2021年6月17日,北京大学第三医院唐熠达教授团队成功完成TaurusOne®经导管主动脉瓣系统上市后华北地区的首次植入。成功为两例患者进行了经导管主动脉瓣置换。两个病例极具特点,完美诠释临床中遇到典型的“大窦和小窦”患者的处理方法。两例患者植入后瓣膜工作正常稳定,均未出现冠脉阻挡,术后两例患者血流动力学均得到了有效改善,为患者带来更长久生存期受益和更高生活质量。
Case 1
▼▼▼
患者基本信息:
患者:老年女性,因劳累性呼吸困难收治入院,超声心动图显示主动脉瓣增厚,回声增强,开放受限。平均跨瓣压差 41mmHg,瓣上速度 4.5s/m,瓣口面积0.8cm²,提示主动脉瓣重度狭窄并伴有轻度关闭不全。
左右冠开口高度可,右冠多发钙化,依据瓦氏窦宽度和瓣叶长度预估右冠风险较小,左冠存在堵塞风险。
瓦氏窦内径、窦管交界内径偏小。升主内径尚可,主动脉瓣环与水平面夹角可,主动脉弓角度与宽度可。
双侧血管内径可,存在散在钙化,符合血管入路条件。
该病人为一例典型主动脉瓣重度狭窄患者
①瓦氏窦整体形态偏小,钙化程度较轻。
主动脉根部评估:
瓣环上解剖及钙化分布:
外周血管及主动脉弓解剖:
手术策略讨论:
④患者双侧入路血管条件佳,常规选择右侧股动脉为主入路,左侧为辅入路。
手术过程概览:
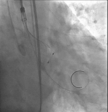
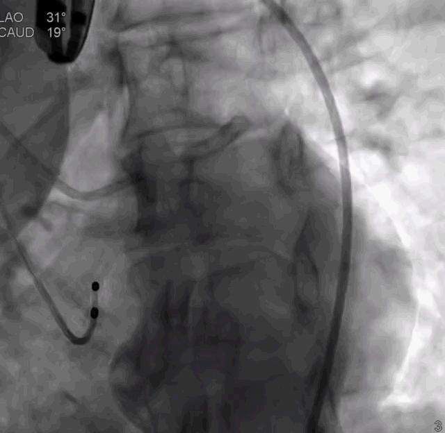
主动脉根部造影提示瓦氏窦整体形态偏小,决定给予冠脉保护
导丝左冠保护
导丝跨瓣
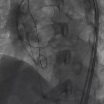
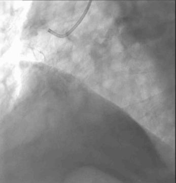
18mm球囊预扩,无明显腰征,少许瓣周漏,未见冠脉阻挡,决定选择TaurusOne®AV23瓣膜。
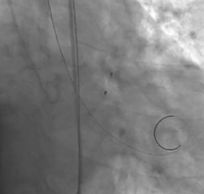
TaurusOne®轻松过弓
TaurusOne®释放过程:
瓣膜定位
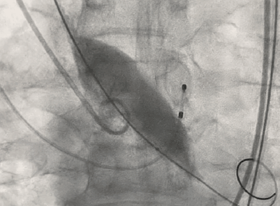
瓣膜释放后形态位置良好,造影无返流
术后即刻评估:
Case 2
▼▼▼
患者基本信息:
患者:老年男性,因心衰问题并伴有阵发性房颤收治入院,超声心动图显示左房、左室、右房明显增大,主动脉瓣增厚且伴有钙化,回声增强,开放受限。平均跨瓣压差57mmHg,瓣上速度:4.12m/s,提示主动脉瓣重度狭窄并伴有中度关闭不全。
该病人为一例典型主动脉瓣重度狭窄并伴有中度关闭不全患者
①瓦氏窦整体形态偏大,且伴有主动脉瓣中度关闭不全。
②无冠瓣瓣叶钙化程度较重,结合瓣上结构的特点,较大可能影响瓣膜植入后的形态及贴壁性,瓣周漏发生的风险偏高。
③血管入路方面,双侧股髂总直径可,左髂总位置形态扭曲并伴有瘤样扩张。
左右冠开口高度可,右冠多发钙化。
瓦氏窦内径可、窦管交界内径可。升主内径可,主动脉瓣环与水平面夹角可,主动脉弓角度与宽度可。
主动脉根部评估:
瓣环上解剖及钙化分布:

