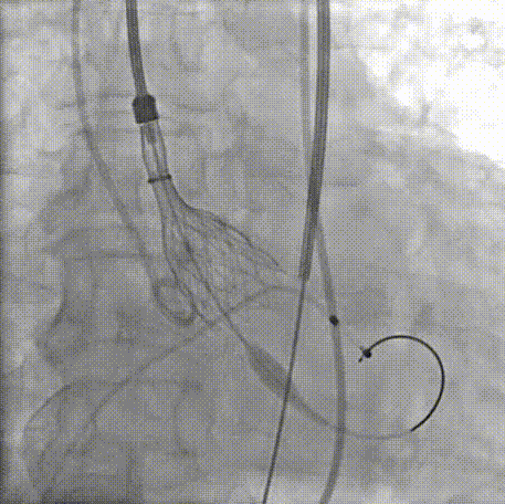
金牛瓣精准“开花”
瓣膜瓣叶正常工作
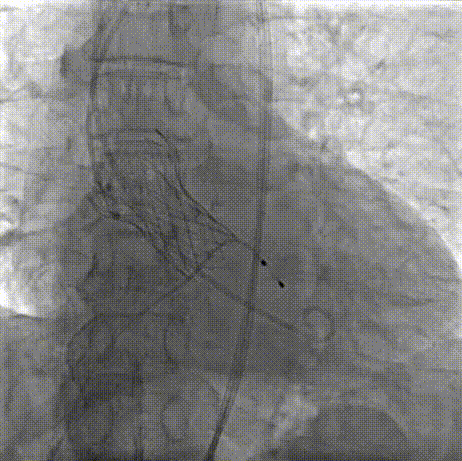
术后评估
交换猪尾导管测压
瓣膜位置形态良好
术后压差从45 mmHg降至2mmHg
超声显示瓣膜形态良好,血流动力学优异
手术团队合影
李伟栋教授病例总结
这是一个非常有挑战的Type1型重度AS病例,左右交界融合成纤维嵴,合并左、无瓣叶T形钙化,手术难点在于扩张球囊、瓣膜尺寸的选择以及释放高度的精准把握。最终在团队的密切配合下,无需SNARE轻松过瓣,无需球囊后扩张瓣膜形态良好、血流动力学优异,手术取得超预期成功。这也离不开术前对沛嘉TaurusOne®瓣膜裙边高度,支架锥形弧度,径向支撑力,以及瓣环上多平面等因素全面和详细的分析。希望金牛瓣这款优异的瓣膜可以更多地应用于临床,挑战更多复杂病例,造福更多患者。
马量教授寄语
浙江大学医学院附属第一医院心脏大血管外科是省内心脏大血管外科领域的带头学科,是全国最早能同时开展经心尖TAVR和经股动脉TAVR的心血管外科中心之一,其综合实力位居国内先进水平。今年是党的100周年华诞,随着金牛瓣的上市和植入,希望能与沛嘉医疗一起,推动中国结构性心脏病介入治疗的蓬勃发展,造福广大结构性心脏病患者,助力建设浙江高质量共同富裕示范区。
专家简介

浙江大学医学院附属第一医院心脏大血管外科博士,主任医师,博士生导师,心脏大血管外科主任,心脏移植中心主任。1992年毕业于浙江医科大学(现浙江大学医学院)后,一直从事心胸外科的临床、科研和教学工作,于2003年赴欧洲心脏外科水平很高的瑞士洛桑大学医学院学习一年,并获博士学位。对于心脏瓣膜病、先心病、冠脉搭桥、心脏肿瘤、主动脉夹层、房颤等心脏疾病的外科治疗积累了十分丰富的经验,尤其在心脏移植上独有建树,主刀近百例,带领着学科的发展。获得浙江省科学进步二等奖、浙江省医药卫生科技二等奖等多个奖项,已发表SCI论文60余篇,申请授权专利2项。主持国家自然科学基金2项,浙江省重点研发项目1项,参与多项十二五、十三五国家重点研发计划。鉴于在心血管外科手术技术和临床科研的综合发展,2018年获中国医师协会心血管外科好医师之“金刀”荣誉称号。
目前担任浙江省医学会胸心外科学分会候任主任委员、浙江省医师协会心血管外科医师分会会长、亚洲瓣膜病学会常务委员、中国医师协会器官移植分会委员、浙江省医学会器官移植分会委员、国家心血管病专家委员会微创心血管外科专业委员会常委等社会任职,为浙江省和中国在心血管外科领域的发展和后备队伍建设不断贡献着力量。

浙江大学医学博士,主任医师,2015年英国伦敦大学学院附属心脏病医院访问学者。目前担任浙江大学附属第一医院心脏大血管外科副主任、心脏移植中心副主任、微创中心副主任,心胸外科党支部副书记、心脏大血管外科国家临床重点专科秘书。
主要学术兼职:中华医学会胸心血管外科学分会全国青年委员、亚州心脏瓣膜病协会中国分会全国委员、中国心胸血管麻醉学会脑与血管分会全国委员、中国研究型医院学会心脏瓣膜病专业委员会全国委员、中国研究型医院学会互联网医院分会全国委员、中国医疗保健国际交流促进会心脏重症分会浙江分会常委、国家结构性心脏病介入质量控制委员会委员、浙江省医学会胸心外科学分会秘书兼青年委员会副主任委员、浙江省心血管外科医师协会常委兼总干事。
擅长治疗:心脏瓣膜病的微创手术、TAVI及二尖瓣介入手术,先天性心脏病的微创介入封堵手术、房颤全胸腔镜微创射频消融手术、冠心病微创不停跳冠脉搭桥手术,以及终末期心脏疾病的心脏移植及多器官联合移植手术。

浙江大学医学院附属第一医院心脏大血管外科,主治医师,医学博士。
毕业于浙江大学,师从金刀奖获得者倪一鸣和马量教授,目前的职责是担任心脏大血管外科手术的第一助手。临床主攻结构性心脏病介入手术、小切口微创心脏手术、心脏恶性肿瘤的综合诊治。以第一作者或通讯作者发表SCI论文10篇,主持省自然科学基金1项。获得国家实用新型专利3项。担任浙江省医师协会心血管外科医师分会秘书。