外周血管及主动脉弓解剖:
手术过程概览:
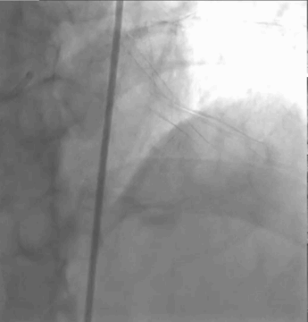
术前右冠造影

主动脉根部造影提示瓦氏窦整体形态较大,无冠瓣瓣叶钙化斑块程度较重。

导丝跨瓣
TaurusOne®轻松过弓
TaurusOne®释放过程:
瓣膜展开后与术前策略讨论的风险预期相符,受无冠瓣较重钙化和瓣上结构整体的影响,瓣膜释放后的腰部形态受限,决定使用25mm球囊后扩治疗。

最终瓣膜形态和位置良好,造影无明显瓣周漏和返流。
术后即刻评估:
术后平均跨瓣压差降至6mmHg
唐熠达教授寄语:

此两例手术患者在结构上都为常规的三叶瓣形态,但各自有着非常鲜明的特点,通过术前专业评估、术中准确判断及精准操作,取得了非常好的手术效果。北京大学第三医院心血管内科一直秉承团结、奉献、求实、创新的精神服务于基层广大患者,尤其自2021年2月成立结构性心脏病团队以来,更是突破心内、外科的界限,多学科交叉融合,探索建立多种分工协作模式,将最优化的精准诊疗服务推向千家万户。
专家介绍

心内科主任,血管医学研究所常务副所长,北大医学部分子心血管学教育部重点实验室副主任。曾为北京协和医学院心内科博士生导师及生物医学工程博士生导师,享受国务院政府特殊津贴,国家杰出青年科学基金获得者,教育部长江学者特聘教授,国家百千万人才工程“有突出贡献中青年专家”,首都科技领军人才。学术团体兼职主要包括中华医学会心血管病分会代谢性心血管疾病学组组长、北京精准医学学会理事长、美国心脏病学院Fellow、欧洲心脏病学院Fellow、美国心血管造影和介入学院Fellow等。曾获2016年度首都十大杰出青年医师、2018年杰出心血管病研究奖。
作为项目负责人先后牵头“十二五”、“十三五”国家科技支撑计划、973项目子课题、国家杰出青年科学基金及多项大规模多中心临床试验。目前共发表文章100余篇,其中包括在Circulation, Hepatology, JACC等国际著名杂志上共发表SCI论文60余篇,主编参编专著10余部。现有发明专利三十余项。

医学博士,北京大学第三医院心血管内科副主任医师,中华医学会心血管病学分会临床研究学组委员,中国医师协会心血管内科医师分会国际交流学组委员。专业特长:冠心病及介入治疗,高血压病、高脂血症、心脏瓣膜病、心力衰竭等心血管常见疾病的诊治。参与编写《急性ST段抬高型心肌梗死诊断和治疗指南(2019修订版)》、《家族性高胆固醇血症筛查与诊治中国专家共识》、《中国骨髓腔内输液通路临床应用的专家共识》,参与编译多部专著,参与国家(十三五)重大慢性非传染性疾病防控研究专项子课题“冠状动脉支架内血栓防治关键技术研究”、首都特色基金“北京地区心脏骤停患者复苏骨髓腔输液应用现状调查及骨髓腔输液标准流程的开发和应用”等,担任中国介入心脏病学杂志、EHJ介入治疗期刊青年编委,CCI杂志中文版编委。已在国内外期刊发表论文二十余篇。

于北京大学获医学博士学位,曾于美国斯坦福大学医院进修。职业专长为心血管常见疾病及冠心病介入治疗、冠状动脉功能学评价。主持了多项临床技术的开展。负责国家自然科学基金(青年基金)及多项临床研究工作,发表多篇中英文学术论文。现任中华医学会心血管分会信息化学组委员、中国医疗保健国际交流促进会精准心血管病分会青年委员、北京大学医学部心血管学习联络人。

副主任医师。长期从事心内科临床工作,主要专业方向为冠心病介入诊疗;同时,对高血压、高脂血症、心力衰竭、心律失常和冠心病的药物治疗也具有丰富的临床经验。主要研究方向为血管内皮功能及冠状动脉微循环功能异常的机制及诊疗。担任北京医学会心血管病学分会第九届委员会女性心血管病学组委员、中华医学会《中华临床医师杂志》审稿专家。